IRM du genou pour douleurs et hydarthrose récidivante: que voit-on?

Anse de seau du ménisque
Un patient s’est présenté aux urgence pour blocage aigu du genou, une IRM est réalisée que voit-on?

Anse de seau luxée dans l’échancrure intercondylienne
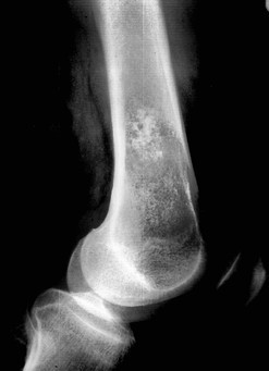
Quel diagnostic pour cette tumeur osseuse?

Chondrome de la diaphyse fémorale car matrice cartilagineuse
Tumeur osseuse visiblement maligne: quel est le diagnostic probable?

Lésion épiphysaire à matrice cartilagineuse (pop corn) d’allure maligne = Chondrosarcome de l’humérus
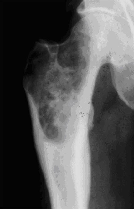
Quelle est la tumeur probable sachant qu’elle est maligne?

Tumeur épiphysaire à matrice cartilagineuse (pop corn) = chondrosarcome de l’extrémité sup du fémur
Un patient a une sensation d’instabilité avec dérobement du genou, avec douleur et hydarthrose récidivante

Quel diagnostic?

Tumeur d’allure bénigne car calcifications annulaires, matrice cartilagineuse, intra-osseuse: enchondrome
Quel diagnostic de tumeur osseuse bénigne?

Enchondrome de l’oreille
Patient avec douleurs cervicales après un accident de voiture de faible cinétique. Diagnostic?

Entorse cervicale car antélisthésis, pincement antérieur, perte du parallélisme des vertèbres et augmentation de l’écart inter-épineux
/!\ risque luxation
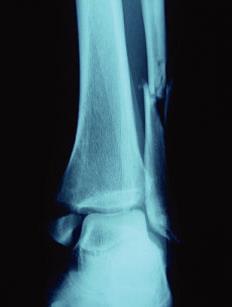
Patient consulte aux urgences après une chute, à l’examen clinique pas de luxation , oedème de la cheville important, pas de souffrance cutanée. Diagnostic? Quel a été le mécanisme lésionnel probable?

Fracture bimalléolaire de cheville intertuberculaire
mécanisme en rotation externe forcée
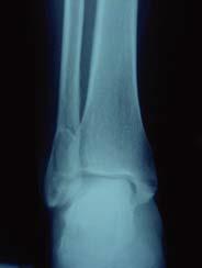
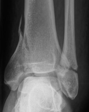
Patient consulte aux urgences pour douleurs importantes de cheville et impotence fonctionnelle après une chute. Des radios sont faites: quel diagnostic? Quel est le mécanisme lésionnel probable?

Fracture bimalléolaire de cheville sous-tuberculaire
mécanisme en aDduction forcée
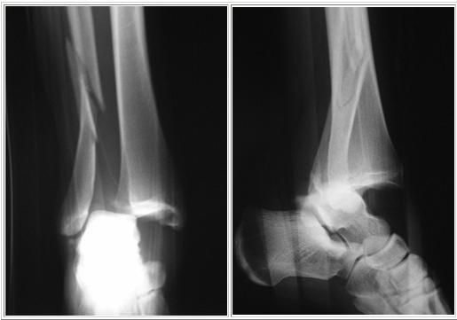
Quel est le diagnostic concernant la fracture de cheville sur cette radio? Quel est le mécanisme lésionnel probable?

Fracture bimalléolaire de cheville sus-tuberculaire
mécanisme en aBduction forcée
Sur cette radio, quel diagnostic? Quel est le déplacement des fragments?

Fracture de la clavicule au niveau du tiers moyen
déplacement du fragment interne en haut et arrière, du fragment externe en bas
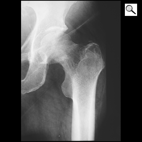
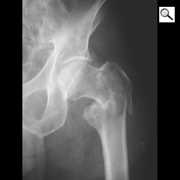
Quel diagnostic? Quelle doit être la déformation clinique du membre inf? Doit-on la réduire?

Fracture de l’ES du fémur gauche Garden 1
coxa valga
engrènement du foyer de fracture= stable = pas de réduction
Quel diagnostic? Qu’aurait-il fallu faire avant cette radio?

Fracture equivalente bimaleollaire cheville gauche car fracture ME + rutpure LLI
avec diastasis tibio peronier et luxation tibio talienne
réduction en urgence AVANT radio normalement
Quel est le stade Garden de cette fracture de l’ES du fémur? Quel est le risque évolutif principal?

Fracture ES fémur garden 4 car perte de contact entre fragments,
les travées osseuses sont normales
Risque max d’ostéonécrose aseptique
Quel est le stade Garden de cette fracture du col?

Fracture ES fémur gauche Garden 2 car pas déplacé et travées osseuses non déformées
! risque de déplacement secondaire !
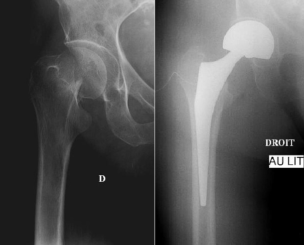
Quelle prothèse a été utilisée ici?

Fracture garden 4 ES fémur traitée par
prothèse intermédiaire de hanche
Quel diagnostic? Quel traitement?

Fracture inter-trochantérienne de l’ES du fémur gauche
ttt= vis plaque ou clou gamma
Quel diagnostic? Quel traitement?

Fracture per-trochantérienne fermée de l’ES du fémur gauche
ttt= vis plaque ou clou gamma
Ce type d’immobilisation est-il approprié pour une fracture de la clavicule?

oui, car anneaux en 8 de Zimmer,
permettent une immobilisation en rétroplusion
Ce type d’immobilisation est-il approprié pour une fracture de la clavicule?

oui, car écharpe simple coude au corps est un traitement possible de la fracture de la clavicule
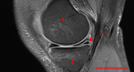
Voici une IRM des ménisques. Diagnostic?

IRM normale des ménisques
hé hé
Quelle est la manoeuvre représentée ici? Que teste-t-elle?

Maneuvre de Gerber
teste le tendon du muscle sous-scapulaire