Sur les champs visuels de Goldman, quelle est l’atteinte de gauche? l’atteinte de droite?

A gauche: HLH gauche donc atteinte des voies rétro-chiasmatiques droites
A droite HLH droite donc atteinte des voies rétro-chiasmatiques gauches
Sur les champs visuels de Goldlan ci-joint, quelles sont les atteintes à droite et à gauche?

A gauche: quadranopsie bitemporale supérieure
A droite: hémianopsie bitemporale
Angiographie à la fluorescéine et OCT chez un patient diabétique. Que voit-on?

Sur l’angiographie: accumulation de fluide dans les logettes cystoïdes sur toute la macula. Sur l’OCT =épaississement microkystique rétinien maculaire
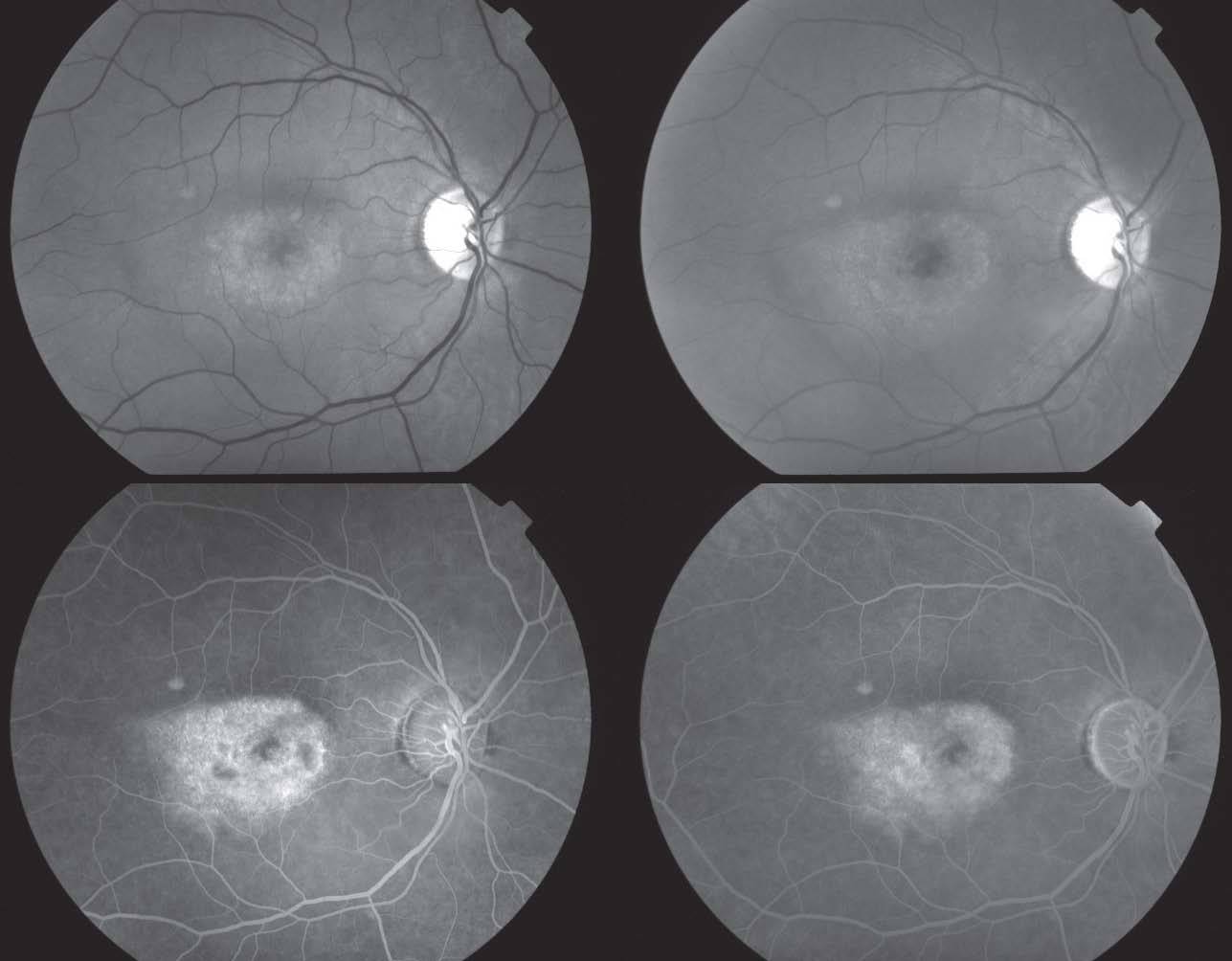
Sur l’angiographie à la fluoresceine d’un patient atteint de DMLA, quel est le stade?

DMLA atrophique
Sur l’angiogrpahie à la fluorescéine d’un patient venant pour amputation du champ visuel, que voit-on? quel est le diagnostic probable?
(indice: au fond d’oeil: oedème papillaire et hémorragies en flammèches)

oedème papillaire prenant le contraste = NOIAA
angiographie à la fluorescéine réalisée dans le cadre de la surveillance du plaquenil. Que voit-on?

Maculopathie aux APS
Fond d’oeil après photocoagulation pan rétinienne, que voit-on?

Cicatrices de laser, en noir
Patient avec atcd d’OVCR ischémique, arrive pour BAV aiguë. Diagnostic?

Semi-midriase, diminution transparence cornée = oedème cornéen= hypertonie oculaire = glaucome néovasculaire dans le contexte d’OVCR ischémique
Patient avec atcd d’OVCR, examen ophtalmo de surveillance. Que voit on? Diagnostic?

Néovaisseaux iriens. C’est une rubéose irienne
Diagnostic? Traitement?

Carcinome basocellulaire de la paupière inférieure. /!\ peut mimer un chalazion!
ttt= exérèse chir avec 4 mm de marge + extemporané des berges
Patient consultant pour sécheresse oculaire. Quel test réalise-t-on ici?

Break up time: instillation d’une goutte de fluorescéine et mesure du temps de rupture du film lacrymal
Quelle est la gravité de cette brûlure par base?

Moyenne
Diagnostic?

Brûlure sévère par base
Diagnostic?

Carcinome épidermoïde de la paupière supérieure
Diagnostic?
Cataracte brune
Diagnostic?

Cataracte corticale
Examen à lampe à fente. Diagnostic?

Cataracte nucléaire, atteinte du noyau du cristallin
Diagnostic?

Cataracte totale = visible à l’oeil nu
Quel est le symptôme? quels sont les diagnostics possibles?

Cercle périkératique. Kératite ou uvéite possibles
Diagnostic? Traitement?

Chalazion enkysté.
traitement = incision chir et curetage
puis collyre antibiotique 8j et hygiène palpébrale
Diagnostic? Traitement?

Chalazion non enkysté.
ttt= pommade corticoiïe 10j et soins de paupières
Diagnostic? Traitement?

Chalazion prédominant au bord interne de la paupière
ttt= pommade corticoides 10j
Patient ayant une conjonctivite. Diagnostic?
nombreuses papilles conjonctivale= conjonctivite allergique
Diagnostic?

Conjonctivite bactérienne car sécrétions muco-purulentes