IMAGE INTERPRETATION Flashcards

(17 cards)

1
Q

What does this image show?

A

The image shows marked right ventricular hypertrophy and enlargement that is most consistent with pulmonary hypertension due to any cause. The relative paucity of lung uptake of the technetium-99m agent suggests possible obstructive airway disease, which is a frequent cause of pulmonary hypertension and right ventricular hypertrophy.

How well did you know this?
1
Not at all
2
3
4
5
Perfectly
2
Q

Significance of increased lung uptake with Thallium?

A

When using thallium-201 with stress, there may be increased lung uptake of thallium-201 on the stress images due to severe ischemia, which causes an increase in the lung-to-heart ratio. This is due to a transient elevation of the pulmonary capillary wedge pressure in association with ischemia and the extravasation of thallium-201 from the intravascular into the interstitial space. Such abnormal heart-to-lung ratios in association with serve ischemia have not been reported with technetium-99m agents and ratios are not routinely measured.

How well did you know this?
1
Not at all
2
3
4
5
Perfectly
3
Q

Which agent and stress protocol was most likely used for this study?

A

Based on the grainy quality of the rest images due to the low count statistics, we are led to conclude that this is a 1-day study using a low-dose rest, 8 to 12 millicuries, and a high-dose stress, 20 to 30 millicuries, study.

In a dual-isotope protocol, the resting thallium-201 images may have a similar granularity due to low counts associated with the lower dose, 2.5 to 4 millicuries, that is administered to avoid high radiation exposure and the slower radioactive decay. We know both agents are technetium-99m based on the biodistribution that includes large amounts of radioactivity in the liver and gastrointestinal (GI) track. Thallium-201 may have some GI uptake but not the high quantity and the linear/tubular pattern that is shown here. This excludes dual-isotope protocol and is most consistent with a low-dose rest/high-dose stress sequence.

How well did you know this?
1
Not at all
2
3
4
5
Perfectly
4
Q

In a 2 day study done in heavy patients how are the rest and stress doses comparable?

A

A 2-day technetium-99m study are performed on heavy patients using high and comparable doses to allow high and comparable doses for both the stress and rest in order to achieve optimal image quality.

How well did you know this?
1
Not at all
2
3
4
5
Perfectly
5
Q

What is prominent finding here?

A

On the rest, but most prominently on the high-dose stress anterior images, there is marked thickening of the diaphragm recognized as a lucency starting from the patient’s right abdominal wall and extending all the way to the heart. Both attenuation by the diaphragm muscle and the contrast between the vascular lungs above and the liver-associated technetium-99m uptake give the dark appearance. With severe COPD, there is marked hypertrophy of the diaphragm resulting in such an appearance on the projection images.

How well did you know this?
1
Not at all
2
3
4
5
Perfectly
6
Q

In a patient who underwent SPECT MPI for atypical chest pain and had following images. He did 13.5 METS. What is the abnormality?

A

This is unlikely to be three vessel disease (apex not involved, territories don’t make sense). Also patient did 13.5 METS !!!!.

This is a scaling artifact! We see a hot spot at the apex and then everything is getting normalized in stress to this spot which is decreasing the counts diffusely.

How well did you know this?
1
Not at all
2
3
4
5
Perfectly
7
Q

A 60-year-old female presents with chest pain to the emergency department and is referred for
exercise SPECT MPI. Based results below, what is the next best step for management?

A

Discharge!
Completely normal study. We don’t require CTA, CATH or hospital admission.

How well did you know this?
1
Not at all
2
3
4
5
Perfectly
8
Q

A 58-year-old female with progressive chest pain is referred for an outpatient stress myocardial
perfusion imaging (MPI). Based on Figure, what is the next best step for this patient?

A

The images demonstrate a large area of severe ischemia involving the apex, septum, anterior, and the lateral walls. There is transient ischemic dilation of the cavity. This is a high-risk scan consistent with severe tight proximal disease in the left anterior descending or left main or diffuse severe multivessel disease. In view of the progressive symptoms, coronary angiography is the best management option.

Aggressive medial therapy is indicated but not the best option given the severity of the ischemia.

How well did you know this?
1
Not at all
2
3
4
5
Perfectly
9
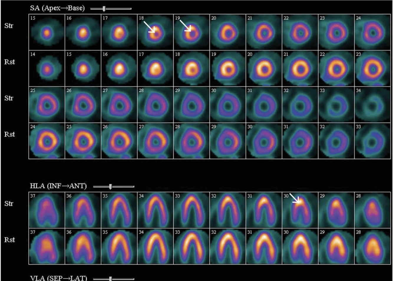
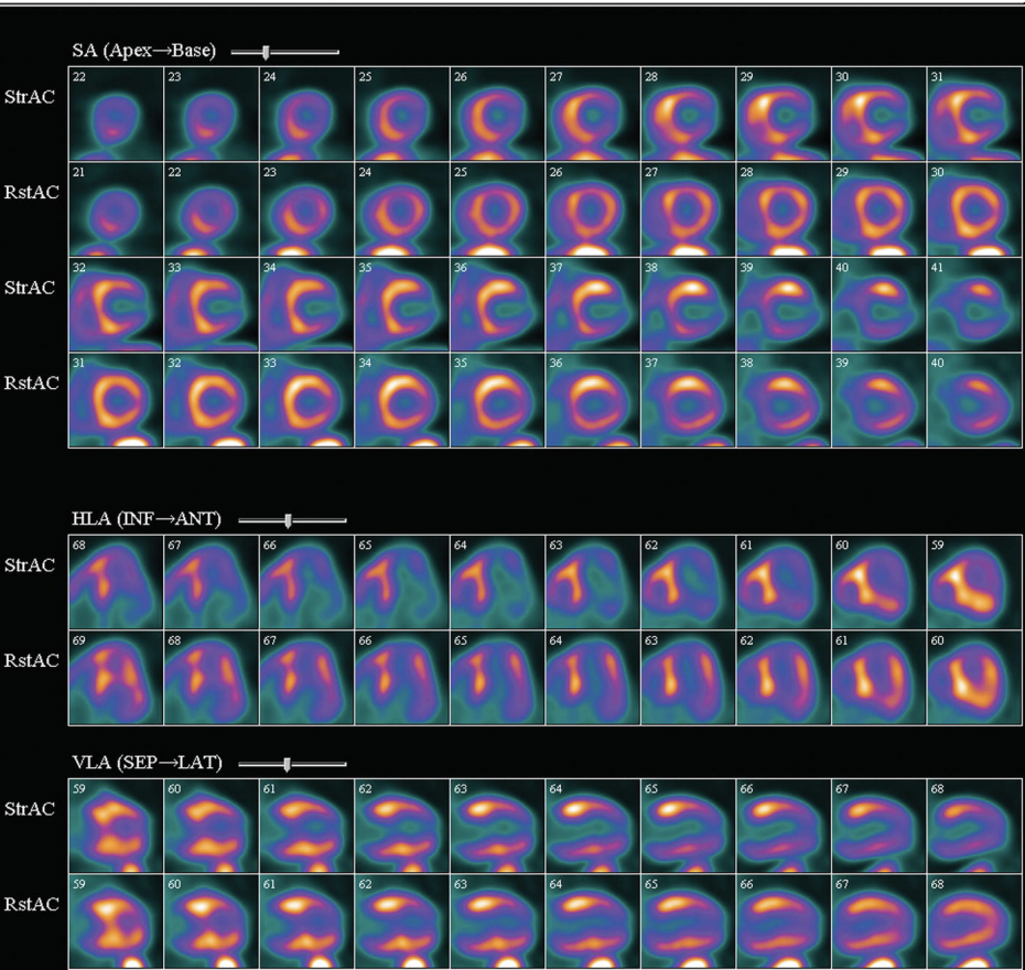
Q

A 75-year-old male with a remote myocardial infarction and atypical chest pain is referred for a rubidium-82 vasodilator positron emission tomography (PET) study. The stress and rest images show:the following. What are the defects?

A

There is definitely lateral wall ischemia, but there is also an apical infarction

How well did you know this?
1
Not at all
2
3
4
5
Perfectly
10
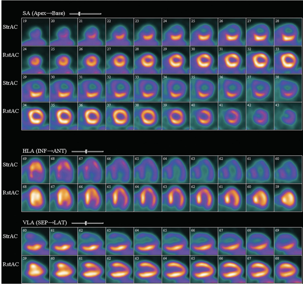
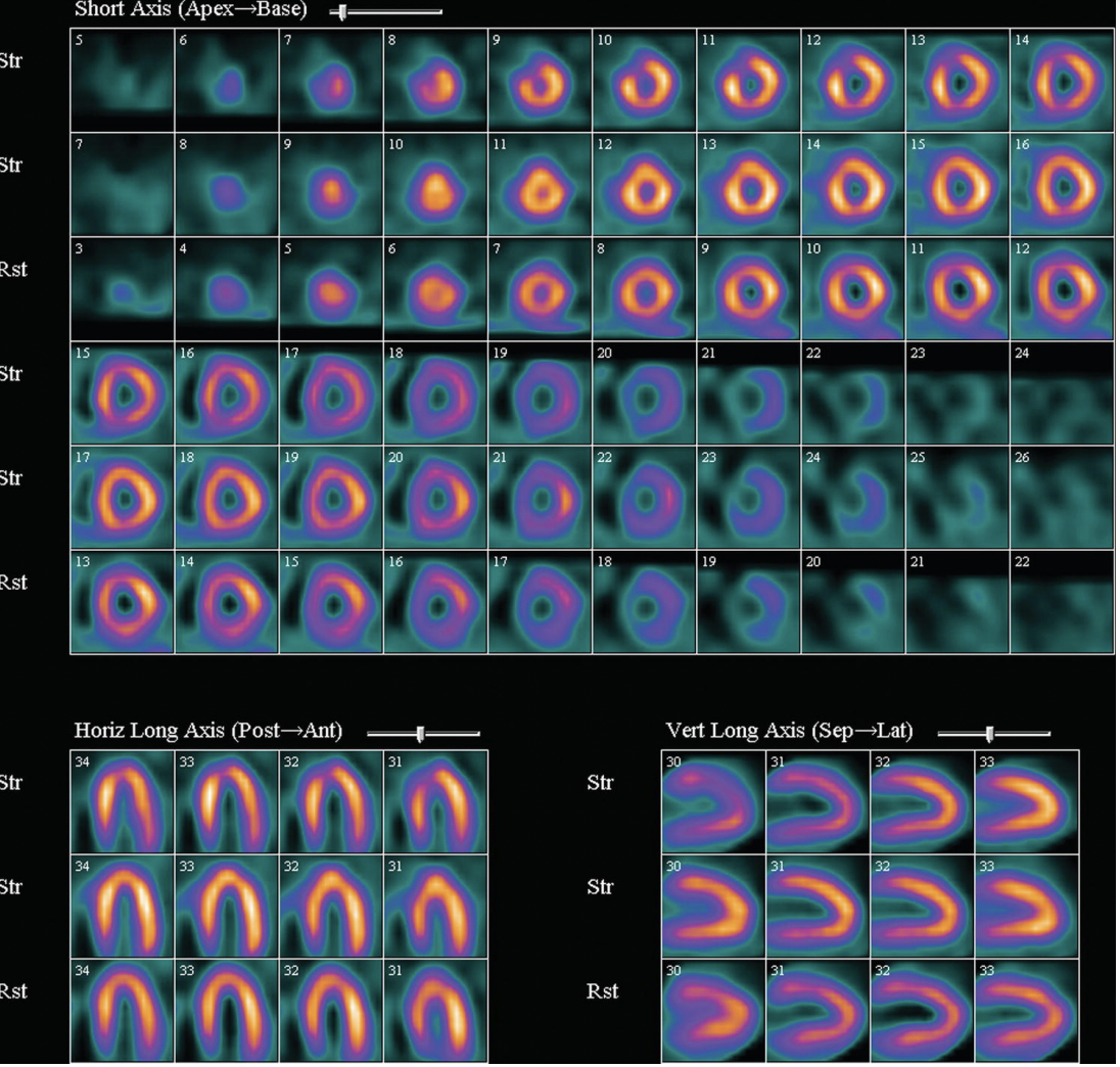
Q

An 85-year-old male with moderate CAD documented 6 years ago presents with atypical chest pain. An exercise stress SPECT MPI is performed and the short-axis view is shown in Figure . Which coronary artery is likely to be causing the symptoms?

A

RCA

How well did you know this?
1
Not at all
2
3
4
5
Perfectly
11
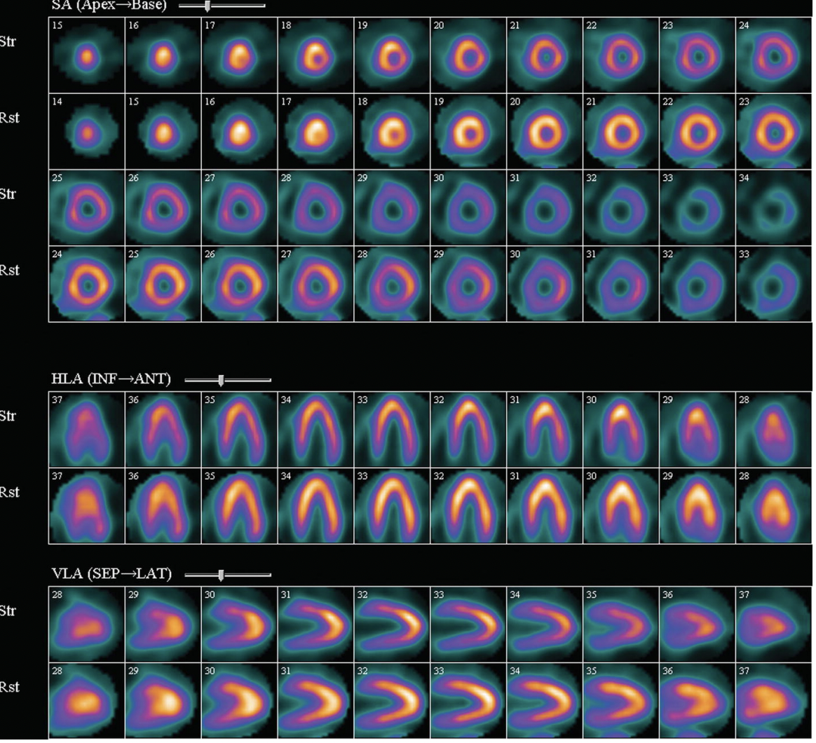
Q

Inferior and lateral wall defects seen on the short-axis view are best corroborated on?

A

Vertical long axis

How well did you know this?
1
Not at all
2
3
4
5
Perfectly
12
Q

Defects in the septum and lateral walls in the short-axis views are best corroborated on?

A

Horizontal long-axis views.

How well did you know this?
1
Not at all
2
3
4
5
Perfectly
13
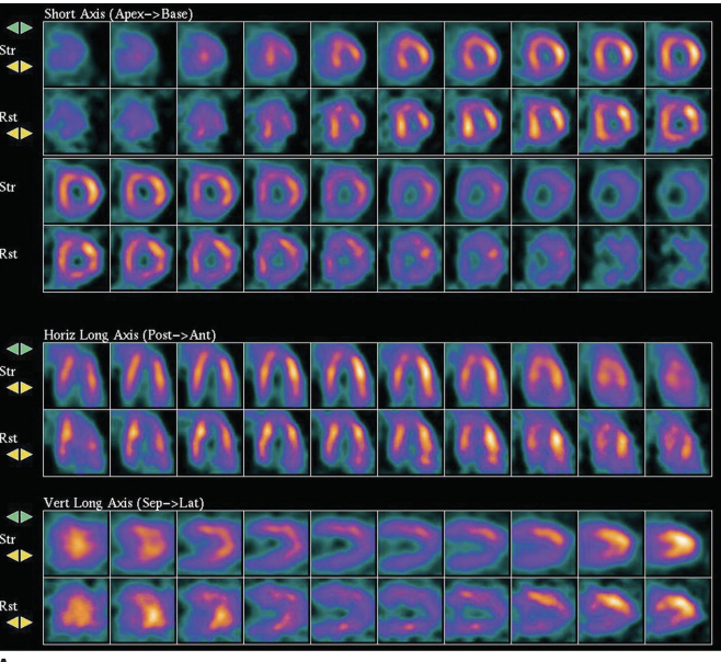
Q

A 39-year-old female with a body mass index of 45 is being evaluated for intestinal bypass surgery. She has hypertension, diabetes, and markedly elevated cholesterol values. A pharmacologic stress SPECT MPI without attenuation correction is performed. The patient has severe chest pain during
pharmacologic stress but no ECG changes. The perfusion study is interpreted as normal. Due to the chest pain symptoms with vasodilator stress, the referring physician is skeptical of the results and wants an explanation. Based on the raw projection image and short-axis views, what is the most likely explanation for the interpretation?

A

Chest pain in a low risk patient without ECG changes is common with vasodilator stress test and should not be thought of as ischemia.

Rotational images show the entire heart covered by breast tissue. There is uniform breast tissue attenuation and no further work up required.

How well did you know this?
1
Not at all
2
3
4
5
Perfectly
14
Q

A 24-year-old male develops sharp sternal discomfort after heavy physical exercise. He is referred for an exercise stress SPECT MPI. He exercises for 15 minutes on the Bruce protocol without chest pain or ECG changes of ischemia. During image acquisition, the patient moved (top row of images) and these were motion corrected (second row) and compared to the rest images. Based on the perfusion images shown, what is the optimal next step for this patient’s management?

A

BULL SHIT
Defect (anteroseptal) corrected with motion correction.
Who the fuck ordered this study on a 24 year old.

How well did you know this?
1
Not at all
2
3
4
5
Perfectly
15
Q

An 85-year-old female with multiple prior infarctions and a coronary artery bypass graft (CABG) has worsening heart failure symptoms despite optimal medical management. She is referred for an SPECT MPI. Based on images, what is the best next method of management?

A

These images show extensive and severe areas of absent perfusion on the resting SPECT MPI involving the left anterior descending and right coronary artery territories with only the lateral wall showing perfusion. There is no evidence of ischemia. With this extensive amount of resting perfusion and the patient already on optimal medical management, PET assessment of viability using FDG imaging is a more sensitive test for identifying areas of the myocardium that may be hibernating and capable of regaining mechanical function if they can be successfully revascularized.

Coronary angiography in the absence of demonstration of hibernation is not likely to lead to a change in management and will not provide additive information.

How well did you know this?
1
Not at all
2
3
4
5
Perfectly
16
Q

A 46-year-old female is being evaluated for preoperative risk assessment. She is 5-feet 8-inch tall and weighs 434 pounds. She has diabetes, hypertension, and elevated lipids. She is referred for a pharmacologic 1-day rest/stress technetium-99m perfusion study without (A) and with CT attenuation correction (B). Based on Figure what is the correct diagnosis?

A

The uncorrected images (A) show a fixed inferior wall and apical defect. On the CT attenuation correction images, the inferior wall defect is not present, but there is still apical thinning. These changes are most consistent with a normal study in a challenging patient due to the large body mass index.

Typically in an obese female patient, there is partial covering of the anterior wall of the heart by breast tissue, which causes an anterior perfusion defect. In this patient, the breast was so large that it covered the entire heart giving a relatively uniform attenuation. The diaphragm however was elevated due to the increased abdominal pressure caused by the weight of the breasts and abdominal fat causing a severe wall defect.

With CT attenuation correction (B), the inferior wall was corrected due to the marked attenuation. The apical thinning is still present, and there was normal motion on the gated study suggesting it was apical thinning—a recognized variant. Typically with attenuation correction, the apex usually appears much thinner as the overrepresentation of counts due to close proximity throughout the 180-degree acquisition is corrected.