TDM TAP: diagnostic?

hernie inguinale étranglée. On voit une petite bulle d’air= nécrose pariétale
Diagnostic?

Thrombose hémorroïdaire externe
Diagnostic?

prolapsus rectal
Hémooroïde: quel stade de Goligher?

stade 4 car procidente permanente non réductible
Qu’est ce que c’est…?

marisque= cictrice laissée à la fin de résolution spontanée d’une thrombos hémorroïdaire externe
diagnostic?

hernie ombilicale
Coucou qu’est ce que c’est? (chez qqn qui a un cancer colo-rectal)
métastases hépatiques de cancer colo-rectal
Coloscopie pour bilan d’anémie ferriprive. qu’est ce que c’est?

tumeur colique
Coloscopie pour diarrhée glaireuse chez un patient ayant eu une antibiothérapie récente, qu’est ce que c’est?

Colite pseudo-membraneuse => clostridium difficile
coucou qui est là?

Un diverticule
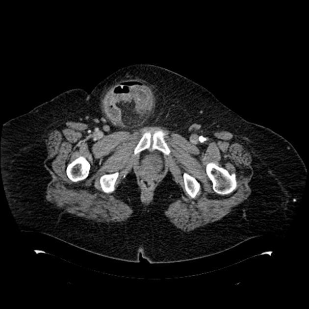
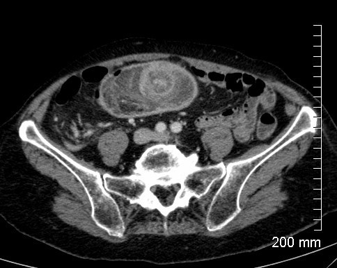
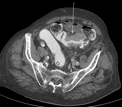
Patient hospitalisée pour douleurs en FIG, fièvre. qu’est ce que c’est?

Diverticulite aiguë sigmoïdienne
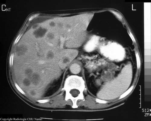
Patient atteint de CCR. Après un TDM de contrôle on décide de l’opérer du foie? Pourquoi? qu’est ce que c’est….

métastase hépatique résécable
Chinoise de 40 ans buvant beaucoup de saké, AEG. endoscopie oeso-gastro-duodénale, que voit on?

Linite gastrique: muqueuse normale mais gros plis rigides, l’estomac ne prend pas l’insufflation.
Femme chinoise qui présente AEG + signes occlusifs hauts. Muqueuse normale à l’endoscopie, biopsies nég. on fait l’écho-endo que voici. Qu’est ce que c’est?

Las sous-muqueuse (3e couche) est épaissie et hyperéchogène: LINITE gastrique
AEG chez un homme de 65 ans se nourrisant exclusivement de saucisson. Il présente ces lésions sur la peau. De quel cancer est-ce un potentiel signe néoplasique?

adénocarcinome gastrique
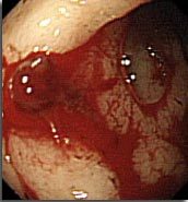
endoscopie: quel stade selon la classification de Forrest? (n’est plus dans le collège de gastro)

Forrest stade Ib: suintement diffus en nappe
TDM réalisé dans le cadre d’un syndrome occlusif (avec vomissements précoces, météorisme discret, douleurs ++) = niveau grêlique plutôt

iléus biliaire. Probable cholécystite négligée auparavant avec création fistule biliaire
Homme 50 ans, violentes douleurs abdominales et syndrome occlusif, un TDM est réalisé. Diagnostic?

Invaginaton Intestinale aiguë
Patiente 75 ans sans atcd, avec douleurs abdominales aiguës , défense et sd occlusif du grêle. A la biologie RAS hormis sd inflammatoire. diagnostic?

Ischémie mésentérique artérielle
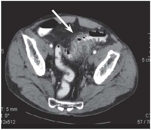
Patient de 30 ans, douleurs FID de début brutal, avec signes péritonéaux en FID mais pas de signes infectieux et pas d’hyperleucocytose à la bio (sd inflammatoire)
Diagnostic? traitement?

Torsion de frange épiploïque (appendalgite), ttt= anti-inflammatoires. si pas d’amélioration à 12h, chir explo
Patient de 75 ans, affaibli, se présente aux urgences pour syndrome occlusif après une période d’alternance diarrhée/constipation. Pas de vomissements, météorisme abdo, arrêt des matières et des gaz depuis 24h. Diagnostic?

Occlusion colique mécanique pariétale: tumeur colique
Petit papi avec un gros ventre, arrêt des matières et des gaz depuis 24h. Il a bien mal comme il faut. Vous lui faites un ASP alors que ce n’est plus dans les reco HAS: qu’est ce que c’est?

Volvulus du sigmoïde
Vous avez opéré le papi qui avait un volvulus du sigmoîde. Ce n’est pas bien, qu’est ce que vous auriez du faire si vous vouliez suivre les reco?

Détorsion endoscopique ou radiologique pui smise en place d’un tube de Faucher
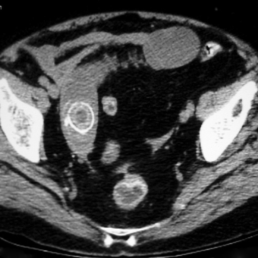
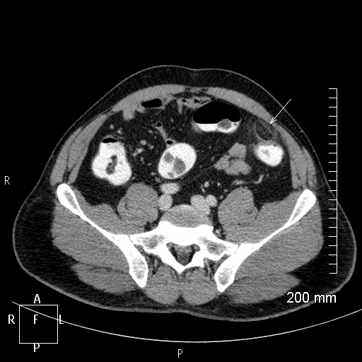
Le patient a une diverticulite. Devant persitance fièvre et augmentation du sd inflammatoire à 48h on réalise le TDM suivant. Vu la taille de l’abcès (>5 cm on va dire), quelle CAT?

drainage de l’abcès: ponction percutanée écho ou scanno-guidée; OU drainage chirurgical si percut impossible (avec RDC à distance)