imagens Flashcards

(46 cards)

1
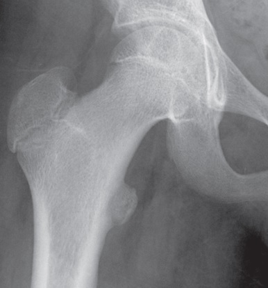
Q

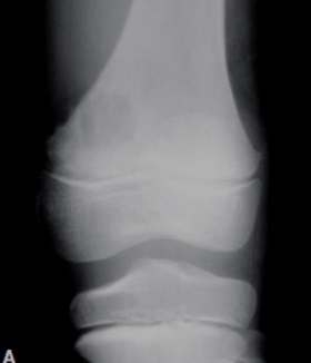
Qual diagnóstico?

A

Lesão epifisária excêntrica
Fise aberta

dx: condroblastoma

How well did you know this?
1
Not at all
2
3
4
5
Perfectly
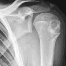
2
Q

Qual diagnóstico?

A

Lesão na apófise
Fise aberta

Dx: Condroblastoma

How well did you know this?
1
Not at all
2
3
4
5
Perfectly
3
Q

Qual diagnóstico?

A

Tela de galinheiro

Dx: condroblastoma

How well did you know this?
1
Not at all
2
3
4
5
Perfectly
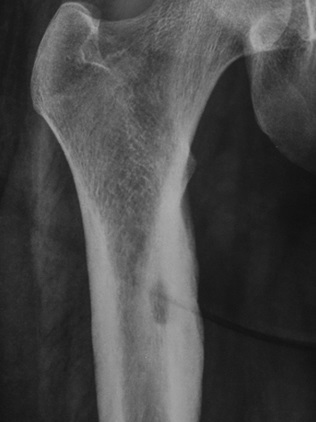
4
Q

Qual o diagnóstico?

A

Lesão epifisária excêntrica
Fise aberta

Dx: condroblastoma

How well did you know this?
1
Not at all
2
3
4
5
Perfectly
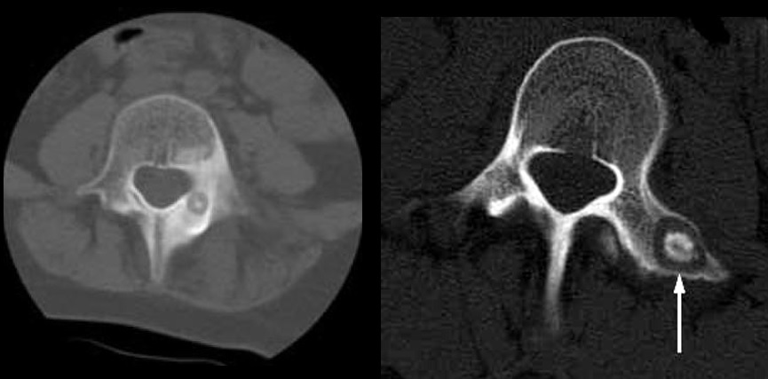
5
Q

Qual diagnóstico?

A

Projeção óssea com cortical contínua

Dx: Osteocondroma

How well did you know this?
1
Not at all
2
3
4
5
Perfectly
6
Q

Deformidade de Bassel-Hagen é comum em qual patologia?

A

Exostose múltipla hereditária (osteocondroma poliostótico)

How well did you know this?
1
Not at all
2
3
4
5
Perfectly
7
Q

Qual diagnóstico?

A

Calcificação intralesional
Aspecto de pipoca

dx: Condroma

How well did you know this?
1
Not at all
2
3
4
5
Perfectly
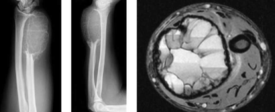
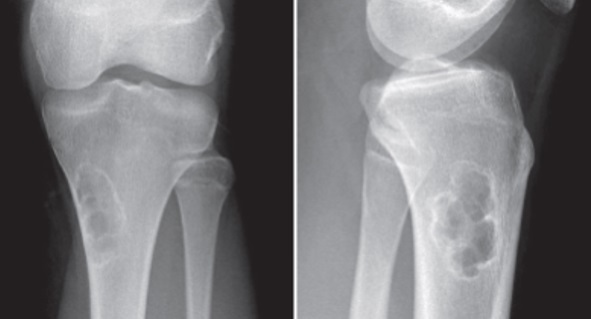
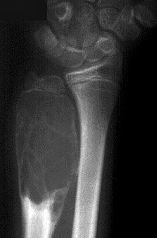
8
Q

Qual o diagnóstico?

A

Lesão lítica, com cortical insuflada e foco de calcificação interna

dx: Encondroma

How well did you know this?
1
Not at all
2
3
4
5
Perfectly
9
Q

Qual diagnóstico?

A

Encondromatose múltipla

Dx: Doença de Ollier

How well did you know this?
1
Not at all
2
3
4
5
Perfectly
9
Q

Qual diagnóstico?

A

Encondromatose múltipla

Dx: Doença de Ollier

How well did you know this?
1
Not at all
2
3
4
5
Perfectly
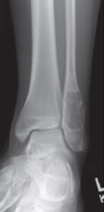
10
Q

Qual diagnóstico?

A

Lesão lítica na cortical espessada

dx: Osteoma osteóide

How well did you know this?
1
Not at all
2
3
4
5
Perfectly
11
Q

Qual diagnóstico?

A

Nidus < 1,5

Dx: osteoma osteóide

How well did you know this?
1
Not at all
2
3
4
5
Perfectly
11
Q

Qual diagnóstico?

A

Nidus < 1,5 cm

Dx: osteoma osteóide

How well did you know this?
1
Not at all
2
3
4
5
Perfectly
12
Q

Qual diagnóstico?

A

Lesão litica, bordas bem definidas, ,metafisária excêntrica

dx: Osteoblastoma
* ** mas pode ser um cisto ósseo aneurismático

How well did you know this?
1
Not at all
2
3
4
5
Perfectly
13
Q

Qual o diagnóstico?

A

Lesão lítica metafisária expansiva
Osso imaturo

dx: COA
* ** geralmente a lesão é excêntrica, enquanto COS é central

How well did you know this?
1
Not at all
2
3
4
5
Perfectly
14
Q

Qual o diagnóstico?

A

Lesâo lítica, diafisária, central
Osso imaturo

dx: COS
* ** acomete metáfise e diáfise central

How well did you know this?
1
Not at all
2
3
4
5
Perfectly
15
Q

Qual o diagnóstico?

A

RNM presença de septações intralesionais e nivel de fluido (sinal dupla densidade)

dx: COA

How well did you know this?
1
Not at all
2
3
4
5
Perfectly
16
Q

Qual diagnóstico?

A

Lesão litica do calcâneo, borda bem delimitada

dx: COS

How well did you know this?
1
Not at all
2
3
4
5
Perfectly
17
Q

Qual sinal e diagnóstico?

A

Sinal da folha caida

Patognomônico COS com fratura da cortical

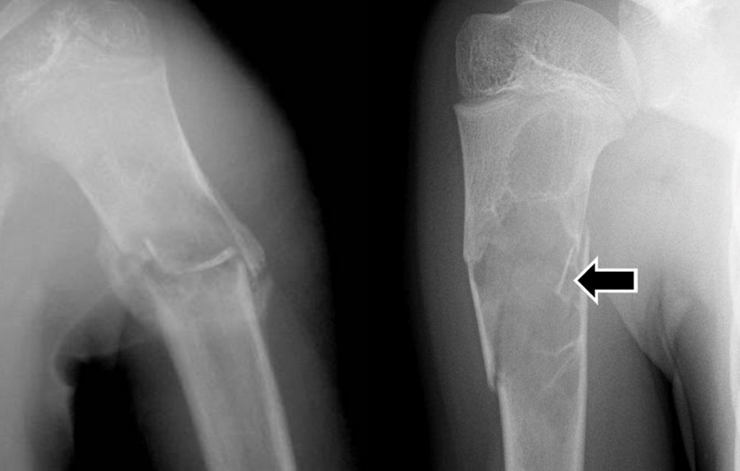
18
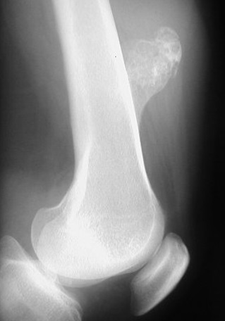
Q

Qual o diagnóstico?

A

Lesão lobulada, metafisária excêntrica

dx: Fibroma não ossificante

19
Q

Qual o diagnóstico?

A

dx: Desmoide cortical

* ** só acredita: lesão postero-medial (reação a tração do adutor magno)

20
Q

Qual o diagnóstico?

A
Lesão litica, expansiva, excêntrica (parece COA)
Osso maduro (não parece mais COA)

dx: Histocitoma fibroso benigno

21
Q

Qual diagnóstico?

Imagem C: deformidade característica da evolução da doença

A

Lesão com margem esclerótica = solicitar cintilografia para estudo da real extensão da doença
Imagem C= deformidade em cajado de pastor

dx: Displasia fibrótica

22
Q

Qual diagnóstico?

A

Lesão litica intracortical

dx: displasia osteofibrótica (doença de Campanacci)

23
Qual diagnóstico?
Lesão lítica, acometimento epifisário Osso maduro dx: TCG
24
Qual diagnóstico?
Lesão lítica, expansiva com acometimento da epifise Osso maduro Dx: TCG
25
Qual o diagnóstico?
Lesão lítica, acometimento epifisário osso maduro RNM: com expansão em partes moles Dx: TCG
26
Qual o diagnóstico?
Lesão craniana em sal e pimenta dx: MM
26
Qual o diagnóstico?
Lesão craniana em sal e pimenta dx: MM
27
Qual o diagnóstico?
MM
28
Qual o diagnóstico?
Pico monoclonal de gama-globulina dx: MM
29
Qual diagnóstico?
Vertebra plana de Calvé T12 e L2 dx: granuloma eosinofilico * ** acomete mais a coluna torácica
30
Qual o diagnóstico?
Lesão lítica, cêntrica. circundado por borda densa lesão periosteal + exoftalmia + diabetes insipidus dx: síndrome de Hand-Schuller-Christian * ** geralmente são lesões craniais que acompanha a síndrome * ** Lesões ósseas isolada = granuloma eosinofilico
31
Classificação Gledhill-Robert | Qual os diagnósticos diferenciais?
1B: Lesão lítica com borda esclerótica bem definida na região metafisária central - Abs Brodie 2: Lesão lítica metafisária excêntrica - Granuloma eosinofílico / Osteossarcoma 3: Lesão cortical diafisária/ Hiperostose cortical sem reação periosteal ou reação periosteal localizada - Osteoma osteóide 4: Lesão com reação periosteal, sem definir lesão óssea - Ewing 5: Radiolucência central na epífise - Condroblastoma 6: Acometimento coluna - discite / TB
32
Qual a classificação?
Classificação Cierny e Mader para osteomielite crônica 1- medular 2- superficial 3- localizada (sequestro ósseo) 4- difusa (I, II ou III com instabilidade antes ou depois do desbridamento)
33
Qual o diagnóstico?
Osso espesso e distendido porem se abscesso ou sequestro dx: Osteomielite esclerosante de Garré * ** Clinica discreta, bactéria de baixa virulência
34
Qual diagnóstico?
Áreas radiolucente em região ilíaca esquerda Artrose Espessamente cortical *** Áreas líticas e blásticas dx: doença de Paget
35
Qual o diagnóstico?
Exsudatos algodonosos no crânio dx: Doença de Paget
36
Qual diagnóstico?
Lesões líticas e blásticas Curvatura da tíbia * pode ser encontrado curvatura do fêmur também dx: doença de Paget
37
Qual diagnóstico?
Encunhamento do corpo vertebral dx: neurofibromatose
38
A escoliose torácica é comum na
Neurofibromatose I
39
Qual diagnóstico? E malignização?
Neurofibromatose | 1-4% maligniza para Neurofibrossarcoma
40
Qual diagnóstico?
Lesão lítica e blástica, transição metafisária e diafisária, com reação periosteal em raios de sol e triangulo de Codman Osso imaturo dx: Sarcoma de Ewing
41
Qual o diagnóstico?
Lesão lítica e blástica, transição metafisária e diafisária, com reação periosteal em casca de cebola Osso imaturo dx: Sarcoma de Ewing
42
Qual o diagnóstico?
PAS + dx: Sarcoma de Ewing
43
Como é imunoistoquimica para diferenciar linfoma de sarcoma de Ewing?