What gross features do you see in this heart post-MI?
How long after MI do you think this could be?

this shows mottling = reddish/blue discoloration caused by stagnated blood
definitely < 24 hrs; likely 12-24 because mottling is more developed
What gross features do you see in this heart post MI?
How long after MI could this be?

zone of yellow-tan infarctnecrosis with red/hyperemic border due to granulation tissue
likely 3-14 days –> before 3 days no granulation tissue; after 14 scar formation complete
What gross features do you see in the heart post MI?
When could this be post MI?

healed myocardial infarct with white scarring
likely > 2 months after MI
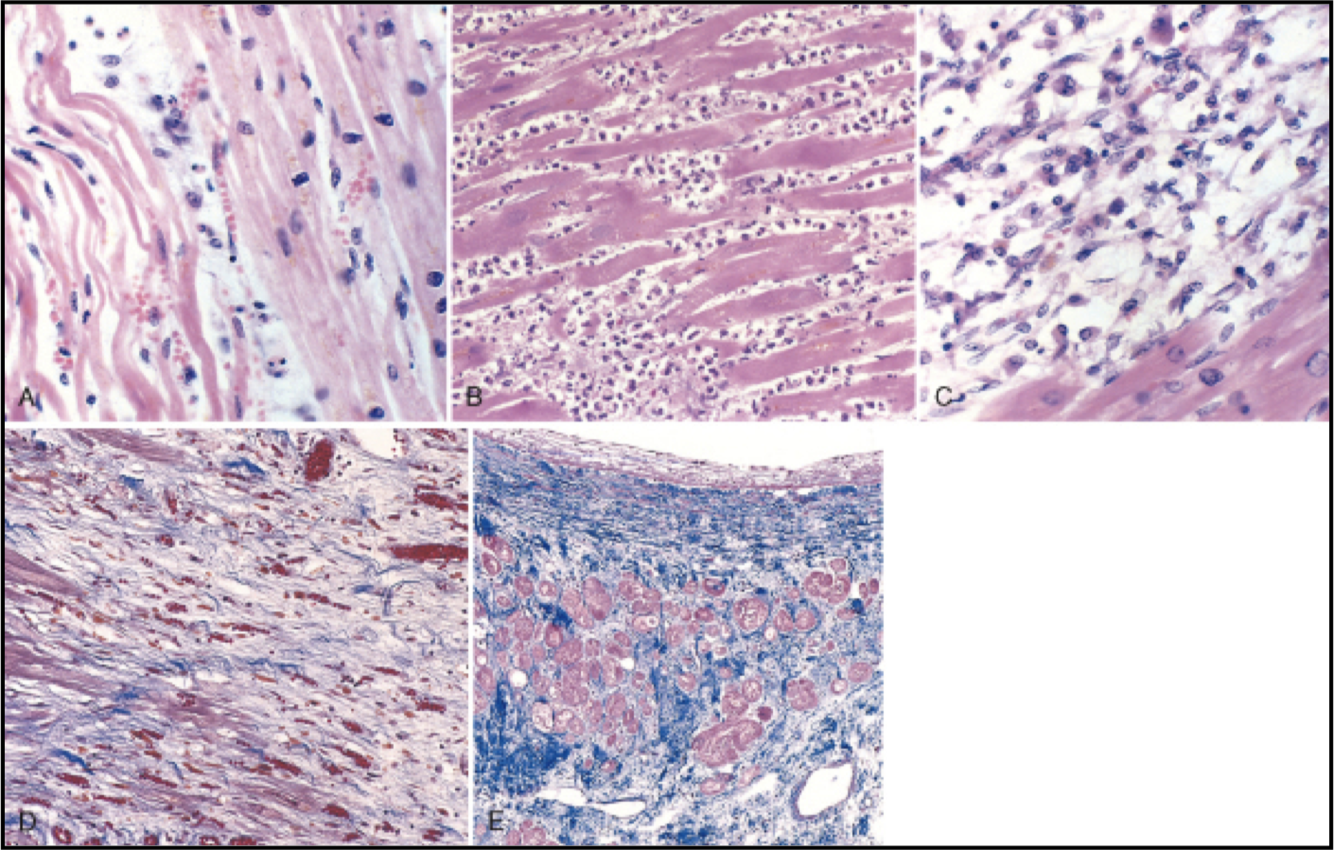
What stages and time point post-MI do these images represent?

from left to right starting with top row = in order of progression
A. wavy fibers on left + early coagulative necrosis = 4-12 hrs
B. More coagulatie necrosis = very eosinophlic; presence of neutrophils = 12 hrs - 3 days
C. Presence of phagocytes and macrophages = 3-14 days
D. Loose granulation tissue starting from edge of infarct and creeping in = 3-14 days
E. well healed infarct with blue collagenous scar on trichrome stain = > 2 months
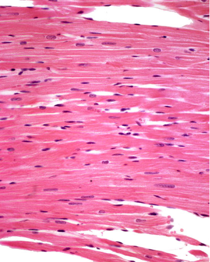
What is happening histologically in this tissue?
What time frame?

What is happening histologically in this tissue?
What time frame?

Wavy fibers
the slide says < 4 hrs but I think this could also be early in the 4-12 hrs period
What kind of stain is this? What is it detecting?

stain for complement C5b-9
provides evidence of ischemia [red fibers] even if myocardium looks apparently normal under H&E
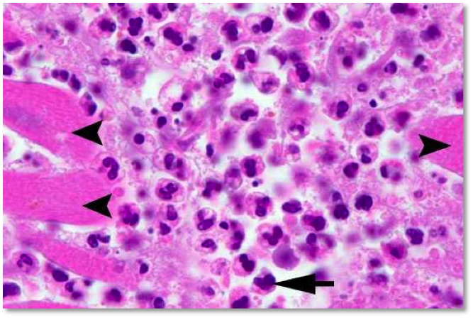
What is happening histologically in this tissue?
What time frame?
What do the arrows and arrowheads point to?

This is coagulative necrosis and neutrophil infiltration
could be 12-24 hrs or 1-3 days; more likely 1-3 days since that is when neutrophils are most prominent
arrow = neurtophil
arrow heads = myocytes undergoing coagulative necrosis = loss of nuceli and striations
What is happening histologically in this tissue?
What time frame?
What are the arrows? arrow heads?

This is coagulative necrosis and neutrophil inflammation
12 hrs - 3 days; likely 1-3 days since tahts when neutrophils are most prominent
arrow head = coagulative necrosis of myocytes
arrow = neutrophils
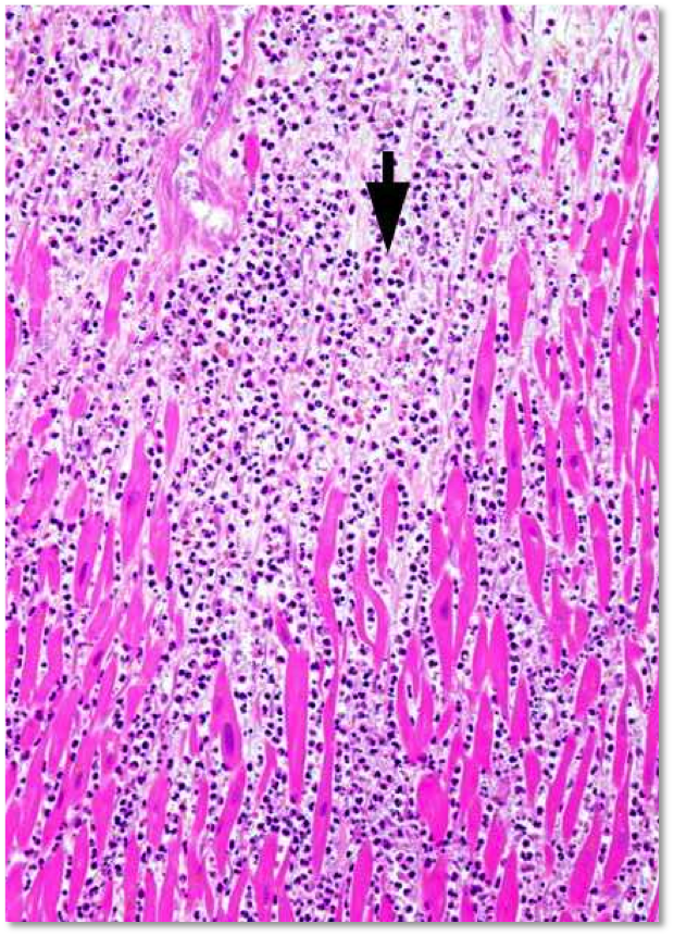
What is happening histologically in this tissue?
What time frame?

This is coagulative necrosis of myoctyes and neutrophil inflammation
occurs 12-24 and 1-3 days after MI; likely 1-3 days b/c tahts when neutrophils are most prominent
arrow = neutrophils
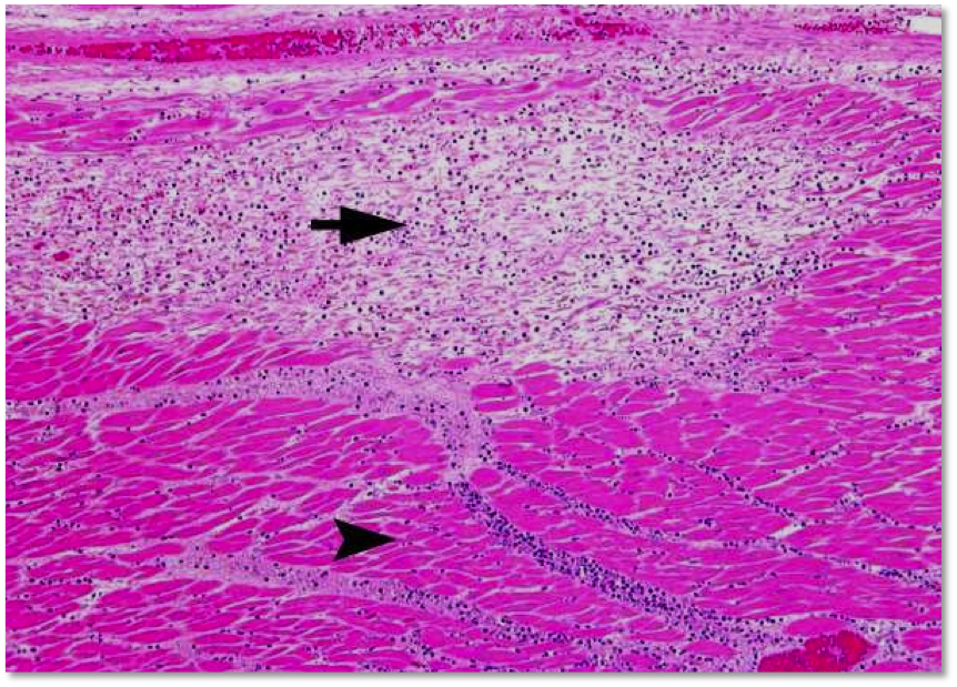
What is happening histologically in this tissue?
What time frame?

This is granulation tissue
granulation tissue starts toward end of 1st week and continues for 2 wks
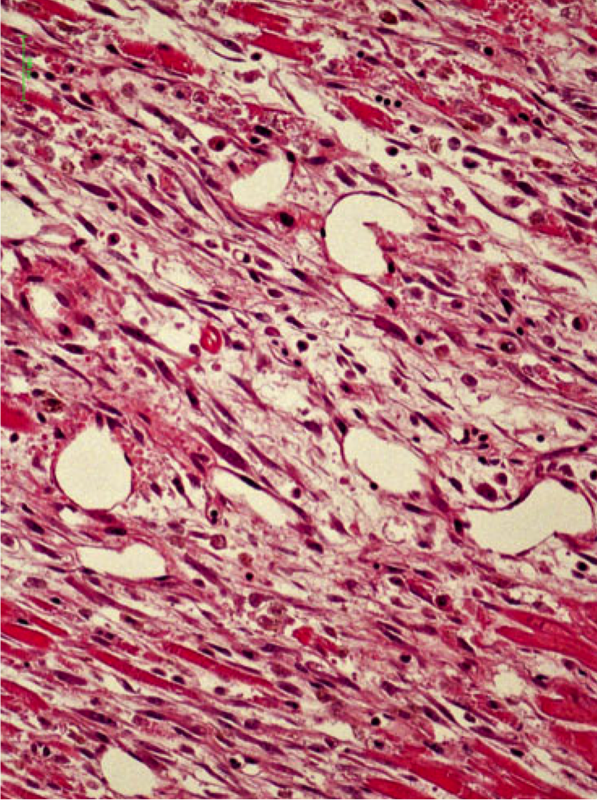
What is happening histologically in this tissue?
What time frame?

This is an old MI infarct scar w/ dense collagen tissue and no inflammation
> 2 months old; could be way older than that no way to tell
What complication of MI does this represent?

post MI septal rupture –> leads to VSD and L to R shunt
=
What complication postMI does this represent?

post MI pericarditis = only happens in transmural MI
What complication of MI does this represent?

post MI papillary muscle rupture –> leads to mitral regurgitation
What is this complication of MI?

thinned true aneurysm wall [arrow] with mural thrombus due to stasis of blood
What is this post MI complication?

What is this post MI complication?
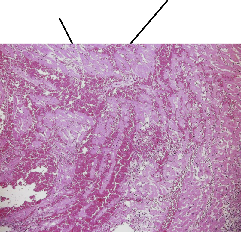
What do the two arrows point to [2 different things]?

This is hemorrhage = reperfusion injury
leakage from injured ischemic vessels causes hemorrhage
left arrow = area of necrosis
right arrow = area of hemorrhage
How does arterial pulse volume waveform change in normal vs obstruction from peripheral artery disease
normal = rapid upstoke then dichrotic notch
obstruction = delayed rise and rounded peak, lose dicrotic notch, widened blunted waveform

What is order from normal –> severe obstruction in these aertial pulse volume recordings?

top left = normal: sharp upstroke + dichrotic notch
top right = less normal –> still have sharp peak but lose dichrotic notch
bottom left = even less normal –> flattened peak
bottom right = severely abnormal
Is this high or low resistance artery?
Examples of some vessels this could be?

This is a low resistnace vessel since you see flow in both systole and diastole
could be:
internal carotid
vertebral
renal
mesenteric [after eating]
Is this high or low resistance artery
What are examples of some vessels this could be?

High resistance = very low flow in diastole
could be:
muscular arteries of arm/leg
external carotid
mesenteric [before eating]
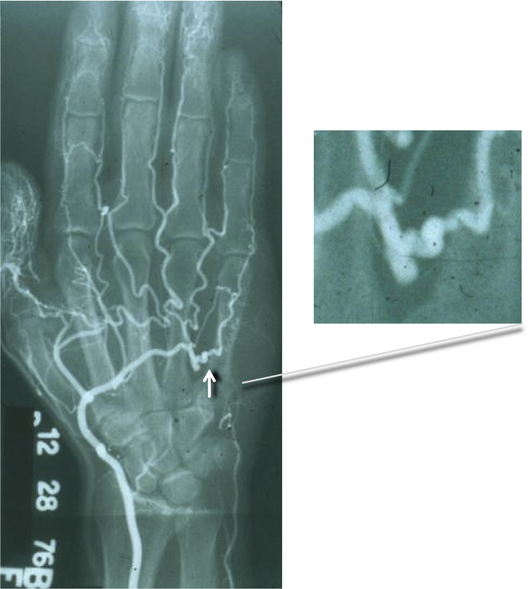
What is this? What disease does it suggest?

These are corkscrew collaterals
classic sign of beurgers disease = thromboangiitis obliterans
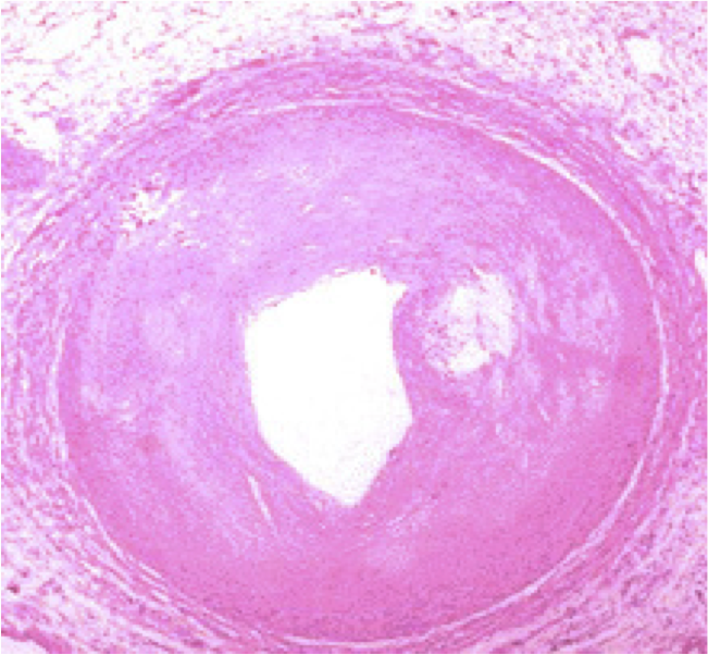
What is this picture of?

coronary atherosclerosis