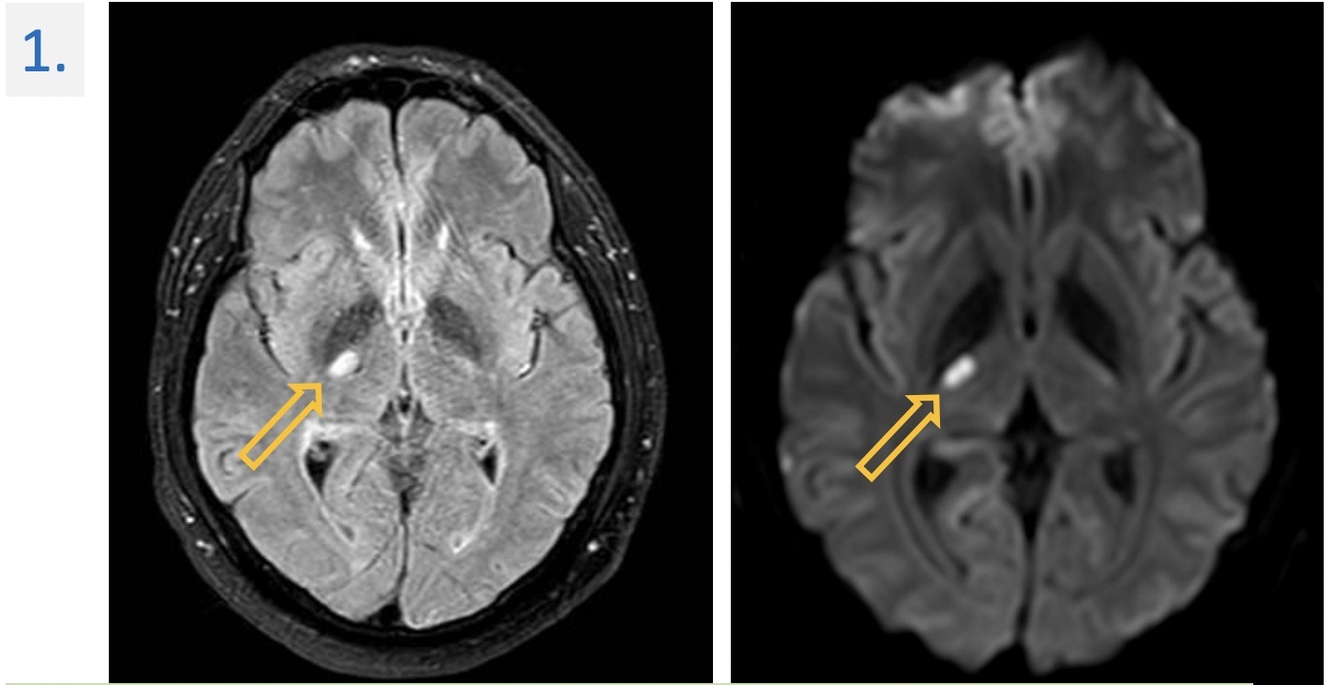
radiologic sign
diagnosis

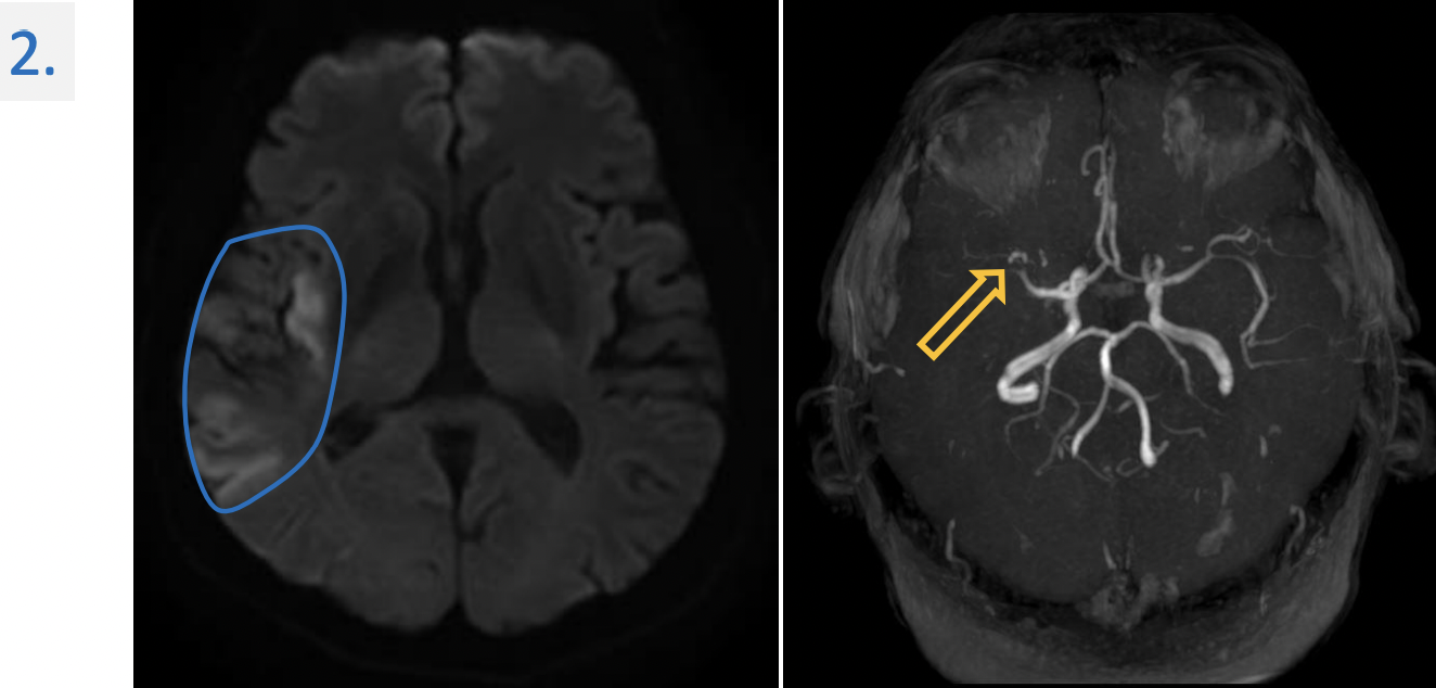
2.

region
radiologic sign
diagnosis

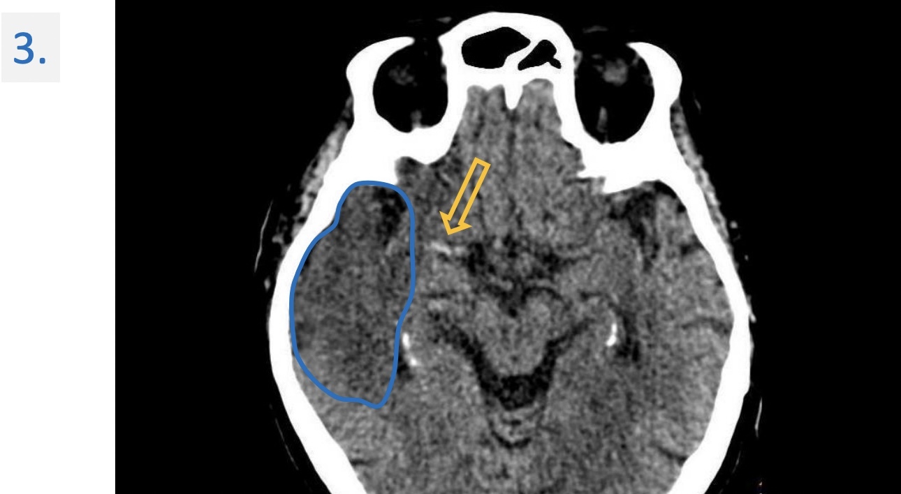
4.

4.
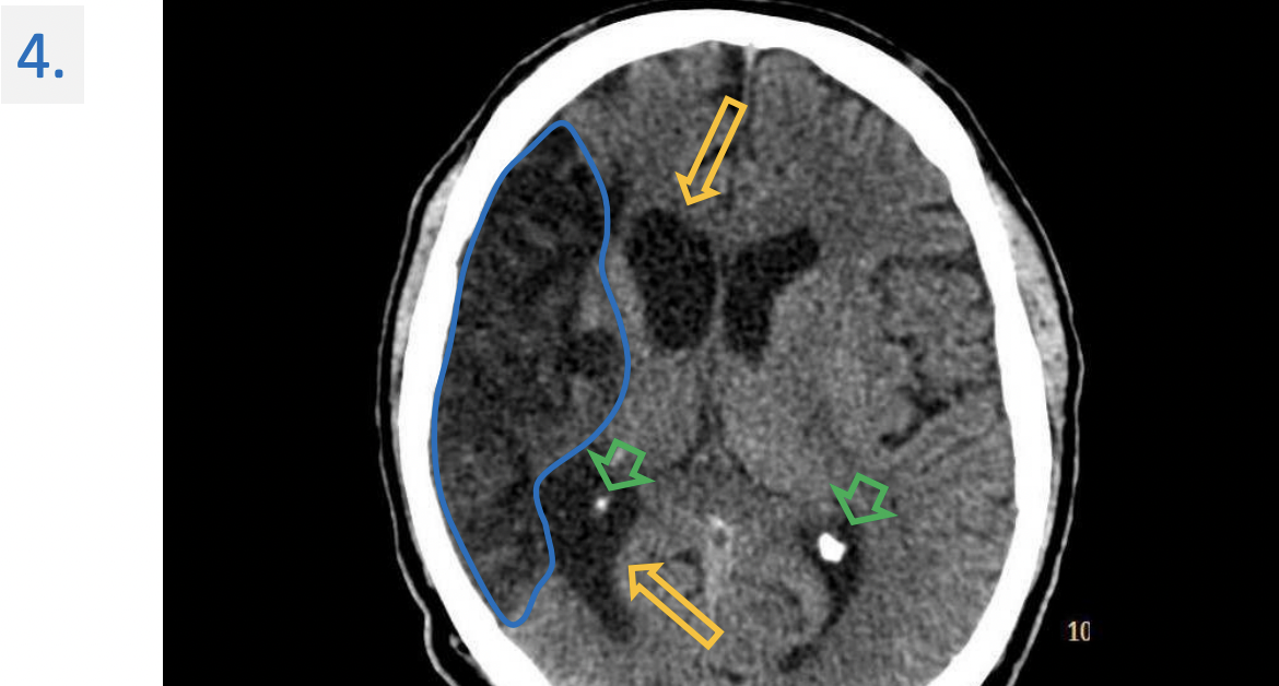
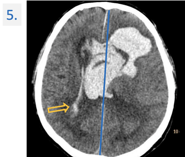
5.

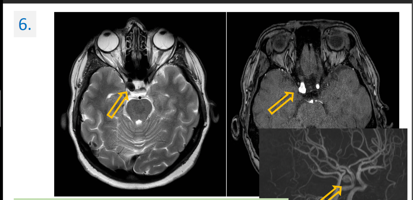
6.
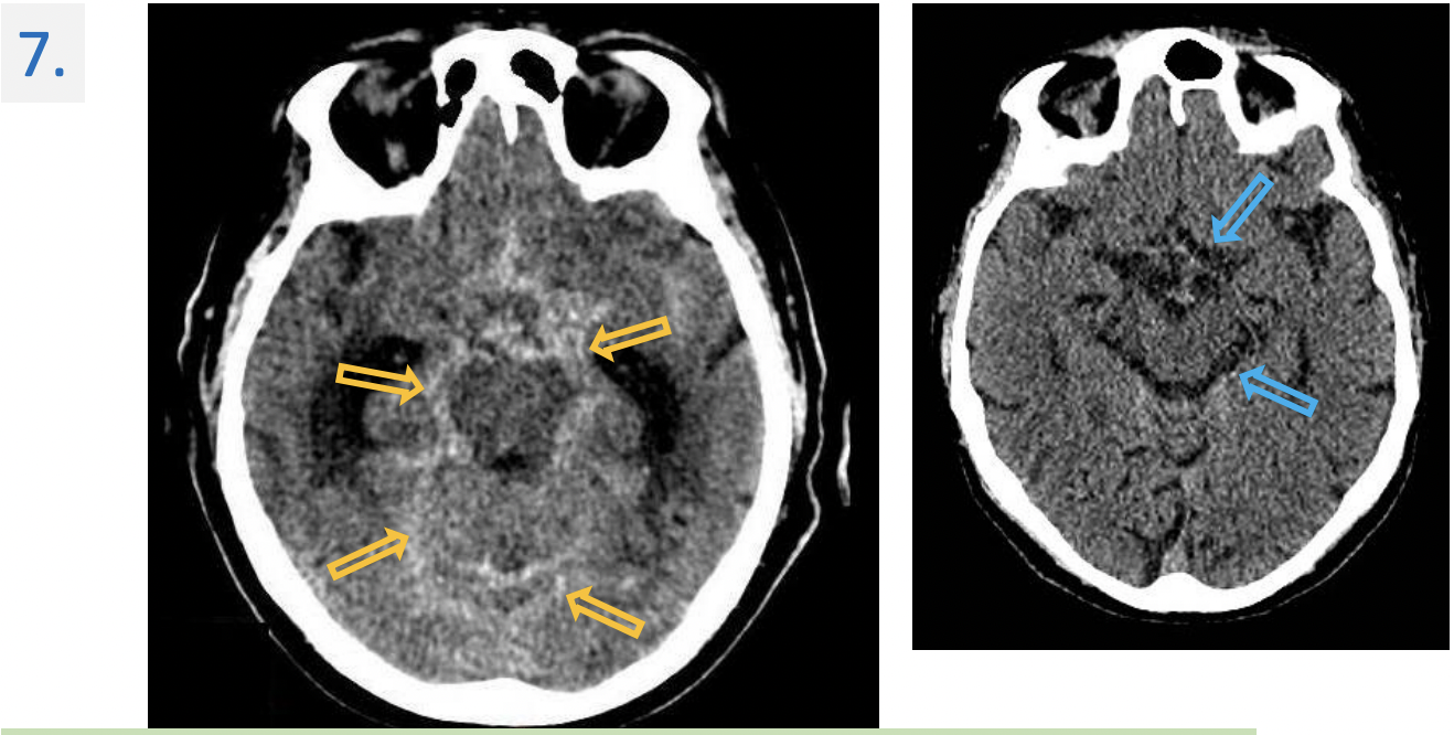
7.

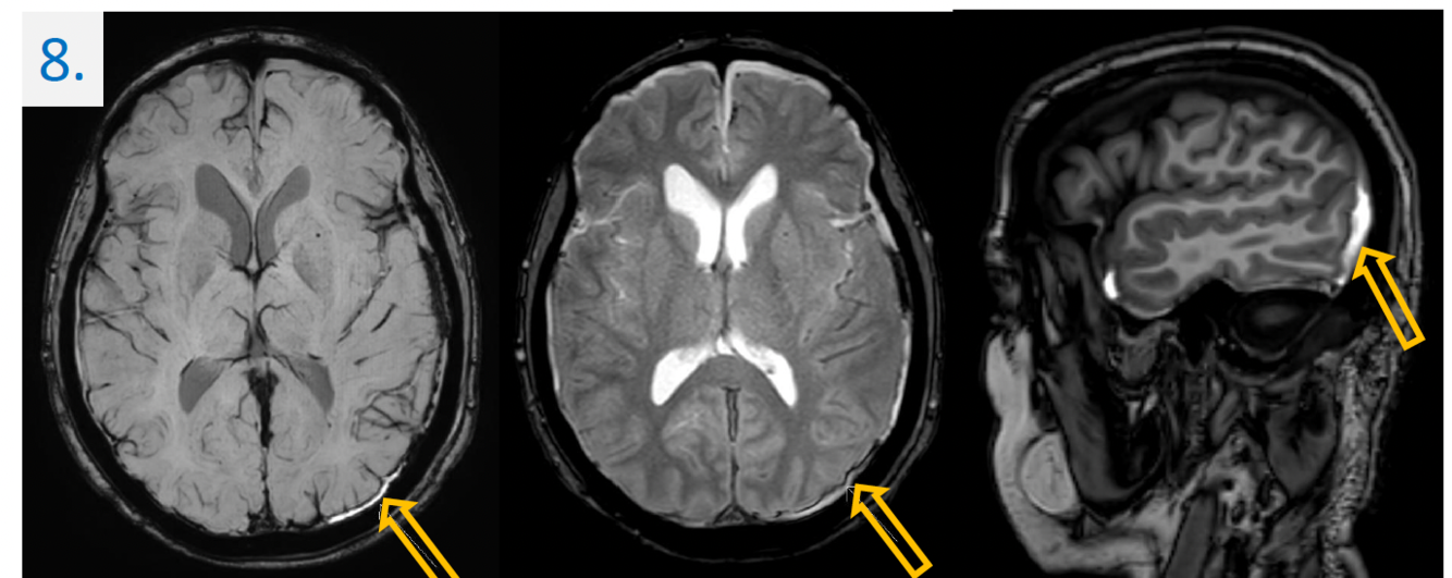
8.
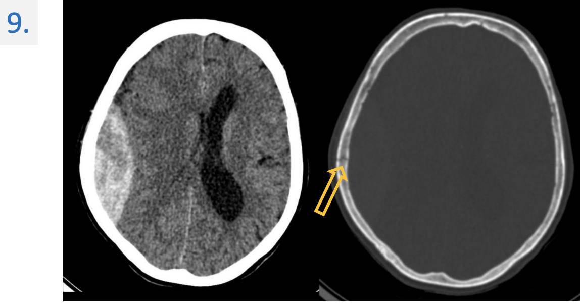
9.

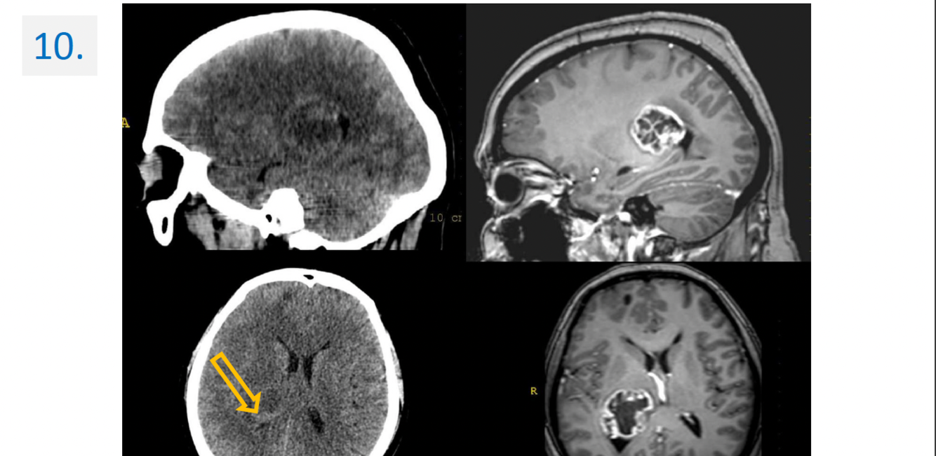
10.
10.
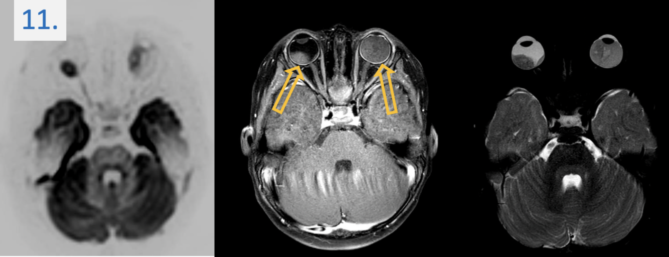
11.

12.
13

14
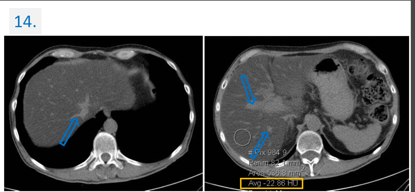
14.
Modality:
Noncontrast CT
Region:
Upper abdomen, axial views
Radiologic sign:
-Diffusely & homogenously decreased density (cca. -20 HU) of the liver
(normal density is cca. 50-60 HU).
-The vessels (blue arrows) → denser -relative to the liver parenchyma-
Diagnosis:
Steatosis Hepatis (Fatty liver)
15

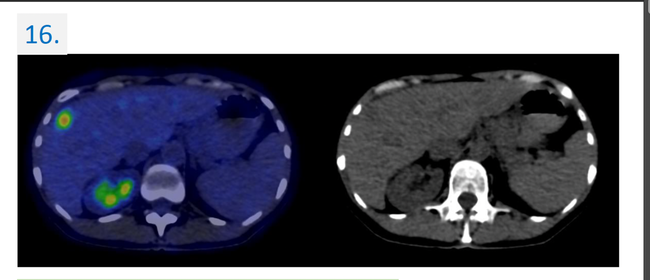
16
Modality:
FDG PET-CT (right panel: non-contrast CT) → 18(F)-fluoro-deoxy-glucose
Region:
upper abdomen, axial view
Diagnosis:
Malignant tumor → colorectal cc. metastasis → liver
16.
17

18
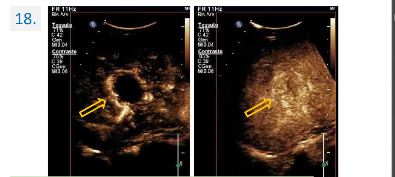
Region:
liver right subcostal view
Diagnosis:
Hepatic hemangioma
19

21

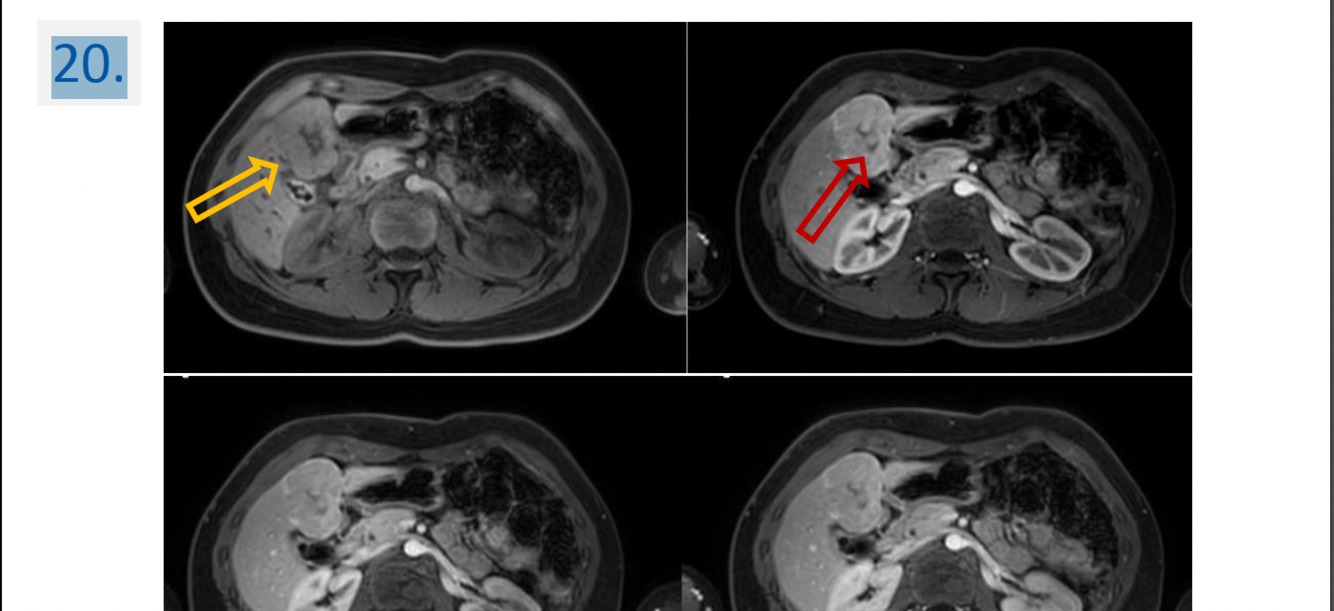
20
Modality:“mDIXON” dynamic contrast-enhanced MR after iv. gadolinium
(noncontrast, arterial phase, portal phase, venous phase)
Region:
upper abdominal MR study (axial view)
Diagnosis:
hepatic focal nodular hyperplasia (FNH)
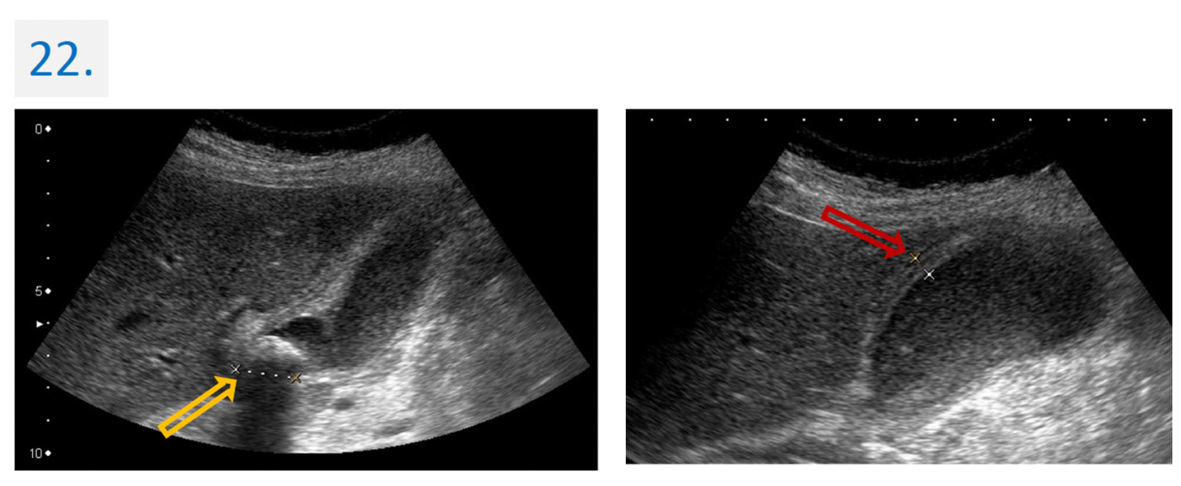
22
Diagnosis:
Acute cholecystitis with gallstone
23

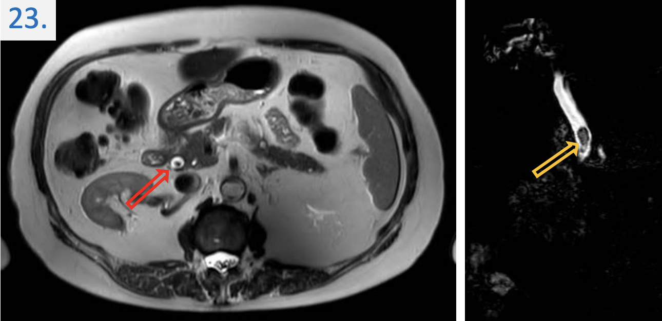
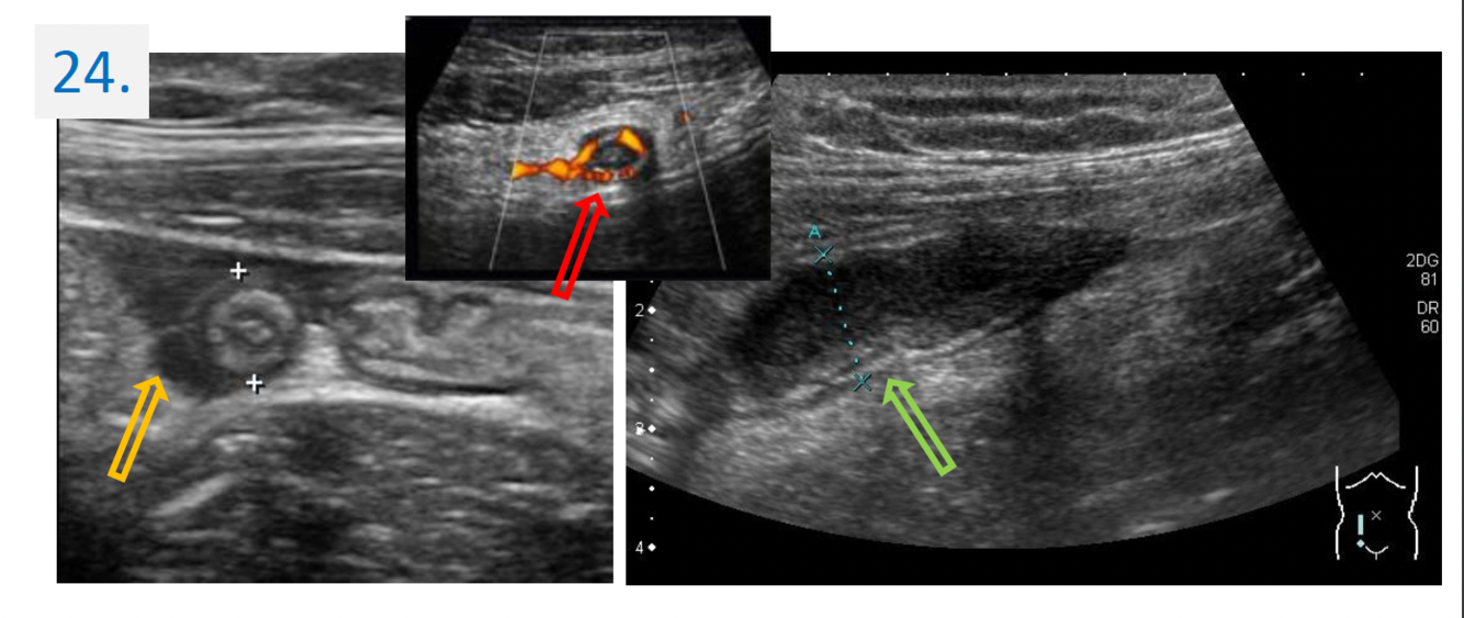
24
Diagnosis:
Acute appendicitis