Hypertoni Flashcards

(52 cards)

1
Q

Hypertoni

Risk för förtida död i ordning

  • Högt blodtryck
  • Rökning
  • Högt kolesterol

Nämn tre vanliga felkällor vid blodtryckstagning?

A
  • Om patienten vilat för kort stund
  • Blodtryck stiger under hjärthöjd (så mät vid hjärtat)
  • Manschetten måste vara i rätt storlek (> 32 cm är cut off, vi går då från 12 till 15 cm bred manschett)
    • Finns också konisk manschett (till feta)
How well did you know this?
1
Not at all
2
3
4
5
Perfectly
2
Q

Vad kallas den vanligaste typen av hypertoni och vilka tillstånd är kopplade till denna?

A
  • Majoritet har essentiell (primär) hypertoni (90 % av all hypertoni)
    • Kopplad till insulinresistens (kräver alltså högre insulinnivåer för att sänka glukosnivån i blodet) (metabola syndromet)
  • Övervikt, typ 2 diabetes (åldersdiabetes), dyslipidemi (ffa höga triglycerider och lågt HDL-kolesterol)
How well did you know this?
1
Not at all
2
3
4
5
Perfectly
3
Q

Förklara mekanismen där insulinresistens ger högt blodtryck!

A
  • Antagligen för att insulin ger ökad natriumretention och med tiden dessutom ateroskleros
  • Ökade nivåer av aldosteron och insulin gör att det hämmande borttagningsproteinet (NEDD4L) för ENaC hämmas och ENaC blir mer aktiv
    • ENaC viktig! Då den skickar ut K+ och Na+ in (konstitutivt aktiv) i distala tubuli/samlingsrören
  • Direkt när insulin frisätts i kroppen ger det saltretention (Na+!) (ytterligare bevis)
How well did you know this?
1
Not at all
2
3
4
5
Perfectly
4
Q

Hur relaterar blodtrycket till risk för hjärt-kärlsjukdom?

A
  • Pulstryck stiger alltså än mer då diastoliskt sjunker med ålder och systoliskt ökar
    • Medelblodtryck över tid (uppdelat i kvartiler)
  • Ett högt pulstryck ger högst risk för hjärtsjukdom, en person som har högt systoliskt och högt diastoliskt tryck kan ha mindre risk än någon med lägre blodtryck med högre pulstryck
How well did you know this?
1
Not at all
2
3
4
5
Perfectly
5
Q

Vilka mekanismer gör att vi får ett högre systoliskt och ett lägre diastoliskt blodtryck med åldern?

A
  • Först fettinlagring i kärl, vi tappar elastin och sedan övergår det ökad åderförkalkning av artärer vilket påverkar
    • Windkesseleffekten då vi får större systolestegring och en diastolesänkning
      • Windkesseleffekten i stora kärl om vi är friska vilket hämmar tryckstegring (systole), de stora kärlen återfjädrar i diastole (upprätthållande av diastoliskt tryck)
      • Högt pulstryck = åderförkalkning
    • Pulsvågsreflektion (denna går snabbt, 10 m/sek), dessa reflekteras i bifurkationer, denna hinner komma tillbaka mkt snabbt vid åderförkalkning, under systole redan! Detta höjer slutet av systole och sänker ju diastole (som nu inte får denna våg)
  • I västvärlden utvecklar vi med åren allt högre pulstryck, i sin tur kopplat till hög risk för hjärtkärlsjukdom. Är detta oundvikligt eller kan det vara en följd av miljöfaktorer?
How well did you know this?
1
Not at all
2
3
4
5
Perfectly
6
Q

Vad förmedlar bilden?

A

Ett högt pulstryck ger högst risk för hjärtsjukdom, notera att en person som har högt systoliskt och högt diastoliskt tryck kan ha mindre risk än någon med lägre blodtryck med högt pulstryck

How well did you know this?
1
Not at all
2
3
4
5
Perfectly
7
Q

Vad kan ses på populationsnivå gällande saltintag och högt blodtryck?

A
  • En population med högt saltintag har högre systolisk hypertoni vid hög ålder
How well did you know this?
1
Not at all
2
3
4
5
Perfectly
8
Q

En sekundär hypertoni innebär att vi vet exakt mekanism.

Nämn 6 st orsaker till sekundär hypertoni

A
  • Primär aldosteronism
  • Apparent mineralcorticoid excess (lakrits eller ovanlig ärftlig defekt)
  • Njurartärstenos
  • Njursjukdomar överlag (vanligaste orsaken hos unga människor)
  • Feokromocytom
  • Hyperkorticism
  • Akromegali
  • Yttre faktorer (P-piller, NSAID, lakrits, kokain)
How well did you know this?
1
Not at all
2
3
4
5
Perfectly
9
Q

Hur ger njurartärstenos högt blodtryck?

Vad kan ses kliniskt?

A
  • Njurartärstenos (en eller båda) leder till aktivering av RAAS vilket ger sekundär aldosteronism (ger högt blodtryck proximalt om njure)
  • Tecken – ofta redan känd hypertoni som accentueras av denna stenos, blåsljud över njurartärerna (tryck på framsida mage och lyssna med stetoskop mellan navel och undre revbenskanten), hypokalemi, kreatinstegring (i serum då GFR går ner pga stenos), ibland men oftast inte högt renin (men för högt för dem).
How well did you know this?
1
Not at all
2
3
4
5
Perfectly
10
Q

Hur ger primär aldosteronism högt blodtryck och vad ses molekylärt?

A
  • Primär aldosteronism - överproduktion av aldosteron från den ena eller båda binjurarna
  • Vanligaste sekundära hypertoniformen, denna är vanlig (sparar Na+ och skickar ut K+ (lågt Kalium hos dessa), lågt renin och aldosteron mellan/högt (är bägge låga är det lakrits)
How well did you know this?
1
Not at all
2
3
4
5
Perfectly
11
Q

Det kommer in en ung man på mottagningen till synes vältränad men med ett systoliskt blodtryck på 180 mmHg.

Vilken fråga gällande matvanor bör slängas in och varför?

A

Vi frågar om han äter lakrits?

  • Apparent mineralcorticoid excess – 11 beta hydroxisteroid-dehydrogenas typ 2 omvandlar specifikt kortisol till kortison i njure, görs inte detta binder kortisol till aldosteron(mineralkortikoid)receptor och får samma effekt som aldosteron, kortisol finns dessutom i 1000 ggr koncentration (ovanlig ärftlig defekt i detta enzym finns)
    • Lakrits hämmar detta enzym (varför det är bra att veta), kortisol i kroppen binder då in som aldosteron på aldosteronreceptorn och det ger Na+-retention och K+-förlust, ger lågt renin och aldosteron
How well did you know this?
1
Not at all
2
3
4
5
Perfectly
12
Q

Varför ger njursjukdomar överlag högt blodtryck, sammanfatta med ett ord

A

Na+-retention

How well did you know this?
1
Not at all
2
3
4
5
Perfectly
13
Q

På vilket sätt ger feokromocytom högt blodtryck?

Vilka symptom kan ses?

A
  • Överproduktion av katekolaminer från godartad tumör i binjuremärg
    • Symptom – huvudvärk, hjärtklappning, svettning, blekhet
How well did you know this?
1
Not at all
2
3
4
5
Perfectly
14
Q

På vilket sätt ger Cushings sjukdom högt blodtryck?

A
  • Hyperkorticism (Cushings sjukdom) ACTH höjer både kortison och aldosteron, cushings sjukdom ger också diabetes och insulinresistens
    • Insulin ökar ENaC-aktivitet
How well did you know this?
1
Not at all
2
3
4
5
Perfectly
15
Q

Nämn tre yttre faktorer som kan påverka blodtrycket?

A

P-piller (aktiverar RAAS hos en del), värktabletter (NSAID), lakrits (vilket stegrar trycket och vi får huvudvärk och vi tar med NSAID och förstärker ytterligare), sympatomimetika (kokain osv, ger sympatikuspåslag som ger reninfrisättning, alltså inte vasokonstriktionen som ger det höjda blodtrycket)

How well did you know this?
1
Not at all
2
3
4
5
Perfectly
16
Q

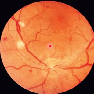
Vad innebär malign hypertoni och vilka symptom kan ses?

A
  • Oftast blodtryck över 130 mmHg diastoliskt
    • Oftast associerad med essentiell hypertoni som accelererar
  • Fundus hypertonicus (klass III-IV), ögonbottenblödningar (III) vilket bilden visar som bleka klumpar till vänster, staspappil (vid IV) på bilden där kärl utgår ifrån, balansstörningar vanligt, inte ovanligt att patienten söker för ögonproblem, kan också uppge sporadisk huvudvärk
How well did you know this?
1
Not at all
2
3
4
5
Perfectly
17
Q

Egenvård högt blodtryck

  • Fungerar inte
    • Viktnedgång (går ner för lite för effekt), ökad motion, avslappningsövningar, kaffestopp, rökstopp

Så vad är det som fungerar?

A

Saltreduktion ger kraftig effekt

How well did you know this?
1
Not at all
2
3
4
5
Perfectly
18
Q

Nämn två saker som leder till åderförkalkning i benen

A

Rökning och diabetes

How well did you know this?
1
Not at all
2
3
4
5
Perfectly
19
Q
  • Rökstopp minskar risken för åderförkalkning, det är väl bra, men vad händer ofta med dessa patienter?
A

De som slutar röka går ofta upp i vikt vilket ger ökat blodtryck

How well did you know this?
1
Not at all
2
3
4
5
Perfectly
20
Q

Hur mkt sänker etablerade läkemedel blodtrycket i regel?

A

12/8 mmHg (i förhållande till placebo som ofta sänker 8 mmHg), så egentligen 20/16 mmHg

How well did you know this?
1
Not at all
2
3
4
5
Perfectly
21
Q

Viktigt, det som långsiktigt påverkar blodtrycket är inte vasokonstriktion/vasodilatation utan??

Ge ett exempel som bevisar detta

A
  • Mängden saltretention!
    • Snus ger konstriktion och styr blodtrycket på kort sikt men ger alltså inte utslag på lång sikt (som är hypertoni)
22
Q
  • I dagens läge har fem olika läkemedelsgrupper dokumentation på blodtryckssänkning samt sekundärt till denna en minskning av kardiovaskulär sjukdom.

Vilka är dessa och vilka av dem är förstahandspreparat?

A

Tiaziddiuretika

Kalciumhämmare

Ace-hämmare

Angiotensin II receptor antagonister (ARB)

Betablockare (ej förstahandspreparat)

23
Q

Hur fungerar tiaziddiuretika?

A

Inhiberar reabsorption av Na+ och Cl- i distala tubuli genom blockering av symporter

Ökar också upptaget av Ca2+ i distala tubuli

24
Q

För- och nackdelar med tiaziddiuretika?

A
  • Natriuretiskt (salt har viss konstriktiv effekt), efterhand vasodilaterande, god effekt på mortalitet och morbiditet, hyperkalcemi; motverkar osteoporos/frakturer
  • Hypokalemi (viktigt följa upp)
  • Minskar troligen betacellernas frisättning av insulin (eftersom betacellerna kräver K+ intracellulärt vid frisättning av insulin)
    • Kan därför höja blodsocker (6,8 –> 7,0 fasteblodsocker), alltså inte bra men kan jämnas ut med LM –> K+
25
**Hypertension** Hur fungerar betablockerare? För- och nackdelar med detta preparat?
* Selektiv beta-1-adrenoceptor antagonist, hämmar sympatikuseffekter (noradrenalin/adrenalun) kompetativt på beta-1-receptorn, ger reduktion av frekvens/kontraktion vilket ger minskad CO som i sin tur minskar hjärtats metabola belastning * **Hämmar reninfrisättning** (viktigast) varför trycket sjunker * Lite sämre skydd mot kardiovaskulära händelser (bättre perifert än centralt, ex stroke) * Biverkningar – Kalla händer och fötter, astma (icke selektiv betablockad), mardrömmar, bradykardi, ”tunga ben”
26
**Hypertension** Hur fungerar kalciumhämmare (amlodipin)?
* **Vasodilaterade** **via minskning av intracellulärt (glattmuskelceller) Ca2+** * **​**Kalciumantagonister minskar flödet av kalciumjoner i celler genom att påverka en särskild typ av kanal för kalciumjoner i cellmembranet, som kallas L-kanal. Även om kalciumkanaler finns i alla celler, visar kalciumantagonisterna upp en stor selektivitet för glatt muskulatur och retledningssystemet i hjärtat, och det är därför som de kan användas som läkemedel vid kardiovaskulära sjukdomar. * Också viss diuretisk effekt
27
**Hypertension** Hur fungerar ACE-hämmare? För- och nackdelar?
* Minskar i princip bildningen av ang II, ökar bradykinin * Biverkningar * Torrhosta (ej dosberoende) * Angio-ödem (otäck svullnad i svalget – farlig biverkan – ovanlig)
28
**Hypertension** Hur fungerar Angiotensin II receptor antagonister (ARB)? För- och nackdelar?
* Minskar effekten av ang II på angiotensin II receptorn subtyp 1 receptorn * Inga biverkningar (mindre än placebo eftersom allmäntillståndet blir bättre)
29
**Övriga LM** * **Följande minskar trycket men inte dokumenterat sänkande av hjärt/kärlrisk** * Tilläggspreparat bortsett de som sätts in vid primär aldosteronism * **Alfablockerare** * **Vasodilaterade** **via minskning** av **sympatikuseffekten** på **alfa 1 receptorn** * Nästäppa, ortostatism ge helst ej i monoterapi * **Spironolakton** * Aldosteronantagonist * Gynekomasti, impotens (blockerar lite testosteronreceptor också), hyperkalemi (i och med att vi blockerar aldosteronreceptorn), **ha koll på K+!** * **Eplerone** * Ny och mer selektiv aldosteronantagonist (bättre att använda än den som ger tråkiga biverkningar ovan) men är mer oprövad * (hyperkalemi), **ha koll på K+** * Furosemid/loop diuretika (effekt i proximala tubuli, natriudiuretisk effekt men ingen blodtryckssänkare) Vilken av dessa är förstahandsval vid primär aldosteronism?
**Spironolakton**
30
Vad är viktigt att ha koll på då vi blockerar aldosteronreceptorn (?) och varför är det viktigt?
**K+ (kan ge hyperkalemi)** Eftersom aldosteronreceptorn vanligtvis verkar genom antiport (K+ ut och Na+ in)
31
Vad förmedlar bilden?
* Stor skillnad på mätning på mottagning och hemma vilket punkten visar (liggande på mottagning och vid 24 h hemma) * **Mottagningsblodtryck ganska dåligt värde**
32
Vilket blodtryck ger bäst prognostisk information?
* Bilden visar att skillnad på 30 mmHg på natten (bäst) ger mkt bättre prognostisk information gällande hjärtkärlrisk jämfört samma skillnad på mottagning för olika patienter
33
Vad förmedlar bilden?
* De med **maskerad hypertoni** har nästan lika hög risk som de med högt blodtryck på mottagning och hemma men mkt högre risk än de med White coat hypertension * Viktigt att hitta maskerad hypertoni (dessa kan ha vänsterkammarhypertrofi)
34
Hemblodtryck är idag OK, målvärde? Målvärde på mottagning?
* **\< 135/85** eftersom det mäts hemma * Mottagning
35
Nämn tre (av varje) för- och nackdelar med att ta blodtrycket själv hemma?
**För** * Billigt för vården, pat. kan köpa själv * Verkar kunna öka följsamhet * Bra alternativ till frekventa kliniska blodtrycksmätningar * Lätt mäta vid olika tillfällen på dagen/kvällen * Praktiskt att använda vid vitrock-problematik * SBU rapport stödjer användandet **Mot** * Mindre antal mätningar jfr 24 timmars blodtryck * Inga nattblodtryck * Bias/urval av vissa BT förekommer (tar med de bästa eller sämsta) * Tekniska problem, armläge mm * En del patienter kan börja mäta för ofta * Referensvärden bygger framför allt på observationella data
36
Nämn 7-8 st **steg 1 riskfaktorer** utöver högt blodtryck som ökar hjärtkärlrisken
* **Steg 1 – riskfaktorer** * Man, ökad ålder, rökning, högt kolesterol (eller lågt HDL), urinsyra, fetma * **Tidig familjär hjärtkärlsjukdom** * **”män under 65 år”** * **”kvinnor under 75”** * Tidig hypertoni i släkten * (Stillasittande, psykosociala och socioekonomiska faktorer, hög hjärtfrekvens adderar till risken)
37
**Målvärde** * Vid en stor studie (SPRING) där målet var \< 120 (jämfört med gamla \< 140) mmHg sjönk hjärtkärlrisken med över 25 %, de fick ett LM extra jämfört med kontrollgrupp * Dödligheten sjönk med 27 % (trots att vissa blev yra) * Men patienterna fick mäta sitt eget blodtryck på mottagning automatiskt (kritik mot studie), vi använder inte detta i Norden Men sammantaget, vilka riktlinjer ska vi gå efter?
**Riktlinjer blodtryck** * Hemblodtryck 135/85 (vid stroke, diabetes så kan vi sänka lite till (SPRING-studie) * Mottagning 140/90 OK * 24 t blodtryck 130/80 (dag 135/85, natt 120/70
38
Hur många fulldospreparat brukar vara standard vid hypertoni?
2
39
* Idag uppmärksammas att det ser annorlunda ut vid mätning utanför mottagning, är det OK med hemblodtryck?
Ja, enligt SBU
40
Vad är det som ger turbulens?
**Högt flöde**
41
Vad innebär ortostatism?
Sänkning av systemiskt blodtryck i stående.
42
Vad tyder ett högt diastoliskt tryck på?
* Tyder på att du är kärlfrisk (windkessel och pulsvåg fungerar fortfarande väl), du kan dock ändå ha hypertoni
43
**Kalciumhämmare (amlodipin)** För- och nackdelar?
* Viss diuretisk effekt * Biverkningar (överlag bra) * Röda i ansiktet, varma händer i början) * Benödem (vanligt), huvudvärk, flushing * Sannolikt är benödem medierat av perifer vasodilatation.
44
Vad är ofta orsak till njurartärstenos?
* Ofta åderförkalkning som orsak men kan vara fibromuskulär hyperplasi (bindväv och muskler som växer lite tokigt i artärer), om ung kvinna kommer in med symptom lyssna med stetoskop på njure efter blåsljud!
45
Vad är orsaken till primär aldosteronism?
* Klassisk orsak är adenom/hyperplasi (benign) binjurebarken (kan operativt tas bort) * Vanligare orsak är förtjockning av dessa (ej lika lätt bota), aldosteronhämmare
46
Vilka förändringar kan ses i njure till följd av hypertoni?
**Kärlförändringar i njure** Bilden visar förtjockning av intima (fibroelastos som beror på ökad mängd kollagen/elastin som kompensation), kärlen kan också bli hyalint atersklerotiska, bägge dessa sker där muskellagret blivit försvagat. Reduplikation av lamina interna elastica. De afferenta arteriolerna visar en progredierande (fortgående) försnävning. Glatta muskelcellerförändrar sin fenotyp till myofibroblaster, vandrar ned till median och utsöndrar kollagen. Dessa longitudinella, kontraherande myofibroblaster ger då upphov till ökad styvhet i kärlväggen. Det förhöjda trycket i kärlväggen vid hypertoni förtunnar median, och ett hyalint material (amorft, homogent, eosinofilt material) ackumuleras. Kärlet vidgas och endotelcellernas permeabilitet ökar, vilket gör att ytterligare plasmaproteiner passerar in till den förändrade intiman-median.
47
Vad visar bilden?
* Fundus hypertonicus, grad 1 visar viss konstriktion av arterioler och skleros, grad 2 mer synbar fokal konstriktion, skleros, korsningsfenomen (ser ut som koppartråd pga av aterskleros), grad 3 har cotton wool spots, flammor med exodat, arterioskleros, grad 4 har fler ödem och papillödem
48
Vad kan malign hypertoni i värsta fall leda till?
* Aortabristning * Hjärnblödning * Njursvikt/anuri
49
Varifrån utsöndras aldosteron och varför?
Från **binjurebarken** som svar på höjda plasmanivåer av angiotensin samt stimulering från sympatiska nervsystemet.
50
Varifrån utsöndras ADH och varför?
I hypotalamus hittas neuron känsliga för extracellulärvätskans (ECV) osmolalitet, som till stor del beror på koncentrationen av natrium. Dessa neuron kommer krympa när osmolaliteten är hög, således då det finns mycket natrium i ECV. När dessa neuron krymper sänder de iväg signaler till nucleus supraopticus. Neuronen i nc. supraopticus tillverkar hormonet ADH. Hormonet frisätts från neurohypofysen till blodet, efter att ha transporterats från nc. supraopticus till neurohypofysen längst neuronens axon. Neuronen i nc. supraopticus får även signaler från baroreceptorer i bland annat aortabågen. Dessa receptorer reagerar på när blodvolymen minskar Sympatikus kan också stimulera till frisättning från neurohypofys
51
Vilken funktion har ADH?
I samlingsrörens tubuliceller kommer ADH att uppreglera antalet Aquaporin 2 porer (AQP-2) på cellernas insida mot tubuli distalt Mer vatten tas åter
52
Vilken funktion har aldosteron?
Distala tubuli * Stimulerar syntesen av Na+/K+-ATPas som pumpar ut Na+ basolateralt * Na2+ därför in sekundärt aktivt från lumen