hydronephrosis Flashcards

(5 cards)

1
Q

what is hydronephrosis

A

excessive amounts of urine cause the kidney to dilate

How well did you know this?
1
Not at all
2
3
4
5
Perfectly
2
Q

causes of hydronephrosis

A
How well did you know this?
1
Not at all
2
3
4
5
Perfectly
3
Q

ix into hydronephrosis

A
  • ultrasound - first-line: identifies presence of hydronephrosis and can assess the kidneys
  • IVU- assess the position of the obstruction
  • Antegrade or retrograde pyelography- allows treatment
  • if suspect renal colic: CT scan (majority of stones are detected this way)
How well did you know this?
1
Not at all
2
3
4
5
Perfectly
4
Q

mx of hydronephrosis

A
  • Remove the obstruction and drainage of urine
  • Acute upper urinary tract obstruction: nephrostomy tube
  • Chronic upper urinary tract obstruction: ureteric stent or a pyeloplasty
How well did you know this?
1
Not at all
2
3
4
5
Perfectly
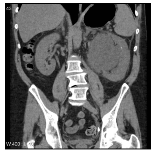
5
Q
A
  • massive hydronephrosis
  • a small calculus in the left kidney.
  • A single large calculus is present distally in the left ureter with accompanying hydroureter.
How well did you know this?
1
Not at all
2
3
4
5
Perfectly