Images Flashcards

(107 cards)

1
Q
A

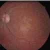
Hollenhorst plaque
- Cholesterol
- associated with atherosclerosis and risk for stroke
- usually seen at arterial bifurcations

How well did you know this?
1
Not at all
2
3
4
5
Perfectly
2
Q
A
How well did you know this?
1
Not at all
2
3
4
5
Perfectly
3
Q
A

Toxocariasis
* parasitic nematode Toxocara canis

How well did you know this?
1
Not at all
2
3
4
5
Perfectly
4
Q
A

RPE defect
** window defect, appears as yellow-white. Well demarcated circular lesion present in mid-peripheral retina
** benign

How well did you know this?
1
Not at all
2
3
4
5
Perfectly
5
Q
A

Posterior embryotoxon
*anteriorly displaced Schwalbe line
* no treatment at this time
* RTC: annual for CEE

How well did you know this?
1
Not at all
2
3
4
5
Perfectly
6
Q

S/S red, itchy eyes with swollen eyelids, chemosis
Idiopathic

A

Angioedema
* mast cell degranulation, leading to increased vascular permeability which causes fluid and proteins to leak into subcutaneous spaces

How well did you know this?
1
Not at all
2
3
4
5
Perfectly
7
Q
A

Myelinated nerve fiber layer
* white feathery margins typically extending from the optic disc

How well did you know this?
1
Not at all
2
3
4
5
Perfectly
8
Q
A

Myelinated nerve fiber layer
* white feathery margins typically extending from the optic disc

How well did you know this?
1
Not at all
2
3
4
5
Perfectly
9
Q
A

Bergmeister
*remnants of embryological posterior hyaloid artery that failed to atrophy
(Hyaloid artery supplies blood to developing eye during fetal development)

How well did you know this?
1
Not at all
2
3
4
5
Perfectly
10
Q

Patient wears silicone hydrogel CLs

A

Mucin balls
* occur with silicone hydrogel lenses that are too flat
* mechanical rubbing of CL stimulates goblet cells to produce extra mucin which form balls that embed into corneal epithelium

How well did you know this?
1
Not at all
2
3
4
5
Perfectly
11
Q

*ignore black lesion

A

Terrien marginal degeneration
* bilateral superior corneal thinning
* blur from high ATR astigmatism
* men in their 30’s
* longstanding may see pseudopterygium
* tx: correction, if unsuccessful tectonic or penetrating ketatoplasty

How well did you know this?
1
Not at all
2
3
4
5
Perfectly
12
Q
A

Corneal farinata
* small white specs in the interpalpebral zone of posterior stroma
* bilateral
* no tx required

How well did you know this?
1
Not at all
2
3
4
5
Perfectly
13
Q
A

Congenital zonular cataract

How well did you know this?
1
Not at all
2
3
4
5
Perfectly
14
Q

What are the layers of the choroid and bruch’s?

A

Make sure you know the layers!

How well did you know this?
1
Not at all
2
3
4
5
Perfectly
15
Q
A

Fibrous disciform scar in exudative AMD
* formed by formation of choroidal neovascular membrane

How well did you know this?
1
Not at all
2
3
4
5
Perfectly
16
Q
A

Transillumination defects seen in patient with tyrosinase-negative albinism

How well did you know this?
1
Not at all
2
3
4
5
Perfectly
17
Q
A

Subconjunctival hemorrhage
* painless, sectoral hemorrhage of conjunctival vessel into subconjunctival space
* clear demarcation line at the limbus of cornea

How well did you know this?
1
Not at all
2
3
4
5
Perfectly
18
Q
A

Butterfly macular dystrophy
* pattern dystrophy
* yellow/gray deposits within macular region in a triadiate pattern
* treatment not necessary and prognosis good
* autosomal dominant, 2nd to 5th decades of life

How well did you know this?
1
Not at all
2
3
4
5
Perfectly
19
Q
A
How well did you know this?
1
Not at all
2
3
4
5
Perfectly
20
Q
A

Conjunctival melanocytoma
* slow growing black lesion of conjunctiva
* rare
* mass not freely movable over sclera and tends to be homogenous in color and lack cystic spaces

How well did you know this?
1
Not at all
2
3
4
5
Perfectly
21
Q
A

Advanced glaucoma visual field loss
* very small island of central vision left
* patient is considered legally blind due to there being less than 20 degrees of vision in horizontal meridian of the better seeing eye

How well did you know this?
1
Not at all
2
3
4
5
Perfectly
22
Q
A

Lens vacuoles
* view with retro illumination
* pooling of water in lens due to aggregation of crystalline proteins which are less water-soluble now
* due to aging, cataract formation, diabetes

How well did you know this?
1
Not at all
2
3
4
5
Perfectly
23
Q
A

Left homonymous hemianopsia
* lesion in right visual pathway distal to optic chiasm
* respects vertical midline

How well did you know this?
1
Not at all
2
3
4
5
Perfectly
24
Q

What is this VF defect? And where is the lesion located?

A

Left homonymous hemianopsia
* lesion in right visual pathway distal to optic chiasm
* respects vertical midline

How well did you know this?
1
Not at all
2
3
4
5
Perfectly
25
Pt has keratoconus
Fleischer ring * epithelial iron deposit at the surrounding base of the cone in keratoconus * best seen under slit lamp with blue light
26
Non-ischemic central retinal vein occlusion * caused by formation of thrombus near or at the lamina cribrosa leading to compression of central retinal vein by CRA which impedes blood flow return * blood accumulates causing endothelial cell damage leading to formation of a thrombus leading to retinal hemorrhages
27
Preretinal hemorrhage (boat shaped) * blood trapped between vitreous cortex and ILM * associated with PDR * caused by blood loss from neovascularization of disc or elsewhere resulting in entrapment of blood between posterior aspect of hyaloid and retinal surface
28
Epithelial ingrowth * proliferation of epithelial cells at the flap interface after LASIK * flap may need to be relifted and cells removed if interfering with vision
29
Pseudoexfoliation syndrome * white flaky material deposits along pupillary margin * unilateral * transillumination defects limited to iris sphincter * material can accumulate in TM causing increase in IOP —> glaucoma
30
Full thickness macular hole
31
Supernumerary puncta * more than 1 punctum
32
Large mutton fat keratic precipitates * granulomatous anterior uveitis
33
Toxoplasmosis *Inactive infection * Protozoa: Toxoplasma gondii * contaminated raw meat or cat feces ingestion
34
Is this an active infection?
No, it is inactive toxoplasmosis * old retinal lesions appear as circular areas of chorioretinal atrophy surrounded by pigmentation * generally stable * no tx is necessary
35
Visuoscopy; what type of eccentric fixation does this patient posses?
3 prism diopters nasal and 1 prism diopter superior eccentric fixation *each mark is 1 PD, count from center of target and the direction is opposite
36
EBMD (epithelial basement membrane dystrophy) * aka map-dot-fingerprint dystrophy or cogan microcystic dystrophy * fibrillation protein deposits between bowman’s and epithelial basement membrane
37
What congenital retinal vascular anomalies is apparent?
Cilioretinal artery * anomalous direct or indirect branch of posterior ciliary arteries * emerge from temporal aspect of optic disc * positive because allows for secondary route of blood flow in cases of CRAO
38
Corneal topography I
Keratoconus *asymmetrical figure “8” * high K values >48 = steep
39
Herpes simplex virus keratitis * dendrites terminal end bulbs that stain with rose bengal * main portion of dendrites stain with sodium fluorescein
40
S/S; acute, painless, unilateral vision loss
CRVO * caused when central retinal artery compresses central retinal vein causing blood flow to be impeded and forms a thrombus which leads to an occlusion
41
Pt was welding without proper eye protection
42
Image 1? Image 2? What condition does this patient have?
1. Krukenberg spindle 2. Transillumination defects Patient has PDS (pigment dispersion syndrome) —-> lead to pigmentary glaucoma
43
Neovascular AMD * left untreated can lead to leakage of blood and protein under macula, scarring from abnormal blood vessels eventually cause irreversible damage to retinal photoreceptors leading to rapid vision loss
44
Amelanotic choroidal melanoma * eye cancer where melanocytes in choroid proliferate but lose ability to produce pigment * amelanotic means without pigment
45
Retinal detachment * lesion is inferior nasal, patient will report phototopsias superior temporally
46
Retinal detachment
47
Lattice degeneration * ~1% will progress and lead to retinal detachment
48
14 month old Asian male “Eyes have become cloudy”
Primary congenital glaucoma * eye appears cloudy due to corneal edema secondary to high IOP * most common form of infantile glaucoma
49
39 WM, saxophonist Unilateral, Acute, painless loss of lower portion of vision
Valsalva retinopathy * one or more well- rounded or dumbbell shaped hemorrhages beneath the posterior hyaloid of vitreous or the internal limiting membrane
50
56 WF T2DM with A1c: 9.1% with FBG: 171 mg/dL
Severe non-proliferative diabetic retinopathy * CWS *hemes in all 4 quadrants But no neovascularization, venous beading or IRMA present
51
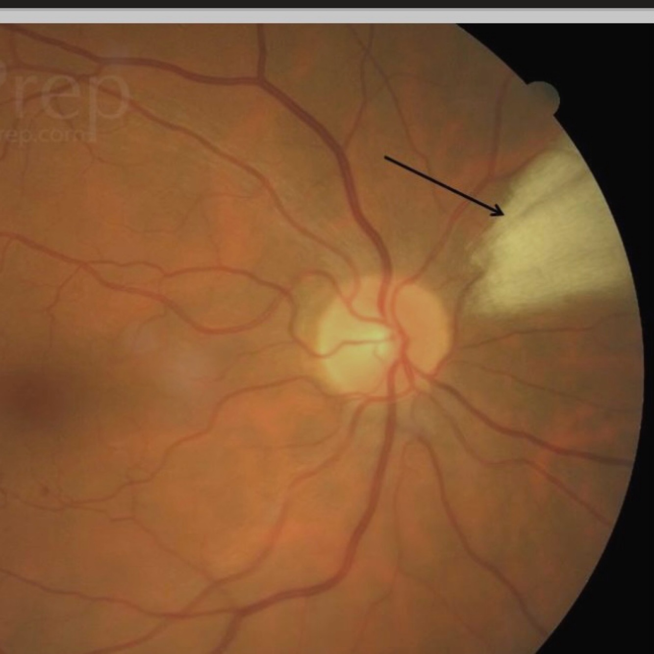
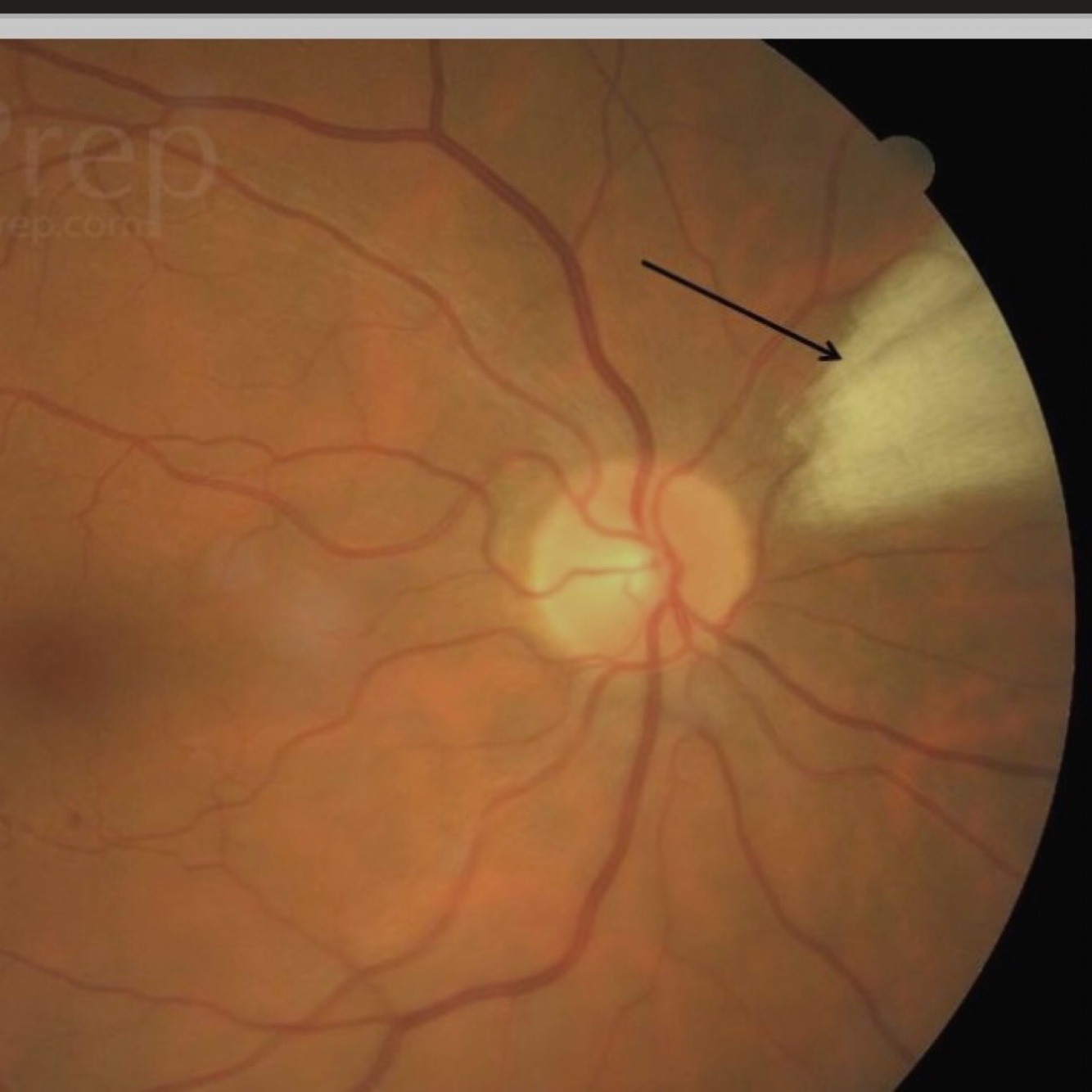
Optic pit * rare, congenital * unilateral * pit temporally * asymptomatic
52
Advanced primary open angle glaucoma * ONH damage. Retinal NFL defects * bilateral, asymmetrical
53
Fuch’s endothelial dystrophy *beaten metal appearance
54
50 AF Subjective Rx OD: -17.00 -1.25 x 090 OS: -15.00 -1.25 x 090
Degenerative myopia * vertically elongated optic nerves * Chorioretinal atrophy with temporal myopic conus * confirm dx with A-scan *normal Axial length is 22-25mm *abnormal >26 mm
55
Optic nerve melanocytoma (benign) * variant of melanocytic nevus * deep pigmented lesion on optic disc * congenital, non-hereditary
56
Plaquenil maculopathy
57
Choroideremia * X-linked recessive (females are carriers and do not display reduction in VA) * degeneration of RPE and choriocapillaris
58
Optic nerve drusen * optic nerve elevation and irregular disc margins *diagnostic imaging: B-scan (turn down gain to visualize high acoustic drusen) OCT imaging * no tx
59
White without pressure * seen in patients with axial elongation * most frequently seen inferior and temporally * mostly seen in AA pts
60
CHRPE * lacunae: areas of depigmentation within or around borders * flat with well-defined borders
61
Mutton fat keratic precipitates in pt with sarcoidosis *idiopathic inflammation *middle aged AA females * need ACE and chest x-ray (90% lung involvement, granulomas )
62
Y suture cataract
63
Retinitis pigmentosa * Bone spiculues *autosomal recessive
64
Presumed ocular histoplasmosis * peripapillary atrophy * atrophic histoplasmosis spots Histoplasmosis triad: PPA, punched out lesions, maculopathy)
65
Retinal hole with surrounding cuff of edema * caused by retraction of retina by vitreous, pulls a small piece of retinal tissue *operculum seen hovering in vitreous looks like a disc shaped floater, smaller than retina defect
66
Aniridia * autosomal dominant *majority of iris is lacking
67
Fundus flavimaculatus with geographic atrophy
68
69
70
Choroidal rupture *tear in choroid, brunch’s and RPE * associated with blunt ocular trauma * can cause CNVM
71
Cortical cataracts
72
Symblepharon * partial or complete adhesion between palpebral conj and bulbar conj * lower lid
73
MGD *frothy tear film *aka posterior blepharitis * caused by dysfunction of the sebaceous glands
74
75
76
77
Traumatic cataract * from blunt or penetrating ocular trauma, intraocular foreign body Or following cataract surgery * rosette cataract
78
Posterior synechiae *adhesions between posterior surface of iris and anterior capsule of crystalline lens * result of intra ocular inflammation
79
80
81
82
83
56 WF Cc: FBS, sandy, gritty feeling Gradual onset Watery discharge Similar episodes occurring over last few years
Superior limbic keratoconjunctivitis
84
BRAO
85
CRVO
86
Iris nevi * proliferation of benign melanocytes * can cause secondary glaucoma
87
Iris melanoma
88
31 WF, Cc: CL very uncomfortable, itchy eyes, ropy discharge, blurred vision, can only wear CL for a few hours
GPC Giant papillary conjunctivitis *large papillae on superior palpebral conjunctiva S/s: itching, stringy mucus, excessive movement on CL
89
55 year old white female
Birdshot choroidopathy * multiple, small ovoid creamy yellow-white spots (looks like a birdshot blast from a shotgun in the mid periphery) *spares the macula
90
Iridodyalisis * Iris tear from Iris root * caused by trauma/blunt force * large tear causes glare, photophobia and monocular diplopia * a lot of damage to TM can cause IOP to increased * gonio will show angle recession
91
ERM
92
VMT with partial thickness macular hole
93
Conjunctival nevus * unilateral * cystic spaces, can be freely moved over the underlying sclera * adjacent to limbal region or caruncular area
94
Wet AMD
95
Wet AMD
96
Polypoidal Choroidal Vasculopathy * associated with HTN * ICGA to view polyps
97
Pt with keratoconus
Acute corneal hydrops * cornea progressively thins to the extent that Descemet’s membrane ruptures
98
What chart is this? And what age range do you use this on to check VA?
Landolt C * most accurate VA in young children
99
What chart is this?
Allen figures * may overestimate or underestimate true VA in peds
100
What is top picture? What is the bottom picture?
1. Aponeurotic ptosis (high eyelid crease, LPS functional) 2. Congenital ptosis (no eyelid crease, LPS not functional)
101
What does this test assess?
How well a pt processes and integrates auditory and visual information *important for reading, speech perception and multitasking * helps assess visual processing disorders in kids with reading difficulties Average score is 100, 50th percentile
102
What does this testing assess?
Pt’s ability to coordinate visual perception with motor control (hand movements) * visual motor integration (handwriting, drawing, copying shapes) In this example, pt has average scores
103
What does this testing assess?
Pt’s ability to coordinate visual perception with motor control (hand movements) * visual motor integration (handwriting, drawing, copying shapes)
104
What does theDEM test assess?
Developmental eye movements * assesses saccades (Ocular motor function) * And automaticity (ability to recognize and verbalize numbers) Type I: V&H normal timing, Normal ratio = no Oculomotor dysfunction Type II: V normal timing, H slow, high ratio = Oculomotor dysfunction (issues with tracking) Type III: V slow, H slow, but ratio normal = automaticity dysfunction Type IV: V slow, H slow, ratio HIGH = automaticity AND Oculomotor dysfunction Type V: V normal, H normal, HIGH ratio = Oculomotor dysfunction V/H slow = abnormal Ratio high = abnormal *difference between type III and type IV is if ratio is normal or abnormal Score interpretation: <16 percentile = FAILS 16th - 31st = suspect >31st percentile = normal *compare to people their age *50% is average
105
What is this test and what does it assess?
King Devick test * assess Oculomotor function on the basis of speech * does not screen for automaticity
106
What does this test assess?
Visual perceptual skills * assess how well a patient interprets and makes sense of visual information 1. Visual discrimination: differentiate between similar objects, shapes and symbols 2. Visual memory: recall visual details after brief presentation 3. Visual-spatial relationships: understanding position of objects in space (left vs right) 4. Visual form constancy: recognizing objects despite changes in size, position or orientation 5. Visual sequential memory: remembering the order of symbols or patterns 6. Visual figure-ground: distinguishing object from its background 7. Visual closure: identifying objects when only part of it is visible
107
Corneal intraepithelial neoplasia Appears: - gelatinous or fleshy - elevated - grayish - at the limbus within interpalpebral fissure * unilateral * light skin, middle age or older patients exposed to UV light * occurs more frequently in immunosuppressed pts (HIV) * high incidence in HPV