What is the definition of a stroke?
Rapidly developing highly focal CNS disorders. This happens by occlusion or rupture of an artery or uncommonly a vein (typically in obstetrics)
What part of the nervous system is rarely affected by stroke?
PNS
What is the #4 cause of death in the US?
Stroke
Physical exam findings to look for in stroke patients?
1) Rapid onset 2) Weakness in face and extremities 3) Asymmetrical reflexes 4) + Babinski on one side (toes go up on one side) 5) Difficulty speaking
What are the most common types of stroke?
Ischemic (87%) and Hemorrhagic (13%)
What is the spectrum of brain damage that can result from a stroke?
Silent stroke, transient ischemic attacks and fixed damage.
How long do you have after occlusion before brain tissue dies?
Technically 24 hours, 6 hours in reality
A patient comes to see you with weakness and sensory loss on the left side of his body. Why would you want to send him for imaging even if you strongly suspect stroke?
Intracerebral hematomas present the exact same way strokes do, you can only differentiate them with imaging. This patient may have had destruction of the internal capsule and thalamus which would cause these symptoms.
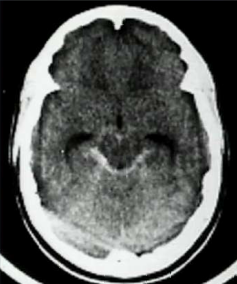
A 47 year old woman comes to the ED at 2am with a thunderclap headache and GCS of 13. Her CT scan is shown below. What are the primary causes of this patient’s headache?

Rupture of berry aneurism at arterial junctions and head injury can cause sub-arachnoid hemorrhage.
What are the best ways to prevent stroke in at-risk patients?
Control HTN, lower cholesterol, control diabetes, stop smoking, control A-fib and exercise.
What are the best ways to prevent recurrence of stroke in patients who have had a stroke before?
All primary preventative measures + anticoagulants (Aspirin, Warfarin, clopedogrel)
How are patients with recurrent stroke managed surgically?
Endarterectomy and stenting.
What complications are patients at risk for after they have had a stroke?
DVT (5-7 days after), PE (1 month after), Urinary incontinence, depression and recurrent stroke.
How quickly do you hope to give tPA to a patient with stroke?
3-4 hours