Based on this image, does this patient have an old or a new fracture?

new fracture (black is whack, white is right)
Based on this image, does this patient have a new or old fracture?

old fracture (black is whack, white is right)
The patient is 70 years old. What is the dianosis? What are the radiographic features you see?

osteoporosis
radiographic features: cortical thinning, resorption of nonstress-bearing trabeculae, accentuated vertical struts, altered vertical shape (codfish deformity), schmorl’s nodes, endplate infractions
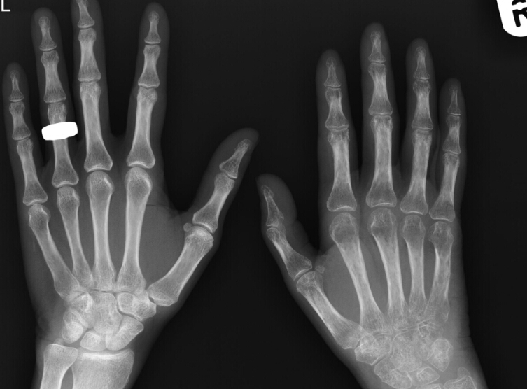
What is the diagnosis? What are the features you see that make that so?

osteopenia
thinner cortex, thinner subchondral region, trabeculation
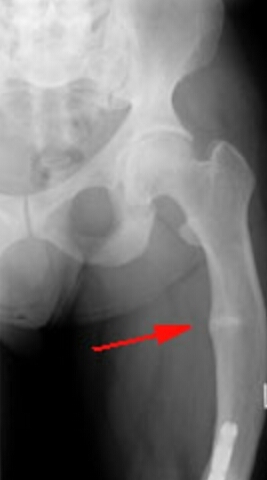
What kind of fracture is this?

compression fracture
what kind of fracture is this?

pathological fracture
What is the radiographic feature?

codfish deformity
What is the radiographic feature? How does this occur?

Ward’s triangle
occurs when primary and secondary compressive and primary tensile trabecular patterns of the hip wither away at about the same time
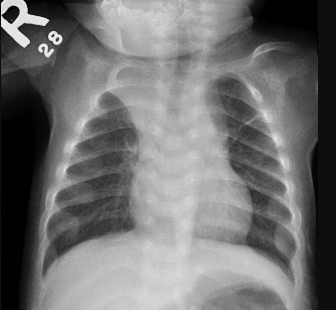
What is the diagnosis?

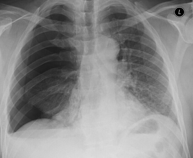
rib fracture
What is the diagnosis?

Multiple lytic calvarial lesions associated with mutiple myeloma
punched out lesions
A person comes in with this xray. They have just gotten out of a cast. What is the diagnosis?

disuse osteoporosis
What is the diagnosis? What makes you think so?

Reflex sympathetic dystrophy
there is pretty severe demineralization and the joint spaces are good
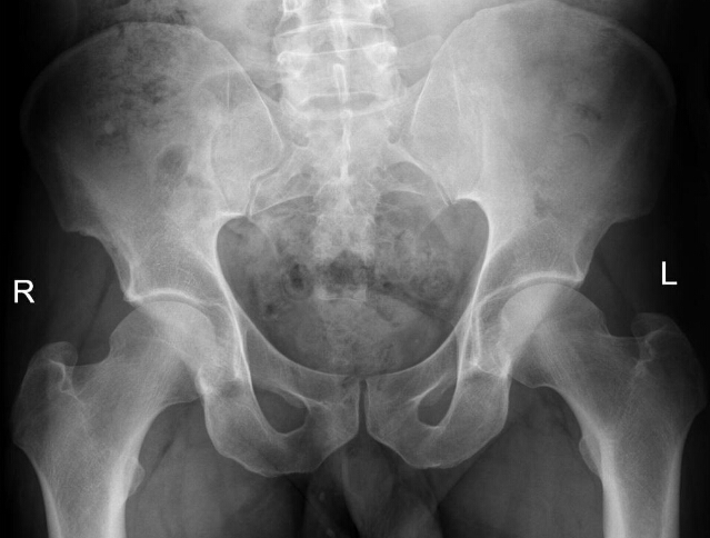
This is an xray film of a 30 year old female. What is the possible diagnosis?

transient osteoporosis of the hip
What is the diagnosis? What radiographic features make that so (features both on the xray and off)?

Ostomalacia
osteopenia, coarsened trabeculation, LOOSER LINES, bowing of the femur
basilar invagination, acetabular protrusion
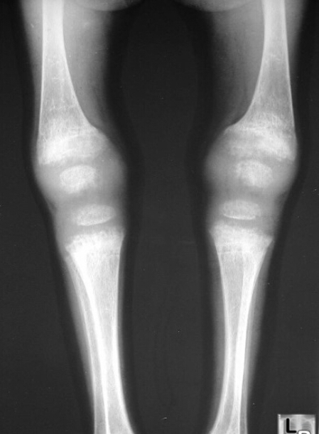
What is the diagnosis? What makes you think so?

Rickets
osteopenia, paintbrush metaphysis, lack of provisional zone of calcification
return of the zone is a sign of healing
fraying, splaying, bowing deformities, rachitic rosary
What is the diagnosis? What is the radiographic feature called?

rickets
rachitic rosary
What is the diagnosis? What are the radiographic features?

Scurvey
ring epiphysis (wimberger’s sign), scorbutic zone, dense zone of provisional calcium (farkle’s), pelkin’s sign
What is the radiographic feature? This is the most definitive radiographic sign of what disease?

subperiosteal resorption, HPT
What is the radiographic feature? What disease is this associated with?

salt and pepper skull
HPT
What is the radiographic feature? What disease is this associated with?

subperiosteal resorption at SI joints
HPT
What is the radiographic feature? What disease is this associated with?

Rugger Jersey spine
HPT
What is the radiographic feature? What disease is this associated with?

Brown tumor
HPT
What is the radiographic feature present? What are the possible causes of it?

enlarged sella
empty sella, tumor, normal, aneurysm
What is the diagnosis? What radiographic features are present?

acromegaly
spade-like distal tufts, hooking osteophytes, increased joint spaces initially, widened shaft, increased tissue thickness