IBD Flashcards

(44 cards)

1
Q

What are the extraintestinal manifestations of ulcerative colitis?

A

Erythema nodosum
Episcleritis
Uveitis
Primary sclerosing cholangitis

How well did you know this?
1
Not at all
2
3
4
5
Perfectly
2
Q

What are the extraintestinal manifestations of Crohn’s disease?

A

Fat wrapping of mesenteric fat around the intestine
Fatty liver
Gallstones
Renal stones
Increased risk of adenocarcinoma fo distal ileum
Mouth and vagina ulcers are more common

How well did you know this?
1
Not at all
2
3
4
5
Perfectly
3
Q

What investigation confirms Crohn;s?

A

Endoscopy

How well did you know this?
1
Not at all
2
3
4
5
Perfectly
4
Q

Which opthalmolgoical patholgoies are associated with IBD?

A

Episclerritis
IBD

How well did you know this?
1
Not at all
2
3
4
5
Perfectly
5
Q

When is mesasalazine given first line?

A

For ulcerative colitis in initial presentation first line

How well did you know this?
1
Not at all
2
3
4
5
Perfectly
6
Q

What is given to induce remission in ulcerative colitis?

A

Steroids

How well did you know this?
1
Not at all
2
3
4
5
Perfectly
7
Q

What is given to maintain remission?

A

Azathriopine if mesasalazine has failed

How well did you know this?
1
Not at all
2
3
4
5
Perfectly
8
Q

What is first line in Crohn’s?

A

Oral mesasalazine

How well did you know this?
1
Not at all
2
3
4
5
Perfectly
9
Q

What is second line in Crohn’s?

A

Mesasalazine with corticosteroid

How well did you know this?
1
Not at all
2
3
4
5
Perfectly
10
Q

What is 3rd line in Crohn’s

A

immune modifying drugs like azathriopine then progreessing to methotrexate. Before adminstering, thiopurinemethyltransferase activity should be assessed, which is an indicator of bone marrow activity. CXR and PPD test to assess for latent tuberculosis

How well did you know this?
1
Not at all
2
3
4
5
Perfectly
11
Q

What can predict fistula trajectory?

A

Goodsall rule:

Posterior to transverse anal linemen as it will follow a curved course to the posterior midline
Anterior to transverse anal line: fistula will have a straight radial course to the dentate line

How well did you know this?
1
Not at all
2
3
4
5
Perfectly
12
Q

What is the Trulove and Witt severity index?

A

The Truelove and Witts severity index is used to assess the severity of a flare-up of ulcerative colitis, which then guides management decisions.

How well did you know this?
1
Not at all
2
3
4
5
Perfectly
13
Q

What are the features of TruLove and Witt?

A

The presence of bloody diarrhoea 6 or more times a day is a key diagnostic feature for severe disease, alongside one of:
temperature >37.8 degrees
pulse >90bpm
ESR >30mm/hour
anaemia.

How well did you know this?
1
Not at all
2
3
4
5
Perfectly
14
Q

What should be done if a patient meets the criteria for Trulove and Witt’s?

A

If a patient meets the criteria for severe disease they should be admitted to hospital and typically are treated with intravenous steroids (with proton pump inhibitor cover) first-line and broad-spectrum antibiotic cover if infection is suspected

How well did you know this?
1
Not at all
2
3
4
5
Perfectly
15
Q

What is assessed in TrueLove and Witts criteria?

A

TrueLove is THE MHB
T=Temperature
H= Heart rate
E=ESR
M=Movements of stool
B=Blood

How well did you know this?
1
Not at all
2
3
4
5
Perfectly
16
Q

What is severe ulcerative colitis based on Tuelove and Witts criteria?

A

Temperature over 37.8
Heart rate over 90
ESR over 30
Movement of stool as 76
HB low
Large amount of blood

How well did you know this?
1
Not at all
2
3
4
5
Perfectly
17
Q

What is moderate ulcerative colitis based on Tuelove and Witts criteria?

A

Temperature 37.1-37.8
Heart rate of 70-90
ESR less than 30
Movements of 4-6 a day
Hb low
Moderate blood in stool

How well did you know this?
1
Not at all
2
3
4
5
Perfectly
18
Q

What is sulphasalazine?

A

a combination of sulphapyridine (a sulphonamide) and 5-ASA

19
Q

What are side effects of sulphasalazine?

A

rashes, oligospermia, headache, Heinz body anaemia, megaloblastic anaemia, lung fibrosis

20
Q

How is 5-ASA distributed?

A

5-aminosalicyclic acid (5-ASA) is released in the colon and is not absorbed. It acts locally as an anti-inflammatory

21
Q

How does mesasalazine work?

A

a delayed release form of 5-ASA

22
Q

What is a risk with mesasalazine?

A

Pancreatitis 7x more than sulphasalazine
Agranulocytosis

23
Q

Which IBD is gallstones more common?

A

Crohn’s disease

24
Q

Which IBD has renal stones?

A

Crohn’s and these are calcium oxolate

25
Which drug for IBD has a high risk of pancreatitis?
Mesasalazine has greater risk than sulphasalazine -> mesasalazine is also associated with agranulocytosis
26
What is used to maintain remission in Crohn’s disease.
Azathriopine Mercaptopurine
27
When should azathriopine or mercaptopurine be avoided in managing Crohn’s?
When TPMT levels are low
28
How to maintain remission following a mild to moderate ulcerative colitis flare?
Oral aminosalicylate for extensive disease Rectal aminosalicylate for limited disease
29
How to maintain remission following a severeulcerative colitis flare?
Oral azathioprine or ora mercaptopurien
30
What is the criteria for immunosuppressants in UC?
Following a severe relapse or >=2 exacerbations in the past year oral azathioprine or oral mercaptopurine
31
Which immunosuppressant should be avoided in UC comapred to Crohn’s?
Methotrexate
32
What is knator’s string sign?
Strictre of the terminal ileum in Crohn’s disease
33
What does faecal elastase indicate?
Pancreatic cancer
34
What causes ongoing diarrhoea in Crohn’s following resection with normal CRP?
Complication of ileocecal resection, which should be treated with cholestyramine
35
What Indicates moderate exacerbation of UC?
*4-6 stools per day *Nocturnal bowel movements *Visible blood in stools *Mild anaemia
36
What indicates severe exacerbation of UC?
*6 or more stools per day * severe abdominal pain *fever * signs of systemic toxicity * elevated HR and low BP
37
What is first-line management to maintain remission in patients with Crohn's?
Azathriopine
38
What is second-line management to maintain remission in patients with Crohn's?
Corticosteroid like budesonide
39
What is peutz-jeghers syndrome?
autosomal dominant condition characterised by numerous hamartomatous polyps in the gastrointestinal tract. It is also associated with pigmented freckles on the lips, face, palms and soles.
40
Which gene is responsible for peutz-jeghers syndrome?
serine threonine kinase LKB1 or STK11
41
what are the features of peutz-jet hers syndrome?
*hamartomatous polyps in the gastronintestinal tract (mainly small bowel) *small bowel obstruction is a common presenting complaint, often due to intussusception *gastrointestinal bleeding pigmented lesions on lips, oral mucosa, face, palms and soles
42
How to manage peutz-jeghers syndrome?
Conservative unless complications develop
43
What causes crypt abscesses?
Ulcerative colitis
44
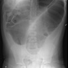
What is this sign?
Coffee bean sign due to sigmoid volvulus