image identification Flashcards

(136 cards)

1
Q
A

h&e of hand ligament - can see collagen fibres tightly packed and orientated in one direction for maximum strength - ie dense regular

How well did you know this?
1
Not at all
2
3
4
5
Perfectly
2
Q
A

h&e - dermis of the skin. less packed collagen fibres, irregular arrangment to provide strength in many directions.
dense irregular

How well did you know this?
1
Not at all
2
3
4
5
Perfectly
3
Q
A

reticulin fibres, type three collagen, tis

How well did you know this?
1
Not at all
2
3
4
5
Perfectly
4
Q
A

thick sheets of elastic fibres with wave like conformation. this is a relaxed artery wall with the cells between the elastin as smooth muscle cells

How well did you know this?
1
Not at all
2
3
4
5
Perfectly
5
Q
A

artery will with specific elastin stain which stains elastin black and collagen red

How well did you know this?
1
Not at all
2
3
4
5
Perfectly
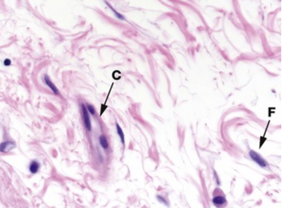
6
Q

identify F and C, and what the image is of, with reasoning

A

areolar tissue of the submucosa of the bowel wall. the ground substance has not picked up any stain and appears white. few loose connective tissues in pink.
F is a fibroblast
C is a blood vessel

How well did you know this?
1
Not at all
2
3
4
5
Perfectly
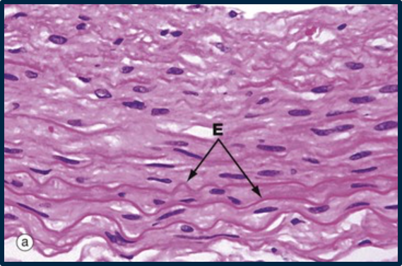
7
Q

identify the letters

A

E is elastin
L is collagen
Ma are mast cells
Cap is capillary

How well did you know this?
1
Not at all
2
3
4
5
Perfectly
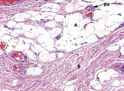
8
Q
A

white adipose tissue, stains pail because of the lipid content which gets dissolved out during paraffin embedding.
chicken wire appearance dur to thin rim of peripheral cytoplasm around the lipid

How well did you know this?
1
Not at all
2
3
4
5
Perfectly
9
Q
A

reticulin stain of a lymph node

How well did you know this?
1
Not at all
2
3
4
5
Perfectly
10
Q
A

H&E staining of a ligament

How well did you know this?
1
Not at all
2
3
4
5
Perfectly
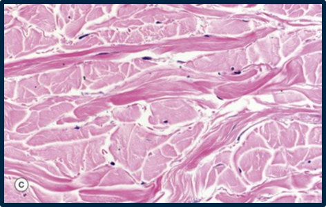
11
Q
A

H&E staining of a tendon

How well did you know this?
1
Not at all
2
3
4
5
Perfectly
12
Q
A

neurons

How well did you know this?
1
Not at all
2
3
4
5
Perfectly
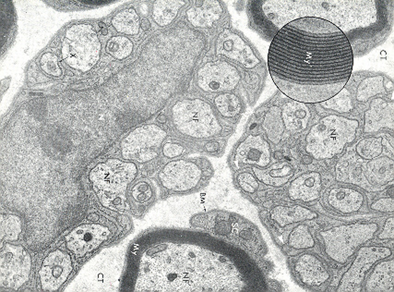
13
Q
A

big grey blob is the schwann cell, outer circular structures are unmyelinated axons

How well did you know this?
1
Not at all
2
3
4
5
Perfectly
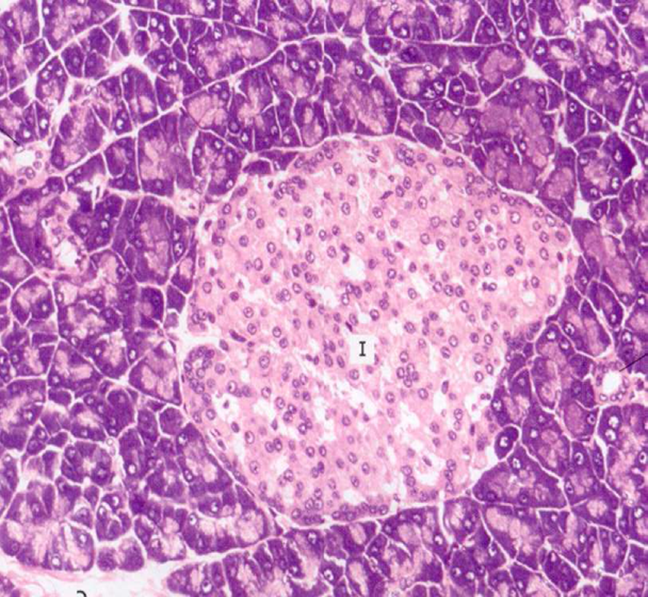
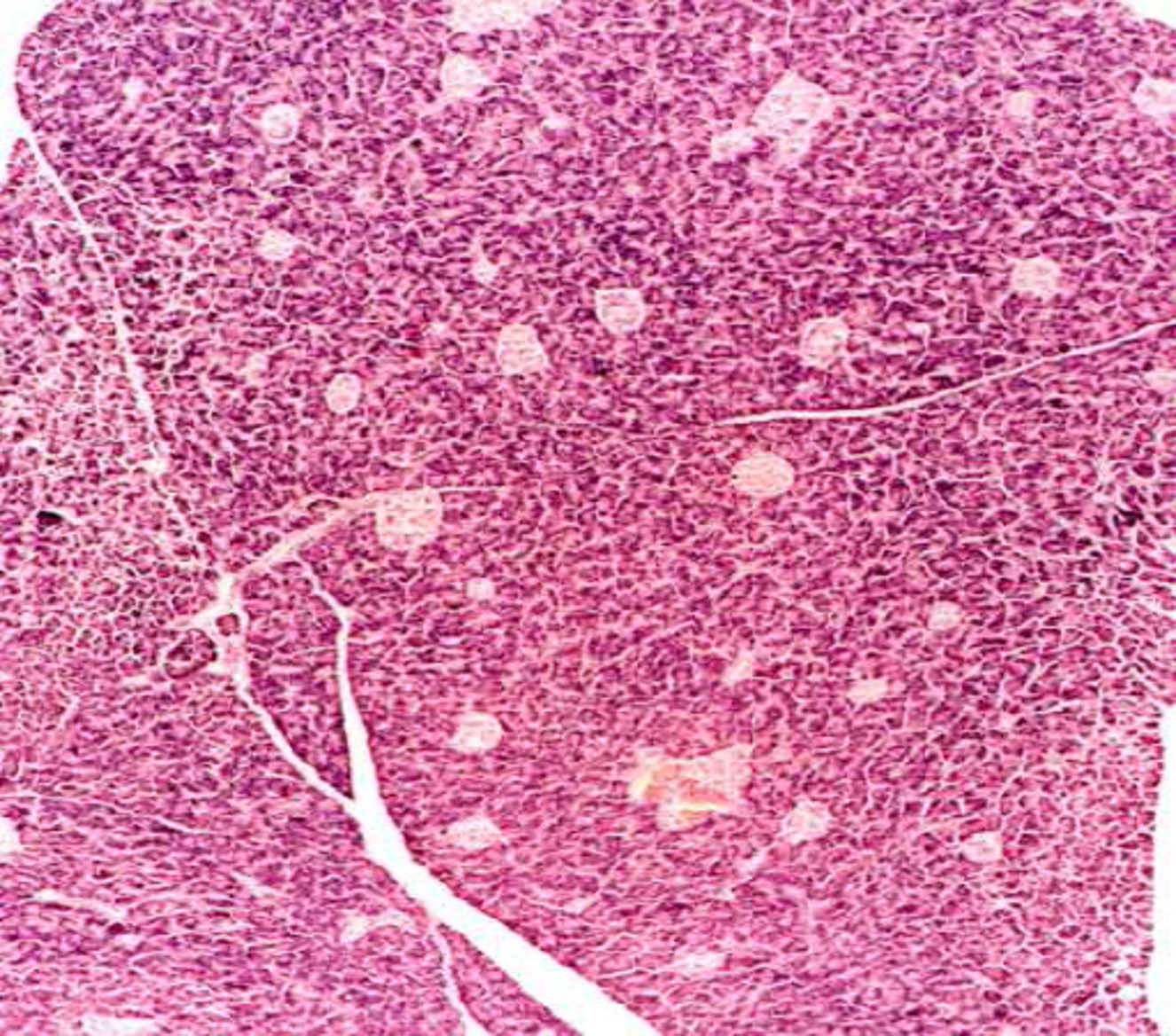
14
Q
A

islet of langerhan in the pancreas

How well did you know this?
1
Not at all
2
3
4
5
Perfectly
15
Q
A

islet of langerhan in the pancreas

How well did you know this?
1
Not at all
2
3
4
5
Perfectly
16
Q
A

this is the ileum. you can identify this due to the presence of peyers patches, the big purple blob on the left hand side. it is lymphoid tissue, and thickens the intestinal epithelium
V is the villus
M is the mucosa
S is the submucosa
MM is the muscularis mucosa
CM is the inner circular mucosa
LM is outer longitudinal muscle
Sr is serosa

How well did you know this?
1
Not at all
2
3
4
5
Perfectly
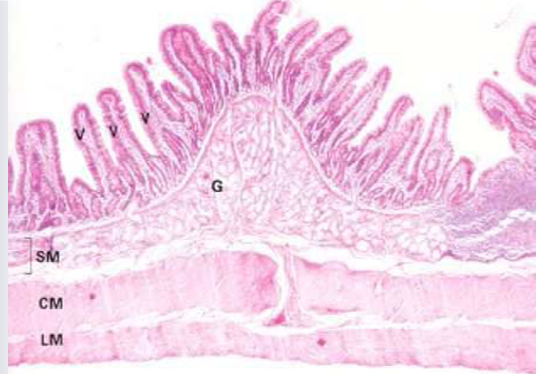
17
Q
A

this is the duodenum.
V is villus
there is simple columnar epithelium
SM is the submucosa
G is the glands
there is the muscularis propria as well

How well did you know this?
1
Not at all
2
3
4
5
Perfectly
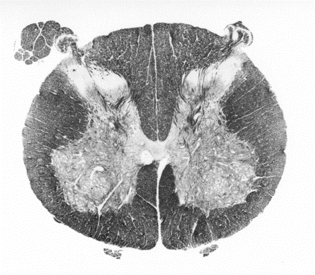
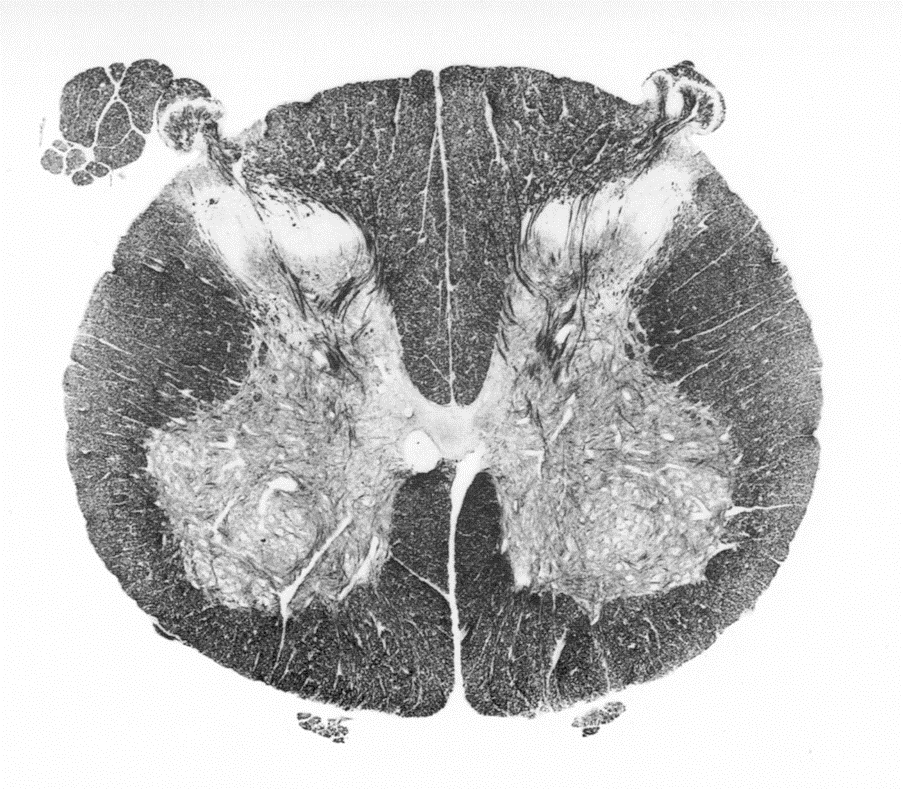
18
Q
A

spinal cord. dorsal horn grey matter at the top half and ventral at the bottom

How well did you know this?
1
Not at all
2
3
4
5
Perfectly
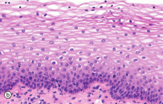
19
Q
A

oral cavity epidermis

How well did you know this?
1
Not at all
2
3
4
5
Perfectly
20
Q
A

a small squamous carcinoma, as the epithelium invades into the connective tissue and underlying muscle. no ulceration.

How well did you know this?
1
Not at all
2
3
4
5
Perfectly
21
Q
A

cervical region of spinal cord

How well did you know this?
1
Not at all
2
3
4
5
Perfectly
22
Q
A

thoracic region of the spinal cord

How well did you know this?
1
Not at all
2
3
4
5
Perfectly
23
Q
A

lumbar region of the spinal cord

How well did you know this?
1
Not at all
2
3
4
5
Perfectly
24
Q
A

sacral region of the spinal cord

How well did you know this?
1
Not at all
2
3
4
5
Perfectly
25
what are the arrows pointing at
top is parietal, bottom is chief
26
what are the borders and arrows indicating
nasopharynx are the borders far left arrow is adenoid tonsils middle arrow is tubal tonsils right arrow is the opening of the eustachian tube
27
what are the arrows indicating
top - superior constrictor middle - middle bottom - inferior
28
what is indicated by the letters
E - epithelium MM - muscularis mucosae SM - submucosa G - mucous secreting glands
29
oesophagus
30
gastro oesophageal junction.
31
duodenum
32
pancreas
33
serous acinus of the salivary gland
34
striated duct of the salivary glands
35
mixed acinus of the salivary glands
36
mucous acinus
37
alpha helix structure
38
collagen triple helix structure
39
myoglobin
40
glycogen
41
microtome
42
convoluted tubule brush border projecting into the lumen PAS positive basement membrane
43
44
identify the desmosomes
45
thick skin
46
thin skin
47
pemphigus
48
cholesterol
49
cortisol
50
estrogen
51
testosterone
52
hyaline cartilage
53
what is indicated
fibrocartilage. CC ischondrocytes
54
elastic cartilage stained by van gieson
55
osteoarthritis
56
rheumatoid arthritis
57
what is this and what are the labels indicating
liver
58
what is N
neurons
59
ependyma
60
astrocyte
61
microglia
62
oligodendrocyte
63
what is this and what do the arrows indicate
dentine A is the original tubule outline B is the intertubular dentine C is the intratubular dentine otherwise called peritubular
64
what are the tiny arrows pointing at
left - odontoblast middle - predentine right - dentine
65
label the sides including the line indicated by the arrow, for this upper right anterior
66
what kind of tooth is represented here
lower left premolar or molar
67
sound tooth
68
occlusal restoration needs replacing
69
occlusal caries
70
occlusal restoration
71
posterior interproximal caries
72
posterior interproximal restoration requires replacing
73
posterior interproximal restoration
74
mesial occlusal distal occlusal restoration will depend on the side of the mouth
75
mesial occlusal distal restoration
76
MOD restoration with a buccal or palatal extension
77
palatal restoration of an upper anterior
78
labial and interproximal caries on an upper anterior
79
interproximal restoration including the incisal edge of an anterior tooth
80
buccal restoration of a lower posterior tooth
81
two separate occlusal restorations of a posterior tooth
82
buccal cervical restoration on a lower posterior
83
PE
partially erupted
84
FS
fissure sealant
85
UE
unerupted tooth
86
an arrow
tooth has drifted in the direction of that arrow, be it mesial or distal
87
tooth to be extracted
88
tooth missing
89
tooth extracted
90
incisal edge fractured
91
retained roots
92
crown
93
temporary dressing or filling
94
root canal filling with a complete restoration
95
root canal treatment required, cavity present
96
what replaces the missing tooth bridge
pontic bridge
97
where do bridge retainers go
on the adjacent teeth to the bridge pontic
98
splint or retainer
99
porcelain veneer
100
retained deciduous tooth
101
tooth is missing and the space is closed
102
what is this and what do the arrows indicate
epithelium and its cell layers
103
parakeratinised
104
label
105
masticatory mucosa
106
107
filiform papilla
108
fungiform papilla
109
circumvallate papillae
110
vermillion border
111
what is labelled
sebaceous glands on top and salivary glands below
112
geographical tongue
113
cardiac muscle
114
skeletal muscle
115
skeletal muscle
116
smooth muscle
117
label
118
119
120
simple branched tubular
121
compound acinar
122
compound tubular
123
comound tubuloacinar
124
simple acinar
125
simple branched acinar
126
simple coiled tubular
127
simple tubular
128
merocrine
129
apocrine
130
holocrine
131
what is indicated by the numbers
1 - venule 2 - arteriole
132
what is this and why
duodenum as there are villi and brunners glands
133
fat cells
134
what is this and why
cerebellum - there are purkinje fibres
135
hyaline cartilage, the cells are chondrocytes
136
oesophageal cardiac junction - epithelium on the left is squamous and there are oesophageal glands in the submucosa