IAM Flashcards

(36 cards)

1
Q

Evidencia de daño al M. cardiaco por isquemia prolongada con niveles elevados de troponinas

Superando el percentil al 99

A

IAM

How well did you know this?
1
Not at all
2
3
4
5
Perfectly
2
Q
  • Elevación del ST en al menos 2 derivaciones electroanatómicas contiguas
  • dolor torácico persistente
  • síntomas de falta de O2 en el corazón
A

IAM CON ELEVACIÓN DEL ST

How well did you know this?
1
Not at all
2
3
4
5
Perfectly
3
Q

¿Cuál es la principal causa de infarto agudo al miocardio?

A

aterosclerosis (infiltración de lípidos y c. inflamatorias)

How well did you know this?
1
Not at all
2
3
4
5
Perfectly
4
Q

Otros mecanismos que pueden provocarte IAM:

A
  • Desequilibrio en el suministro y la demanda de O2
  • después de procedimientos qx o terapeúticos, cutáneos, ect
How well did you know this?
1
Not at all
2
3
4
5
Perfectly
5
Q

La obstrucción sufre un cambio en su estructura (rotura o erosion) para formar un trombo intracoronario

A

ATEROTROMBROSIS

How well did you know this?
1
Not at all
2
3
4
5
Perfectly
6
Q

IAM es la principal causa de muerte a nivel mundial. V/F

A

Verdadero

How well did you know this?
1
Not at all
2
3
4
5
Perfectly
7
Q

Factores de riesgo

A
  • > 65 años
  • > Mujeres de la tercera edad, >en hombres menores a 64
  • Tabaco
  • Dislipidemia
  • obesidad
  • hipertensión
  • adicciones

Los estrógenos son cardioprotectores

How well did you know this?
1
Not at all
2
3
4
5
Perfectly
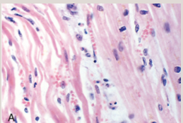
8
Q

QUÉ ES

A

IAM (células onduladas estan necróticas)

How well did you know this?
1
Not at all
2
3
4
5
Perfectly
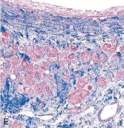
9
Q

QUÉ ES

A

IAM cicatrizado

How well did you know this?
1
Not at all
2
3
4
5
Perfectly
10
Q

Fisiopatología de IAM por aterosclerosis

A
  1. Placa ateromatosa daña al endotelio exponiendo su contenido necrótico a la sangre y el colágeno del endotelio
  2. Las plaquetas se adhieren y agregan, liberan tromboxano A2, ADP y serotonina.
  3. Se forma un trombo, el trombo puede ocluir la luz de la arteria coronaria
How well did you know this?
1
Not at all
2
3
4
5
Perfectly
11
Q

¿Cuándo cesa la actividad del miocardio tras la isquemia?

A

1 min post. inicio isquemia

Hay disminución de la función sistólica antes de que mueran los miocardiocitos.

How well did you know this?
1
Not at all
2
3
4
5
Perfectly
12
Q

Patrones de infarto

A
  • Transmurales
  • No transmurales
How well did you know this?
1
Not at all
2
3
4
5
Perfectly
13
Q

Síntomas

A
  • Dolor >20 min
  • Disnea
  • fatiga
  • debilidad
  • nausea
  • vómito
  • Sensación de muerte inminente
How well did you know this?
1
Not at all
2
3
4
5
Perfectly
14
Q

Características del dolor de IAM

A
  • mínimo 20 min
  • En torax, epigastrio o interescapular
  • Punzante, opresivo
  • Irradiación a hombre, cuello, mandíbula, brazos o espalda
  • No mejora con nitratos ni reposo
How well did you know this?
1
Not at all
2
3
4
5
Perfectly
15
Q

Si te llega un px con pulso rápido y débil, con edema y que recientemente tuvo un desmayo antes de llegar a urgencias
- checas que tiene una disfunción de la válvula mitral
- congestión pulmonar y está en shock cardiogénic
¿En qué te haría pensar?

A

SIGNOS DE IAM

How well did you know this?
1
Not at all
2
3
4
5
Perfectly
16
Q

Estudios para IAM

A
  • ECG
  • análisis de sangre: biomarcadores como troponinas y CK-MB
  • Ecocardiograma
17
Q

Daño en el corazón (infarto) -> células cardíacas liberan CK-MB al torrente sanguíneo

A

CK-MB

Se elevan a las 3 horas y su pico es a las 24 horas

18
Q

¿qué se libera antes, las troponinas o CK-MB?

A

La CK-MB se libera antes que las
troponinas en un paciente con IAM (a las 3 horas aproximadamente)

19
Q

¿Cuándo se eleva la troponina I?

A
  • Convencional:cuando hay daño significativo al corazón
  • De alta sensibilidad:se elevan con cualquier tipo de daño al corazón
20
Q

¿Cuándo se produce troponina (TnTc)?

A

El aumento de la troponina T se produce cuando hay una interrupción del flujo sanguíneo al corazón, causando necrosis o muerte del tejido cardíaco

21
Q

Los niveles de troponina se pueden usar para valorar la sospecha de reinfarto temprano. V/F

A

Falso, Las concentraciones circulantes de troponina pueden permanecer elevadas por cinco a siete días o más

22
Q

Ventajas y desventajas de la CK-MB sobre las troponinas:

A
  • VENTAJA: Se detecta antes
  • y se normaliza antes (lo que la hace útil para diagnosticar reinfartos).
  • DESVENTAJA: menos específica, se usa si no se dispone de análisis de tropononinas
23
Q

¿Qué biomarcador se puede detectar aún antes de la CK-MB?

A

MB (mioglobina): es menos específica pero se puede detectar antes

24
Q

Alteraciones en el ECG que nos indican IAM

A
  • Elevación del segmento ST (daño transmural)
  • Depresión del segmento ST (Daño subendocárdico, que afecta principalmente la capa interna del miocardio)
25
En que derivaciones se observa la depresión del segmento ST
La depresión del ST puede observarse en otras áreas del corazón que no son directamente las afectadas por el infarto | ELEVACIÓN DEL ST EN ARÉAS AFECTADAS POR EL INFARTO
26
Depresión en las derivaciones laterales altas (I, aVL) puede indicar problemas en:
La pared lateral del corazón
27
Si la depresión del ST se observa en las derivaciones precordiales (V1-V6), podría indicar isquemia en:
La pared anterior o lateral del corazón
28
Si la depresión del ST se observa en las derivaciones inferiores (II, III, aVF), podría sugerir isquemia en:
La pared inferior del corazón
29
ECG con descenso en el ST
30
¿Qué detecta un ecocardiograma?
1. El **movimiento anormal** de la pared cardiaca 2. Muestra **la función de bombeo** del corazón y **fracción de eyección**, que puede disminuir en el IAM. 3. Puede revelar **complicaciones** como trombos, problemas en válvulas o ruptura de la pared cardiaca
31
Diferencia entre angina de pecho estable e IAM
La angina es debido a una reducción temporal del flujo sanguíneo al corazón, pero sin daño cardíaco permanente.
32
Diferencia entre IAM y angina inestable
**Angina inestable**: Similar a la angina de pecho estable, pero con un patrón de dolor más grave, prolongado o que ocurre en reposo, indicando un mayor riesgo de infarto. - menos de 10 mins anginas y 20 minutos en IAM
33
Otros dx diferenciales que producen dificultad para respirar
* Pericarditis: produce dolor torácico agudo * Embolia pulmonar * Enfermedades pulmonares
34
Más dx diferenciales, pero vasculares
* **Disección aórtica** (ruptura en la capa interna de la aorta) * **espasmo coronario**(contracción temporal y repentina de las arterias coronarias reduciendo el flujo sanguíneo al corazón)
35
Dx diferenciales abdominales
36
¿Cual es el tx de IAM?
Terapia de reperfusión * Farmacológica (fibrinolíticos) * No farmacológico (angioplastía coronaria transluminal percutánea)