imagens Flashcards

(42 cards)

1
Q
A

Síndrome do dedo azul

How well did you know this?
1
Not at all
2
3
4
5
Perfectly
2
Q
A

IVC

How well did you know this?
1
Not at all
2
3
4
5
Perfectly
3
Q
A

Úlcera por complicação da IVC

How well did you know this?
1
Not at all
2
3
4
5
Perfectly
4
Q
A

TVP

How well did you know this?
1
Not at all
2
3
4
5
Perfectly
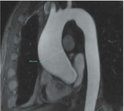
5
Q
A

Aneurisma fusiforme da Aorta torácica ascendente

How well did you know this?
1
Not at all
2
3
4
5
Perfectly
6
Q
A

Aneurisma Fusiforme de Aorta Abdominal

How well did you know this?
1
Not at all
2
3
4
5
Perfectly
7
Q

Pulso
carotídeo

A

→ Identifica-se a cartilagem tireóidea,
e desloca a esquerda/direita no
triângulo carotídeo;

How well did you know this?
1
Not at all
2
3
4
5
Perfectly
8
Q

Pulso radial

A

→ Artéria radial situa-se entre a
apófise estilóide do rádio e o tendão
dos flexores

How well did you know this?
1
Not at all
2
3
4
5
Perfectly
9
Q

Pulso
femoral

A

→ Divide-se o ligamento inguinal em 3
e palpa-se o pulso na transição do terço
médio para o terço superior. Entre a
espinha ilíaca ântero-superior e
tubérculo/sínfise púbico;
→ Região inguinocrural;
→ Triângulo de Scarpa.

How well did you know this?
1
Not at all
2
3
4
5
Perfectly
10
Q

Pulso
poplíteo

A

→ Joelho em 90°, polegares na
tuberosidade da tíbia, dedos em garra
na região medial da fossa poplítea.

How well did you know this?
1
Not at all
2
3
4
5
Perfectly
11
Q

Pulso tibial
posterior

A

→ A artéria tibial posterior é palpada na
região retromaleolar interna;
→ Palpada entre o primeiro e segundo
tendões dorsais do pé

How well did you know this?
1
Not at all
2
3
4
5
Perfectly
12
Q

Pulso
pedioso

A

→ A artéria pediosa é palpada entre o
primeiro e o segundo metatarsianos;
→ Palpado lateralmente ao tendão do
extensor longo do hálux

How well did you know this?
1
Not at all
2
3
4
5
Perfectly
13
Q
A

CEAP 1

How well did you know this?
1
Not at all
2
3
4
5
Perfectly
14
Q
A

CEAP 2

How well did you know this?
1
Not at all
2
3
4
5
Perfectly
15
Q
A

CEAP 3

How well did you know this?
1
Not at all
2
3
4
5
Perfectly
16
Q
A

CEAP 4A

How well did you know this?
1
Not at all
2
3
4
5
Perfectly
25
26
27
Amputação em guilhotina
28
Amputação de pé
29
Pé diabético com úlcera
30
Problema em circulação arterial
31
Pé chato/De charcot
32
Úlcera arterial com necrose
33
LIPODERMOESCLEROSE
34
Pé cianótico por Síndrome Compartimental
35
Cianose fixa evoluindo para necrose
36
Flegmasia do MMSS
37
Varizes com edema
38
Ferimento por arma de fogo
39
Veia cava inferior
40
Dermatite Ocre
41
Pés de lagosta
42
Úlcera varicosa