Identify the parasite. What is the site of infection?

Ascaris suum
small intestine
Identify this parasite of pigs that causes “milk spots.” How would you treat the pigs?

Ascaris suum
Treat & clean sows 2 weeks before farrowing, then again at weaning
Identify the parasite. What is its common name?

Ascaris suum
Pig roundworm
Identify this parasite of pigs. What is the common name? What are you likely to see in feces?

Strongyloides ransomi
Common name: threadworm
Embryonated eggs and L1 in feces
What is the site of infection for this pig parasite?

Strongyloides ransomi
Small intestine
L3 skin penetration by this parasite causes:

erythema
(Strongyloides ransomi)
What is the scientific name of the nodular worm pictured? What is its site of infection?

Oesophagostomum spp.
Large intestine
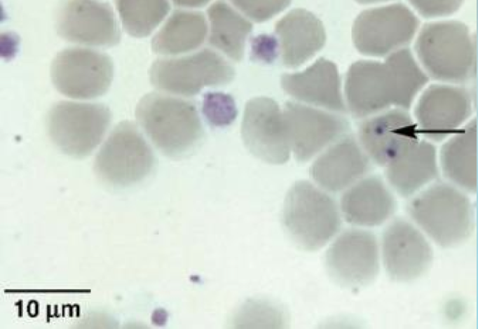
This parasite was identified in a blood smear of a cat that died after having pyrexia, anemia and icterus.
What is the parasite? To which taxonomic class does it belong?

Cytauxzoon spp.
Class Piroplasmidia
This organism parasitizes the distal parts of equine limbs.
Identify the parasite. Describe the mouthparts.

Chorioptes spp with rounded mouthparts
These organisms were seen in a canid fecal examination.
What are the parasites?

Trichuris, Capillaria and coccidian oocysts.
A dog has been regurgitating persistently. These eggs were observed in the fecal examination.
What is the parasite? Which diagnostic tool was used?

Spirocerca lupi.
Fecal floatation.
A dog was admitted to the hospital with diarrhea and erythema. These parasites were identified in fresh feces.
What is the parasite?

Larvae of Strongyloides stercoralis
These parasite eggs were identified in a fecal examination of a cat. What type of eggs are these?

Taenia eggs
This parasitic organism was noted in a fecal examination from a dog.
Identify the parasite.

Dipylidium caninum.
Several eggs are observed in the fecal examination of a dog.
Identify the parasite. Which diagnostic method was used?

Nanophyetus salmincola, recovered with the sedimentation method
Sheep and goats are parasitized by these organisms. What is the common name?

“Sheep tick”
Identify the parasite. What is its common name?

Argas spp.
Fowl tick
Identify this parasite of cats. What is the site of infection?

Otodectes cynotis. Ears.
This egg (130 µm) was identified in an ovine fecal examination. Identify the parasite. What is its common name?

Nematodirus spp.
Long neck bankrupt worm
This parasite was found on a dog. What is it? What is its common name?

Trichodectes canis.
Dog biting louse.
This parasite was identified in the fecal examination of cattle grazing in a marsh. Clinical signs include edema, bottlejaw and anemia.
Identify the parasite. Which diagnostic method was used?

Fasciola hepatica egg.
Sedimentation
Identify this parasite of dogs. What is the site of infection?

Demodex canis
Hair follicles and sebaceous glands.
Identify this avian parasite. What is its common name?

Cimex spp.
Bedbug, bird bug, bat bug
This parasite infects swine and is 150 µm in size.
Identify the parasite. What is its key clinical sign?

Balantidium spp.
Dystentery & diarrhea.
