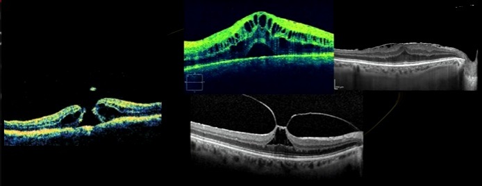
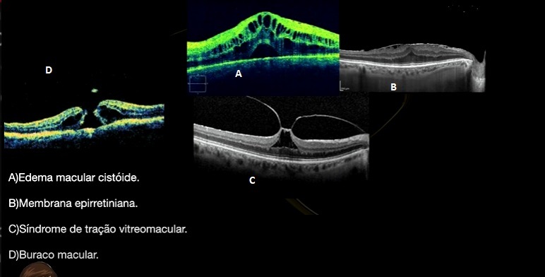
o que cada figura?

doenças que faz VVPP



QUAL ALTERAÇOES EM CADA FIGURA?


QUAIS DOS 4 OCT É COMPATIVEL COM A RETINO?


QUAL PARTE DA VITRE?

PEELING DE MEMB LIMITANTE INTERNA FAZ NO BURACO MACULAR

DIALISE

triade do DR regmatogenico

quando tratar as degenerações perifericas da retina?

achados de DVP

retinosquise
