Hypersensitivity Flashcards

(20 cards)

1
Q

Type I hypersensitivity

A

IgE mediated

  • Allergy
  • Does not involves complement
  • Immediate response within minutes
  • Has 2 phases
  • Response may be to food, pollen, dust, chemicals
  • e.g. Anaphylaxis, atopic dermatitis
How well did you know this?
1
Not at all
2
3
4
5
Perfectly
2
Q

Type II hypersensitivity

A

Antibody-mediated cytotoxic reaction

  • Usually IgG mediated (IgM possible)
  • Reaction maximal within 5-10 hrs
  • Antibody recognises molecule/antigen on host cell or tissue
  • Sources of these antigens/molecules can be intrinsic or extrinsic
    • e.g. Intrinsic: body’s own blood cells (haemolytic anaemia)
    • e.g. Extrinsic: drug metabolite
  • Cells can be destroyed by complement, phagocytosed by innate immune cells, or by toxins from NK cells
How well did you know this?
1
Not at all
2
3
4
5
Perfectly
3
Q

Type III hypersensitivity

A

Immune complex mediated

  • IgG/immune complex mediated
  • Reaction maximal at 4-8 hrs
  • Antibody/antigen complexes escape the normal route of clearance (i.e. phagocytosis)
  • e.g. Equine Recurrent Airway Obstruction (RAO)
How well did you know this?
1
Not at all
2
3
4
5
Perfectly
4
Q

Type IV hypersensitivity

A

Delayed type hypersensitivity

  • T cell mediated;
  • Involves primed (memory) T cells and also macrophages/dendritic cells
  • Reaction maximal at 24-72 hrs
  • T cells recruit and activate mononuclear cells e.g. monocytes, tissue macrophages
  • Inflammation at the site of the DC/T cell interaction occurs
  • e.g. Johne’s disease
How well did you know this?
1
Not at all
2
3
4
5
Perfectly
5
Q

Which type of hypersensitivity is shown here?

A

Type III - immune complex mediated

How well did you know this?
1
Not at all
2
3
4
5
Perfectly
6
Q

Which type of hypersensitivity is shown here?

A

Type IV

How well did you know this?
1
Not at all
2
3
4
5
Perfectly
7
Q

Why is the reaction maximal of Type I hypersensitivity shorter than that of other hypersensitivity reactions?

A

Type I only involves IgE-mediated effects rather than activation of the complement system.

How well did you know this?
1
Not at all
2
3
4
5
Perfectly
8
Q

Outline how Type II and III hypersensitivity differs

A
  • Both Type II and Type III can be IgG mediated
  • Type II involves IgG and IgM directed against cellular antigens/molecules → leads to cell damage mediated by other immune system effectors
  • Type III reactions involve IgG, IgM and occasionally IgA1 antibodies forming immune complexes
How well did you know this?
1
Not at all
2
3
4
5
Perfectly
9
Q

Outline the difference between cell mediated and antibody mediated hypersensitivity

A
  • Type I, II and III hypersensitivity reactions are antibody mediated, whilst Type IV is cell-mediated.
  • Cell mediated reactions take longer than antibody-mediated responses because they take longer for cells to be recruited to the site of exposure.
How well did you know this?
1
Not at all
2
3
4
5
Perfectly
10
Q

Outline how the antigens involved in Type II and Type III hypersensitivity differ?

A
  • Type II = antigens are bound to cell surface
  • Type III = antigens are soluble
How well did you know this?
1
Not at all
2
3
4
5
Perfectly
11
Q

Which condition is pictured here and which type of sensitivity is it?

A

Myasthenia gravis

Type II hypersensitivity

How well did you know this?
1
Not at all
2
3
4
5
Perfectly
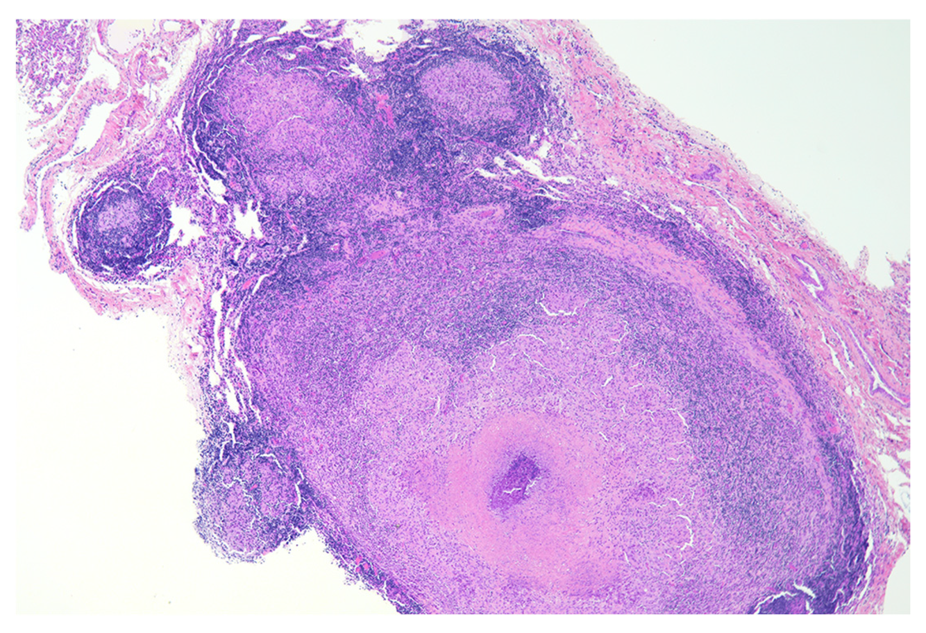
12
Q

What structure is shown here? Which disease could it be associated with? What type of hypersensitivity is this?

A

Granuloma

Bovine TB

Type IV

How well did you know this?
1
Not at all
2
3
4
5
Perfectly
13
Q

What condition is shown here? What type of hypersensitivity is it?

A

Canine blue eye

Associated with canine adenovirus

Type III hypersensitivity

How well did you know this?
1
Not at all
2
3
4
5
Perfectly
14
Q

Give some examples of Type I hypersensitivity

A
  • Anaphylaxis
  • Atopic dermatitis
  • Asthma
  • Allergic rhinitis
How well did you know this?
1
Not at all
2
3
4
5
Perfectly
15
Q

True/false: you can be genetically susceptible to hypersensitivity

A

True

e.g. could have high levels of circulating IgE or specific MHC genes

How well did you know this?
1
Not at all
2
3
4
5
Perfectly
16
Q

Give some examples of Type II hypersensitivity

A
  • Autoimmune haemolytic anaemia
  • Pemphigus
  • Myasthenia gravis
17
Q

Give some examples of Type III hypersensitivity

A
  • Polyarthritis
  • Systemic Lupus Erythematosus (SLE)
  • Nephritis
  • Post-infection reaction
18
Q

True/false: Type I hypersensitivity reaction could occur after vaccination

19
Q

True/false: Type I hypersensitivity reaction could occur after vaccination

20
Q

Give some examples of Type IV hypersensitivity

A
  • Granuloma formation in TB, Brucellosis, Johne’s
  • Tuberculin skin reaction