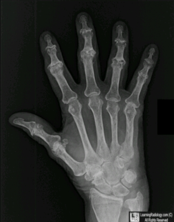
What disease is this? What are the features on this image of the disease?

DJD
DIP
PIP
1st MCP
subchondral sclerosis
osteophytes
cystic changes
loss of joint space
misalignment
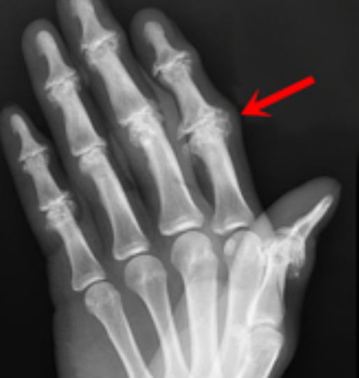
Name the feature the arrow is pointing at.

Bouchard’s nodes
Name the feature on the xray.

Heberden’s node
Name the feature and name the disease (be specific).

gull wing sign
erosive arthritis
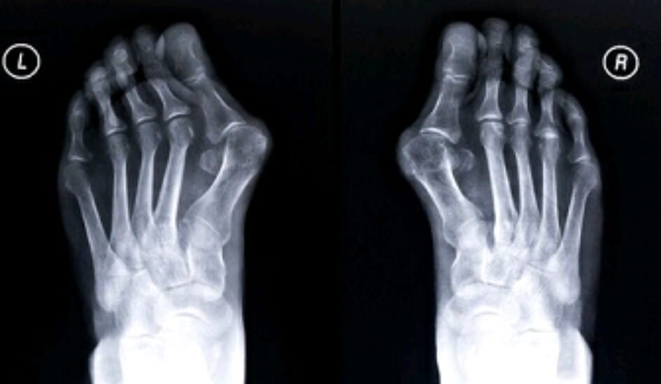
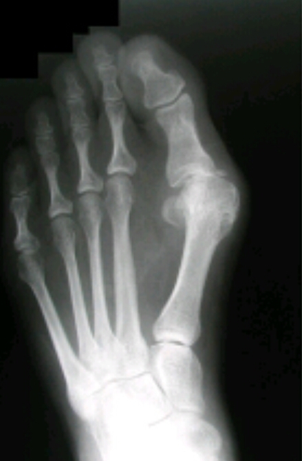
Name the feature. What disease does this represent?

hallux valgus
DJD
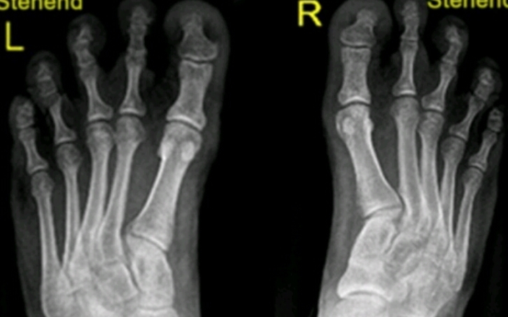
Name the feature. What disease is this associated with?

metatarsus varus
DJD
Name the feature. What disease does this correlate with?
(Inflammation, pain)

bunion
DJD
Name the feature. What kind of change is this? What disease is this associated with?

heel spur
inflammatory enthesopathic change
DJD
Name the features. What disease does this correlate with?
What can these features do to regular anatomy?

AC joint degeneration
osteophytes
osteophytes can impinge rotator cuff, leading to tendon calcification and superior migration of humerus
Name the feature the red arrow is pointing at. What disease does this correlate with?

osteophyte at glenohumeral joint
previous trauma or underlying CPPD
What disease is this? What features make the diagnosis?

Rotator cuff arthropathy
cystic changes
superior migration of humerus due to unopposed deltoid
erosions at acromion
What type of image is this? (be specific)
what is the disease?

rotator cuff tear
T2
What disease is this? Name the changes that make you know that.

Elevation of humeral head
Degenerative enthesopathic changes of humeral head
Spurring of acromion process
Rotator cuff (supraspinatus) degeneration
Name the disease. How do you know?

HADD/calcific tendonitis
there is a calcification within a tendon
What is the disease?

HADD of rotator cuff
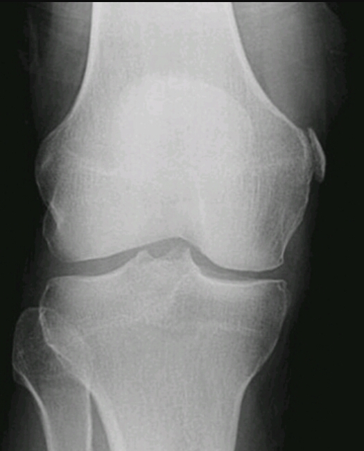
Name the disease. Name the signs of it.

DJD of the medial compartment of the knee.
Asymmetric joint space/articular deformity and irregularity
Subchondral sclerosis
Subchondral cysts
Hypertrophy of intercondylar spines
Enthesopathoc changes of non articular surface of patella
Name the disease (be specific)
What is this due to?

Pelligrini steida calcification
HADD of medial tibial collateral ligament
Post-traumatic dystrophic changes
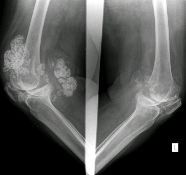
Name the disease

Synovial osteochondrometaplasia
AKA intraarticular joint mice
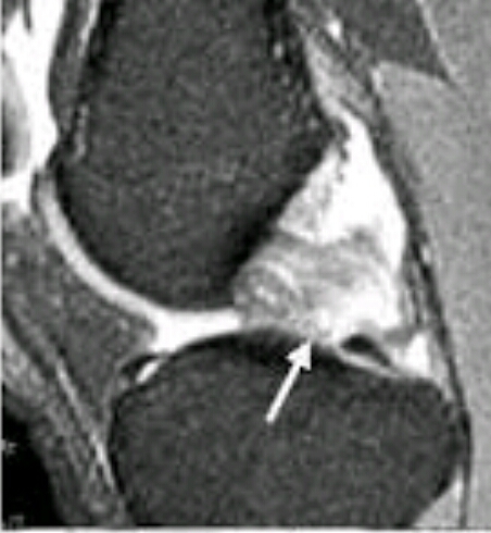
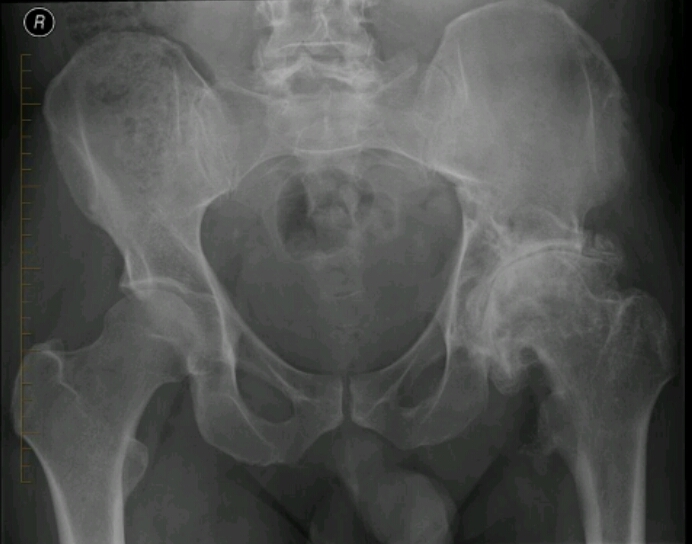
This is a 17 year old boy with hip pain and he doesn’t know where it came from. What is the disease?

pigmented villonodular synovitis
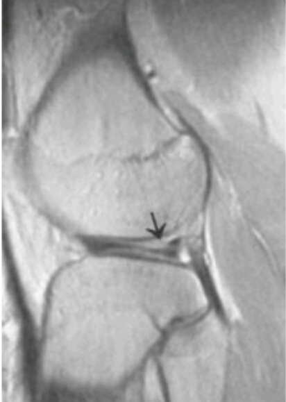
Name the problem.

medial meniscus tear
Name the disease.

lateral meniscus tear
Name the disease.

ACL tear
Name the disease.

PCL tear
Name the disease. What are the signs of it?

Loss of superior joint space
Osteophyte formation
Subchondral cysts/geodes
Sclerosis
Buttressing
Joint deformity