The following is the general “criteria” for what?
Fever of unknown origin
What are the 3 MC etiologies of Fever of Unknown Origin (FUO)?
What is the #1 MC malignancy to cause FUO (fever of unknown origin)?
Lymphoma, especially non-hodgkins
What is the main site of colonization of staphylococcal infections?
Nose
Is staph aureus coagulase negative or positive
positive
(Staph epidermidis and staph saprophyticus are both coag neg)
Which bacteria causes infections of:
Staph epidermidis
Which staphylococcal strain is coagulase negative and is a leading cause of UTIs?
Staphylococcus saprophyticus
What is the etiology of TSS?
Staph aureus
Clinical presentation of what?

TSS
Lab findings in TSS are consistent with what?
shock and organ failure
What is empiric antibiotic tx for TSS?
Clindamycin + Vanco
(Also needs rapid rehydration–> 3L)
What condition is caused by Staph aureus and is primarily in neonates 3-15 days old?
Staph Scalded Skin Syndrome (SSSS)
Clinical presentation of which condition?

Staph Scalded Skin Syndrome (SSSS)
Diagnosis of what?
Staph Scalded Skin Syndrome (SSSS)
What type of abx should be used to tx SSSS? If there is no response, what 2 meds should you consider?
Etiology of Anthrax?
Bacillus anthracis
T/F: there has been bioterrorism w/ anthrax spores
True
Hallmark of what condition?
(will be on exam)

Cutaneous clinical syndrome of Anthrax
What causes:
Inhalation clinical syndrome of Anthrax (the most dangerous form)
Which clinical syndrome has a prodrome including sxs like hemoptysis and dyspnea and can resultmin death within days
INHALATION clinical syndrome of Anthrax
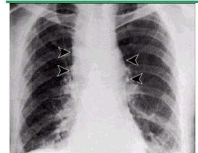
What is seen on CXR of the inhaled form of Anthrax?
(will be on exam)
Widened mediastinum

What is the GI form of Anthrax from?
consumptom of undercooked, infected meat from animals infected with anthrax
Which infectious disease causes:
GI tract clinical syndrome of Anthrax