Image Échographique Flashcards

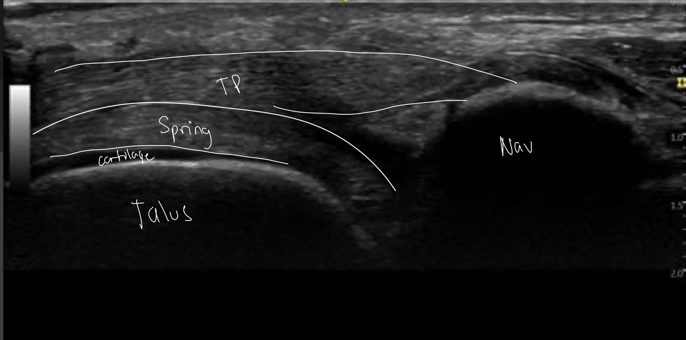
(81 cards)

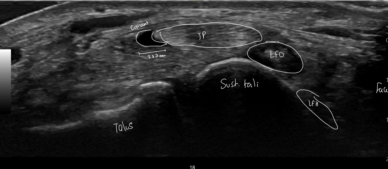
1
Q

Identifier les structures suivantes
- Tibial post
- LFO
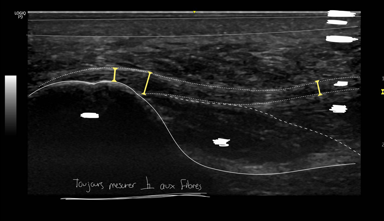
- Nerf tibial

A
How well did you know this?
1
Not at all
2
3
4
5
Perfectly
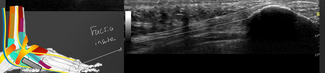
2
Q

Identifier les 6 structures situées en médial de la cheville

A
How well did you know this?
1
Not at all
2
3
4
5
Perfectly
3
Q

Identifier les structures sur cette image.

Indice: On y voit les os suivants : Tibia, talus et calcanéus

A
How well did you know this?
1
Not at all
2
3
4
5
Perfectly
4
Q

Quoi la pathologie ici?

A

Kyste ganglionnaire intra-neural (où il y a des petites étoiles

How well did you know this?
1
Not at all
2
3
4
5
Perfectly
5
Q

Place ta sonde sur l’image où le nerf tibial va se diviser en ses 2 branches, donc ou tu devrais le mesurer en court axe dans ton évaluation du syndrome du tunnel tarsien

A
How well did you know this?
1
Not at all
2
3
4
5
Perfectly
6
Q

Place ta sonde sur l’image au niveau du tunnel tarsien distale

A

Cette image permet d’éliminer un ddx de thrombose veineuse lors d’une talagie

How well did you know this?
1
Not at all
2
3
4
5
Perfectly
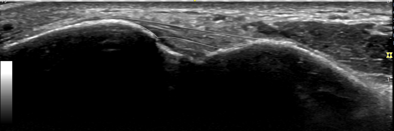
7
Q

Identifie la région du pied analysée ici

Indice : on est en plantaire dans ARP

A

Il s’agit de la tubérosité médial du calcanéus avec le fascia et les épaisseurs de la peau au dessus

How well did you know this?
1
Not at all
2
3
4
5
Perfectly
8
Q

Identifie la région étudiée

Identifie les structures en blanc

A
How well did you know this?
1
Not at all
2
3
4
5
Perfectly
9
Q

Identifie la pathologie ici

Nous somme en plantaire du pied

A

Épine infra calcanéenne

How well did you know this?
1
Not at all
2
3
4
5
Perfectly
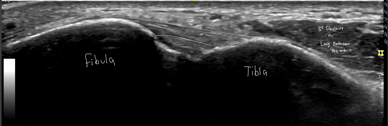
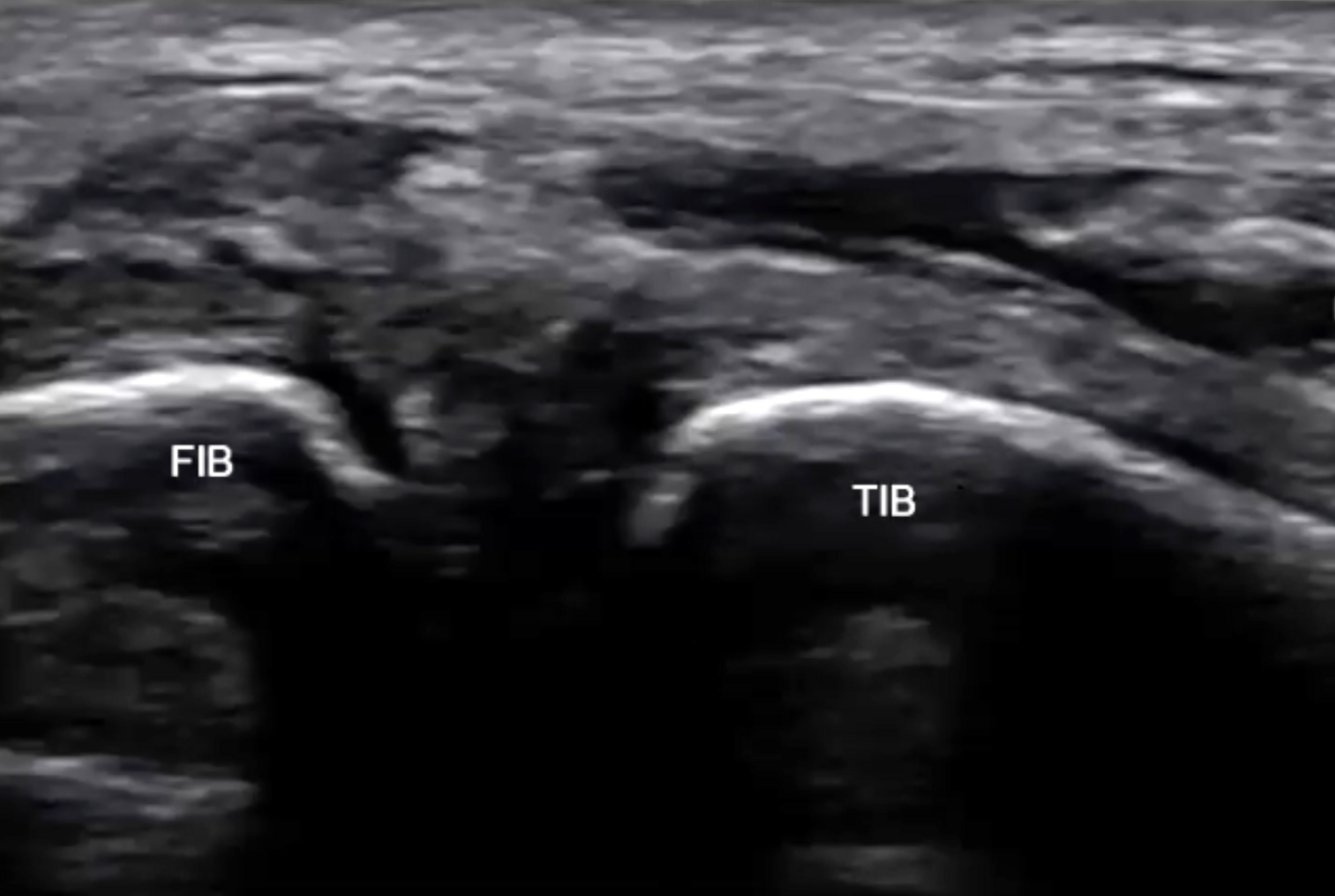
10
Q

Identifie le muscle long fibulaire sur l’image

Dans quelle structure ce muscle passe-t-il?

A
How well did you know this?
1
Not at all
2
3
4
5
Perfectly
11
Q

Identifie les structure sur l’image
Dites dans quelle region du pied il se situe

A

Région du long fibulaire en long axe, donc sous le pied

How well did you know this?
1
Not at all
2
3
4
5
Perfectly
12
Q

Identifie les structure sur l’image

Dites dans quelle region du pied il se situe

A

Situer en antérieur de la cheville

How well did you know this?
1
Not at all
2
3
4
5
Perfectly
13
Q

Identifie les structure sur l’image

Indice: Médial de la cheville

A

Nous sommes en médial de la cheville

How well did you know this?
1
Not at all
2
3
4
5
Perfectly
14
Q

Identifie les structure sur l’image

Dites dans quelle region du pied il se situe

A

Nous sommes en médial de la cheville
C’est écrit talus, mais c’est le tibia à gauche

How well did you know this?
1
Not at all
2
3
4
5
Perfectly
15
Q

Identifie les structure sur l’image

Indice : médial de la cheville

A

Nous sommes en médial de la cheville

How well did you know this?
1
Not at all
2
3
4
5
Perfectly
16
Q

Identifie les structure sur l’image

Dites dans quelle region du pied il se situe

A

Latérale de la cheville
Retromalléolaire
Sonde parallèle au sol

How well did you know this?
1
Not at all
2
3
4
5
Perfectly
17
Q

Identifie les structure sur l’image
Dites dans quelle region du pied il se situe

A

Latérale du pied
Au niveau de la trochlée des fibulaires
Parallèle au rétinalucum inférieur des fibulaires

How well did you know this?
1
Not at all
2
3
4
5
Perfectly
18
Q

Identifie les structure sur l’image
Dites dans quelle region du pied il se situe

A

Court fibulaire en long axe
En latérale de la cheville/peid

How well did you know this?
1
Not at all
2
3
4
5
Perfectly
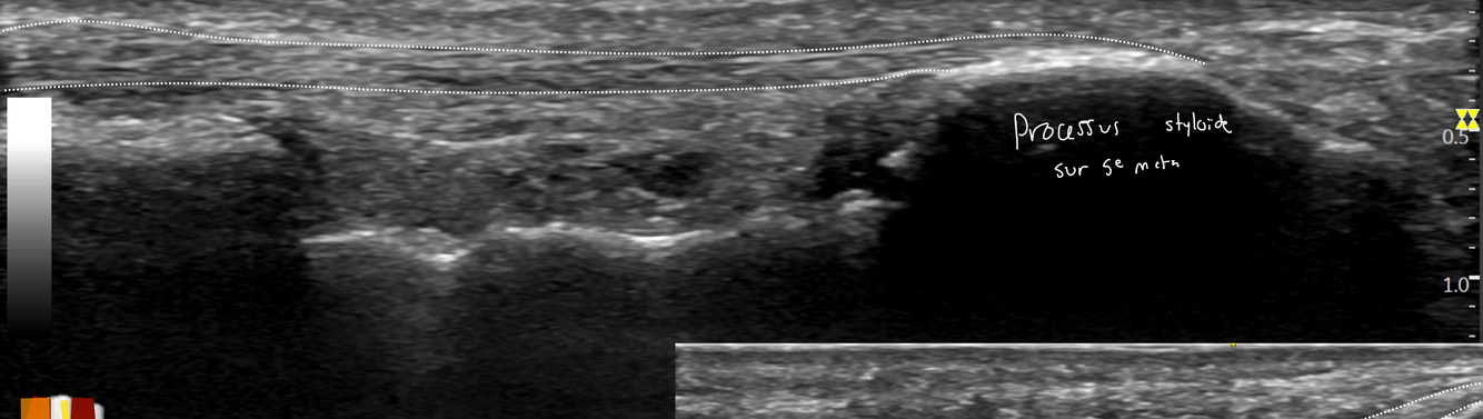
19
Q

Identifie les structure sur l’image
Dites dans quelle region du pied il se situe

A

En latérale de la cheville/pied

On y aperçoit la bande latérale du fascia plantaire en long axe qui s’insert sur le processus styloïde du 5e meta (plus en plantaire/5h)

La sonde est parallèle à la face plantaire

How well did you know this?
1
Not at all
2
3
4
5
Perfectly
20
Q

Identifier la pathologie ici

A

Instabilité des fibulaires
Type B = Fissuration longitudinale
Selon la classification de Raikin

How well did you know this?
1
Not at all
2
3
4
5
Perfectly
21
Q

Identifier les structures sur l’image suivant

Indice : Antérieur de la cheville

A

C’est une visualisation du Ligament tibio-fibulaire antérodistal (LTFAD) pour visualiser une potentielle entorse haute de la cheville

How well did you know this?
1
Not at all
2
3
4
5
Perfectly
22
Q

Identifier la pathologie ici

A

On démontre ici une atteinte du ligament tibio-fibulaire antérodistal (LTFAD)

Soit une entorse haute de la cheville

How well did you know this?
1
Not at all
2
3
4
5
Perfectly
23
Q

Comparer l’image de haut avec l’image de bas

a) Dans quelle région sommes-nous?

b) Quelles sont les structures sur l’image

c) Quelle est la pathologie visible sur l’image du bas?

A

a) Latérale de la cheville, au niveau du ligament talo-fibulaire antérieur

b) Voir image

c) Entorse partielle du ligament talo-fibulaire antérieur, du à un épaississement. Aussi, le ligament est plus lâche et il reste des fibres d’attachées

How well did you know this?
1
Not at all
2
3
4
5
Perfectly
24
Q

Identifier les structures ici

A

L’image est une visualisation du ligament calcanéo-fibulaire

How well did you know this?
1
Not at all
2
3
4
5
Perfectly
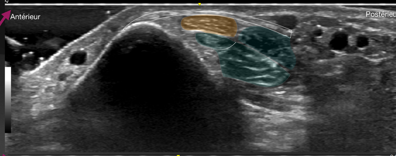
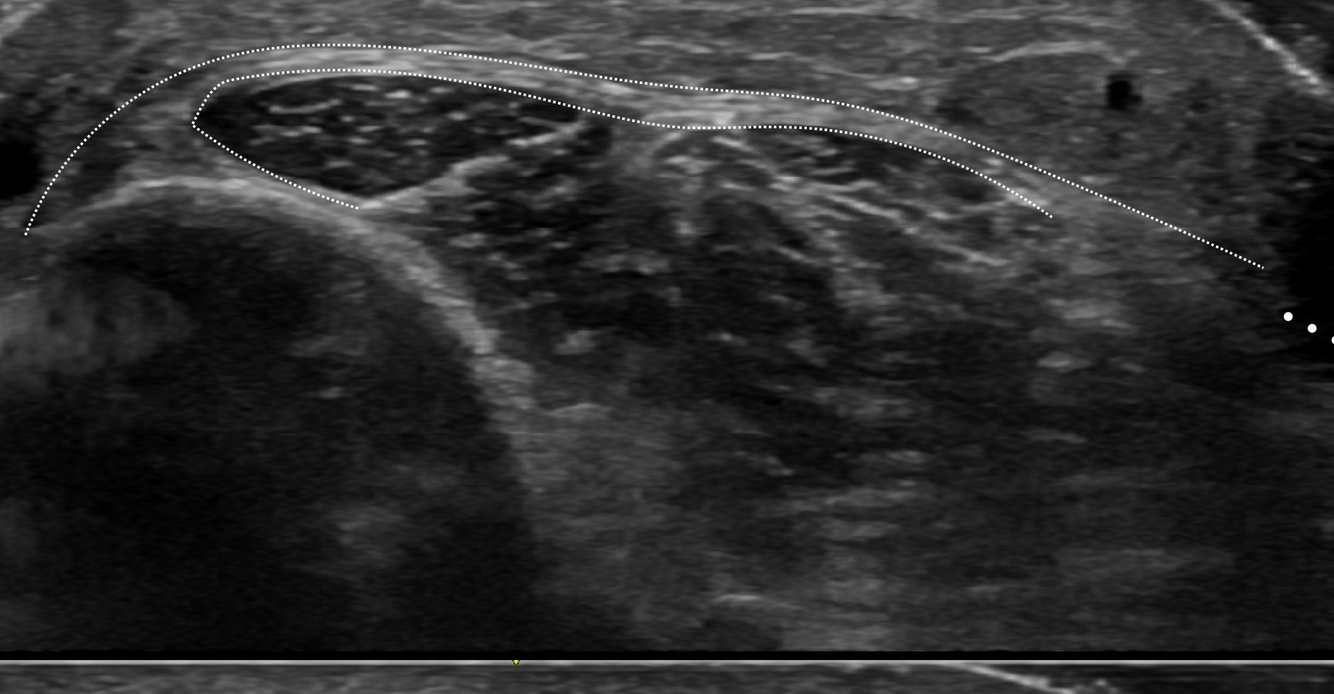
25
Identifier les structures ici Indice : Dorsal du pied / Antérieur de cheville
Il s'agit du visualisation en long axe du ligament bifurqué (branche latérale) soit ligament calcanéocuboïdienne médial
26
Identifier les structures ici
Il s'agit du visualisation en long axe du ligament bifurqué (branche médial) soit le ligament calcanéo-naviculaire latéral
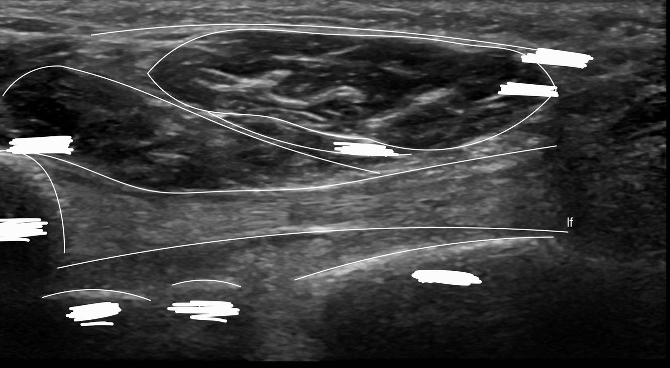
27
Identifier les 3 muscles sur le dessus des os et les 2 ligaments pointés par les flèches blanches
Il s'agit d'une vue en court axe des ligaments bifurqué, en dorsal du pied
28
Identifier les structures anatomiques a-b-c-d et e sur l'image.
a = Expansion LATÉRALE du rétinaculum des extenseurs b = Expansion INTERMÉDIAIRE du rétinaculum des extenseurs c = Expansion MÉDIAL du rétinaculum des extenseurs d = Ligament cervial e = Ligament interosseux talo-calcanéen
29
Qu'est-ce qui est présentée sur l'image?
La jonction musculaire du tendon d'Achille
30
Identifiez les différentes structures La sonde est situé en postérieur de la cheville
31
Delimité le tendon d'Achille sur cette image en court axe postérieur à la cheville
32
Identifiez le nerf tibial sur cette vue postérieur de la cheville
33
Qu'est-ce qui est visible ici comme pathologie du tendon d'Achille?
Désinsertion myotendineuse Phase séquellaire et hypertrophie du tendon
34
Qu'est-ce qui différencie l'image de droite de l'image de gauche.
À droite, il y a une tendinopathie globale du tendon d'achille visible par une épaississement du tendon De plus, on peut voir que la tangente de la face antérieur du tendon entre dans le calcanéus
35
Qu'est-ce qui différencie l'image de droite de l'image de gauche.
L'image de gauche est problématique, puisqu'il y a perte de l'aspect linéaire --» Il est déchiré complètement À confirmer je ne suis pas certain
36
Quel est le probléme ici? Vue postérieure de la cheville
Enthésopathie du tendon d'Achille
37
Quelle est la pathologie visible ici? Vue postérieure de la cheville
Syndrome de Haglund On voit une zone hypoéchogène dans la portion antéro-distal de la portion libre du tendon d'Achille
38
On voit qu'il y a 2 petites boules hyperéchogène à droite complètement de l'image sous le point jaune. Selon toi, laquelle est un épaississement de fibres et lequel est un os? On est en postérieur de la cheville
On voit sur l'image l'enthèse du tendon d'Achille La boule de gauche est un épaississement des fibres en raison de l'absence de cone d'ombre postérieur en dessous La boule de droite a un cône d'ombre postérieure, et donc a plus de chance d'être une épine rétro-calcanéenne
39
Qu'est-ce qui est présenté comme pathologie ici?
Une enthésopathie du tendon d'Achille - Perte de l'aspect fibrillaire des fibres distale du tendon - Interruption partielle (50%) des fibres antérieures = épanchement anéchogène au bord postéro-supérieur du calcanéus
40
Quelle est la pathologie visible sur l'image? Vue postérieur de la cheville
Bursopathie pré-achilléenne On peut clairement voir la bourse qui est plus grosse et anéchogène
41
Quelle est la pathologie visible sur l'image? Vue postérieur de la cheville
Une bursopathie rétro-achillenne On peut voir un épaississement isoéchogène postérieur au calcanéus On sait qu'il y a un caractère liquidien en raison du renforcement postérieur sous la bourse
42
Identifie le LFH sur cette image Comment l'image a-t-elle été prise?
43
A-t-on affaire à une tenosynovite du LFH ou un kyste arthrosynovial? Pourquoi?
Kyste arthrosynoviale, car on peut voir que la zone hypo/anéchogène qui est du liquide est onnecté à l'articulation, ce qui ne serait pas le cas si c'était une tenosynovite du LFH
44
Identifie les structures sur l'image Vue antérieur de la cheville
C'est une belle image qui montre l'articulation talo-crurale
45
À quelle endroit se situe la bourse de Gruberi sur cette image?
46
S'agit-il d'une synovite ou d'un épanchement articulaire?
Épanchement articulaire On voit quil y a une connection avec l'articulation
47
S'agit-il d'une synovite ou d'un épanchement articulaire?
48
49
Identifier le muscle tibial antérieur et l'artère tibial antérieur sur l'image suivante Vue de l'articulation talo-crurale en CA
50
Quel est le stade de la synovite selon l'aspect de la capsule articulaire?
Grade 1 SH linéaire, c’est-à-dire au même niveau la ligne articulaire
51
Quel est le stade de la synovite selon l'aspect de la capsule articulaire?
Grade 0 Absence d’hypertrophie synoviale (SH)
52
Quel est le stade de la synovite selon l'aspect de la capsule articulaire?
Grade 3 SH surélevée par rapport à la ligne articulaire mais qui est convexe
53
Quel est le stade de la synovite selon l'aspect de la capsule articulaire?
Grade 2 SH surélevée par rapport à la ligne articulaire mais qui demeure plate ou concave
54
Quel est le stade de la synovite selon le doppler puissance?
Grade 3 Signaux > 50% de la synoviale
55
Quel est le stade de la synovite selon le doppler puissance?
Grade 0 Pas de signal
56
Quel est le stade de la synovite selon le doppler puissance?
Grade 2 Signaux < 50% de la synoviale
57
Quel est le stade de la synovite selon le doppler puissance?
Grade 1 ≤ 3 signaux ou 2 signaux reliés
58
Quelle est la problématique ici? Vue dorsale du pied
Thrombose veineuse des veines en dorsales Arcade dorsale veineuse du pied ou Veine marginale médiale
59
Quelle est la pathologie ici?
Entorse du ligament de Lisfranc
60
Quelle est la pathologie ici?
Clairement de l'arthrose - Important ostéophyte avec cone d'ombre postérieur - Épaississement de la membrane synoviale - Souris articulaire - Collection anéchogène dans le recessus articulaire
61
Quelle est la pathologie ici?
Goutte Tophus goutteux, pas de double contour visible ici
62
Quelle est la pathologie présentée ici?
Maladie de Freiberg
63
Identifie les structures sur l'image échographique Quel est la pathologie?
Plantaire en haut Névrome de Morton
64
Quelle est la pathologie présentée ici?
Bursopathie
65
Quelle est la pathologie présentée ici?
Il s'agit d'une rupture de la plaque plantaire La flèche de gauche pointe du liquide qui temoigne de cette rupture, et ce liquide favorise un changement d'impédance acoustique et donc un interface de cartilage pointé par la flèche de droite
66
Quelle est la pathologie présentée ici sur l'image du haut?
Vue en plantaire qui montre une rupture partielle de la plaque plantaire L'image du bas montre un vue en dorsale d'un épanchement, caractéristique d'une atteinte en plantaire lors que c'est aigu. Quand ça fait plus longtemps, peut-être qu'il n'y en aura pas
66
Quelle pathologie est présentée sur l'image? Gauche = CA Droite = LA
Rupture complète de la plaque plantaire, présenté par un signe caractéristique qui est la position des fléchisseurs directement au niveau des têtes meta En CA, tu vas voir l'Intégriter de la Plaque Plantaire En longue axe, plus facile de voir la rupture complète de la plaque
67
Sur cette image Identifie les structures et dites quelle est la pathologie présentée Indice: On est en plantaire de l'AVP
68
Identifier la pathologie ici Vue plantaire de AVP
TURF toe grade 2 Épaississement du LSPM avec diastase entre phalange proxi et sesamoïde tibial (médial)
69
Identifier les structures anatomiques sur l'image suivante
70
Identifier la pathologie sur l'image
Verrue plantaire --» Lésion hypoéchogène fusiforme intra-dermique Doppler +
71
Identifier la pathologie sur l'image
Kyste myxoïde/mucoïde --» anéchogène et sous l'ongle
72
Identifier la pathologie sur l'image
Hématome intralamellaire --» Dédoublement hypoéchogène de la plaque unguéale
73
Identifier la pathologie sur l'image
Carcinome basocellulaire Marge irrégulière, hypoéchogène, multiple tâches hyperéchogènes
74
Identifier la pathologie sur l'image
lipome Masse isoéchogène homogène Doppler -
75
Identifier la pathologie sur l'image
Panniculite Tissu mous ont une échogénicité augmenté, et donc sont plus flous Doppler +
76
Identifier la pathologie sur l'image
Abcès Lobullé Doppler positif en périphérie Renforcement postérieur
77
Identifier la pathologie sur l'image
Hématome Anéchogène
78
Identifier la pathologie sur l'image
Rétronychie Hypertrophie hypocéhogène des tissus proximaux de l'ongle avec une couche isoéchogène des tissus SC
79
Identifier la pathologie sur l'image
Hématome sous-unguéal Épaississement hypoéchogène du lit de l'ongle avec colelction anéchogène Hypertrophie isoéchogène de la matrice avec doppler +
80
Identifier la pathologie sur l'image
Corps étranger en verre Difficile a voir hyper/iso- échogène faible cône d’ombre postérieur réverbération (possible)