Images Flashcards

(4 cards)

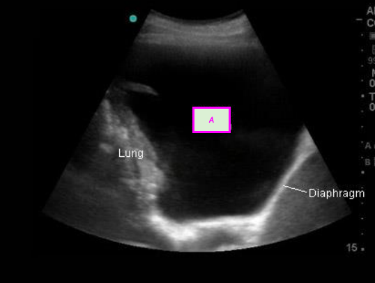
1
Q

This image shows an ultrasound of the lung.

What is A? [1]

A

Pleural effusion

How well did you know this?
1
Not at all
2
3
4
5
Perfectly
2
Q

This image shows an ultrasound of the lung.

What is A? [1]

A

Pleural effusion

How well did you know this?
1
Not at all
2
3
4
5
Perfectly
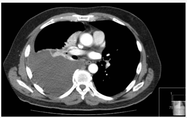
3
Q

This image shows a chest CT of the lungs. What pathology is depicted? [1]

A

Pleural effusion

Lung border is white bit

How well did you know this?
1
Not at all
2
3
4
5
Perfectly
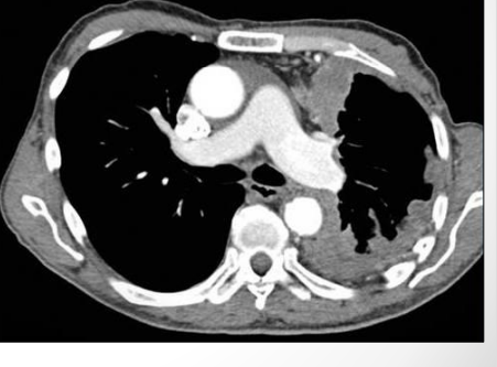
4
Q

This image shows a chest CT of the lungs. What pathology is depicted? [1]

A

Mesothelioma

How well did you know this?
1
Not at all
2
3
4
5
Perfectly