Human Genetics and Inheritance Patterns - Genetics 5 Flashcards

(49 cards)

1
Q

What makes up a genome, and which of these make up genes?

A
  • Repeated sequences
  • Non-coding sequences (NOT INTRONS)
  • RNA coding and regulatory sequences - genes
  • Introns - genes
  • Protein-coding regions - genes
How well did you know this?
1
Not at all
2
3
4
5
Perfectly
2
Q

What could the non-coding sequences of DNA be for?

A

Pseudo-genes that are still evolving - a DNA sequence that resembles a gene but has been mutated into an inactive form over the course of evolution. So it is a copy of the active gene

How well did you know this?
1
Not at all
2
3
4
5
Perfectly
3
Q

What could the repeated sequences in DNA be for?

A

Perhaps it is left over genes from past viral infections

How well did you know this?
1
Not at all
2
3
4
5
Perfectly
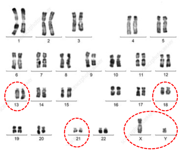
4
Q

Human Karyotype

A

Typical chromosome arrangement in human cells.

How well did you know this?
1
Not at all
2
3
4
5
Perfectly
5
Q

Diploid

A

Cell with two complete sets of chromosomes.

How well did you know this?
1
Not at all
2
3
4
5
Perfectly
6
Q

Aneuploidy

A

Numerical chromosome imbalance in cells (difference in number of chromosomes).

How well did you know this?
1
Not at all
2
3
4
5
Perfectly
7
Q

Trisomy

A

a chromosomal condition characterised by an additional chromosome

How well did you know this?
1
Not at all
2
3
4
5
Perfectly
8
Q

Trisomy 13

A

Condition with three copies of chromosome 13.

How well did you know this?
1
Not at all
2
3
4
5
Perfectly
9
Q

X Monosomy

A

Single X chromosome, no second sex chromosome.

Turner Syndrome.

How well did you know this?
1
Not at all
2
3
4
5
Perfectly
10
Q

Klinefelter Syndrome

A

Trisomy XXY

How well did you know this?
1
Not at all
2
3
4
5
Perfectly
11
Q

Jacob’s syndrome

A

Trisomy XYY

How well did you know this?
1
Not at all
2
3
4
5
Perfectly
12
Q

Triple X syndrome

A

Trisomy XXX

How well did you know this?
1
Not at all
2
3
4
5
Perfectly
13
Q

Why are there little symptoms of trysomy XXX?

A

Having an extra X chromosome does not cause a disbalance in sexual characteristics as the extra proteins are all for female development

How well did you know this?
1
Not at all
2
3
4
5
Perfectly
14
Q

Why does jacob’s have little to no symptoms compared to turner and klinefelte syndrome?

A

The extra Y chromosome produces more proteins for male development but this doesn’t cause lot of problems as there is no compatition with the other Y chromosome. Male development still occurs.

How well did you know this?
1
Not at all
2
3
4
5
Perfectly
15
Q

What would the sex of someone with X monosomy be?

A

They would still be female, however with a lower concentration of female hormones so they may be infertile or not go through their entire puberty. Suggests that female development requires both X chromosomes.

How well did you know this?
1
Not at all
2
3
4
5
Perfectly
16
Q

Why does Trisomy XXY (klinefelter) have more severe impacts than Trisomy XYY or XXX?

A

In trisomy XXY there is more competition between the female and male sex hormones since the amount of both produced is equal. This results in more pronounced phenotypes and symptoms. In the others there is greater testosterone or oestrogen so singular sex puberty can occur.

How well did you know this?
1
Not at all
2
3
4
5
Perfectly
17
Q

Edwards Syndrome

A

Triomy 18. 1 in 5000

How well did you know this?
1
Not at all
2
3
4
5
Perfectly
18
Q

Patau syndrome

A

Trisomy 13, 1 per 16,000

How well did you know this?
1
Not at all
2
3
4
5
Perfectly
19
Q

Down syndrome

A

Trisomy 21, 1 per 1000.

How well did you know this?
1
Not at all
2
3
4
5
Perfectly
20
Q

Live Births with aneuploidy are possible with

A

Possible with trisomy 13, 18, 21, or XXY and monosomy X.

21
Q

Why are some aneuplodies compatible with life and others aren’t?

A

Aneuploidies in smaller chromosomes are less likely to have a big impact because the chromosomes contain less genes. As a result the organism can survive.

22
Q

Why is monosomy rare to see in live births?

A

Missing genes are more detrimental than extra genes.

23
Q

Maternal Age Effect

A

Increased miscarriage risk with older maternal age due to non disjunction of oocytes in

24
Q

Oogenesis

A

The process by which a female’s primordial germ cells (PGCs) develop into eggs, or ova, that can be fertilized

25
Oocyte
Immature ovum, a female germ cell arrested in prophase of meiosis I
26
Non disjunction
A cell division error that occurs when chromosomes fail to separate properly, resulting in daughter cells with an abnormal number of chromosomes
27
Explain step 1 of non disjunction in meiosis I of ovum development.
1. Prophase - after DNA replication, homologous chromosomes undergo pairing, synapsis and recombination, and arrest at the diplotene (dictyte) stage. This arrest is a pause in the cell cycle of the oocyte.
28
Explain step 2 of non disjunction in meiosis I of ovum development.
2. Dictyate arrest - oocytes remain in meitotis arrest until the female reaches maturity and the oocyte has completed an extensive growth following follicle formation. The older the female the longer the chromosomes have been held together.
29
Explain step 3 of non disjunction in meiosis I of ovum development.
3. Divisions - lutenizing hormone (LH) surge that triggers ovulation also causes resumption of completion of the first meitotic division in the periovulatory oocyte. As anaphase I occurs, inaccurate division of the homologous chromosomes is more likely if the oocyte has been in arrest for a long period of time the chohesins holding them together do not break off properly. As a result aneupodolies are more likely in mature women. The ovulated egg is arrested at the seconds meitotic metaphase, and anaphase onset and completion of meiosis II only occur if the egg is fertilised.
30
IVF Genetic Screening
Pre-implantation analysis for chromosomal normalcy.
31
Blastocyst Biopsy
Part of IVF genetic screening. Procedure to select healthy embryos for transfer. A few cells from a blastocysts can have the karyotypes analysed to see if it will produce a live/healthy organism.
32
What does the Y chromosome contain?
Repetitive palindrome requences and sex determining genes
33
SRY Gene
Sex-determining gene on the Y chromosome encoding a transcription factor for genes for testes development.
34
Transgenic Mice
Mice genetically modified to study gene functions.
35
Host mosaism
a condition where a person has more than one set of cells in their body that have different genetic material. So some genes are swtiched on and off in different tissues, causing different expression. This CAN be seen in intersex individuals.
36
X-linked Inheritance
Inheritance patterns linked to genes on X chromosome.
37
How would you expect an X-linked ressesive allele disorder to manifest in families?
* More common in males * No father-son transmission * The son of a female carrier has a 50% chance of having the disease
38
Why is an affected female rare with X-linked recessive diseases?
In order to be affcetd she must be homozygous recesisve for the alleles. That requires an affected father to give one recessive allele and an affected or carrier mother to give the other. However with a carrier mother there I ony 25% chance of an affected female. With both affected parents all offspring wil also be affected.
39
Why is it more common for males to be affected with X-linked recessive disorders?
If they have the allle it will always be expree the Y chromosome does not have the gene.
40
How would you expect an X-linked dominant disorder to manifest in families?
There are no carriers, female or male. * Male/female equally at risk * Affected mother has 50% chance passing on disease contaning X to offspring. * Affected father will pass on X to all daughters (no father-son transmission)
41
Autosomal Dominant Disorders | Autosomal = non sex chromosome
Eg Huntington's Disease * Affected individuals in every generation. * Males-females equally affected * 50% chance offspring being affected
42
Autosomal Recessive Disorders
Eg Cystic fibrosis Phenylketonuria * Requires both parents to be carriers. * Skips a generation * Both parents must be heterozygous carriers * 25% chance being affected
43
Pre-implantation Genetic Diagnosis (PGD)
Parents without underlying fertility issues wull be offered IVF with PGD. HFEA is licensed to do IVF screening for over 600 genetic disorders. The cells are biopsied to see if they are genetically fine, the fine ones are inserted into the mother. ## Footnote Ethical issues - selection of phenotypes suggests designer babaies issue.
44
Polygenic Diseases - give examples
Complex diseases influenced by multiple genes. Disease onset is also influenced by environment so not definitive. E.g:* Diabetes, heart disease, breast cancer...
45
Polygenic Risk Scores
Estimates risk based on multiple genetic factors. So we could systemstically analyse fetuses and people to see if there is predisposition for polygenic diseases. ## Footnote Ethical issues - judgement on opportunities based on risk score if that information becomes public and seen by corporations like insurance companies.
46
HFEA
Regulatory body for fertility treatment in the UK.
47
Haemophilia
X-linked recessive bleeding disorder.
48
Cystic Fibrosis
Autosomal recessive disorder affecting lungs.
49
Huntington's Disease
Autosomal dominant neurodegenerative disorder.