

Any Meds/OTCs?





So probably UC given the distribution in the rectum, continuously up to the descending colon
B: No vasculature (non-specific- ischemia, infection, etc) or ULCERS (its still UC)


Bloody diarrhea without much pain
He was a non-smoker= **UC is more common in non-smokers actually** (the diagnosis of UC in a smoker is probably wrong). Nicotine doesnt help tx. of UC (neither does smoking)


Not really ulcerated, just lots of inflammation

Active= neutrophils
Cant distinguish between UC and CD based on active colitis

CD will be transmural!


Immunostains are available to find CMV

One of the long-term complications of ulcerative colitis (and Crohn disease) is dysplastic transformation. What are the risk factors?


Mesalamine may reduce risk of CRC

Colicky pain= wave like pain that has mild pain and then bouts of severe pain (non specific)


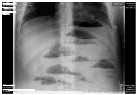
X-ray shows air-fluid levels (Caused by distension)

Could be CD, or something is obstructing the abdomen

NPO


Pt. 2


Ulcereation in the small bowel in pt. 2







