IMAGERIE Flashcards

(1 cards)

1
Q

Un patient de 78 ans, consulte pour céphalées rapidement progressives depuis 1 semaine avec vomissements matinaux en jet.
Il présente également une vision double et sa céphalée s’aggrave fortement à la position allongée.
Vous suspectez fortement une HTIC et réalisez une IRM cérébrale que voici.

Quels sont les diagnostics à évoquer devant cette image ? + Description

A

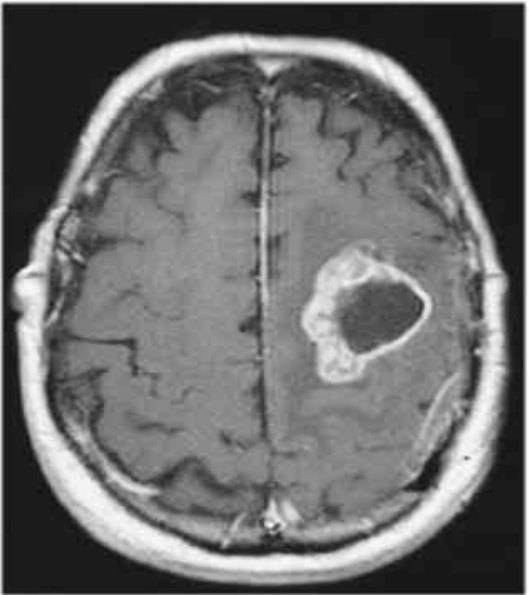
ici, nous retrouvons une IRM cérébrale en coupe FLAir (Séquence antianatomique comme un T2 et suppression du signal du LCR (ventricules et sillons corticaux)) qui montre une masse :

Étape 1 : caractériser la masse

Gauche
Centre en hyposignal probablement nécrotique
Contours en hypersignal avec oedème péri-lésionnel
Ces caractéristiques sont celles d’une masse avec un aspect en cocarde (image ovalaire à centre en hyposignal et contours en hypersignal)

Étape 2 : connaitre les causes à évoquer devant une image en cocarde :

  • Glioblastome
  • Métastase cérébrale
  • Abcès cérébral
  • Lymphome
  • Toxoplasmose
    Attention cette liste n’est pas exhaustive mais ce sont les principales causes à évoquer devant ce type d’image.
How well did you know this?
1
Not at all
2
3
4
5
Perfectly