white on mammogram
fibroglandular tissue
grey on mammogram
fatty tissue
what is coopers ligament
connective tissue in the breast that helps to maintain structural integrity

asymmetry

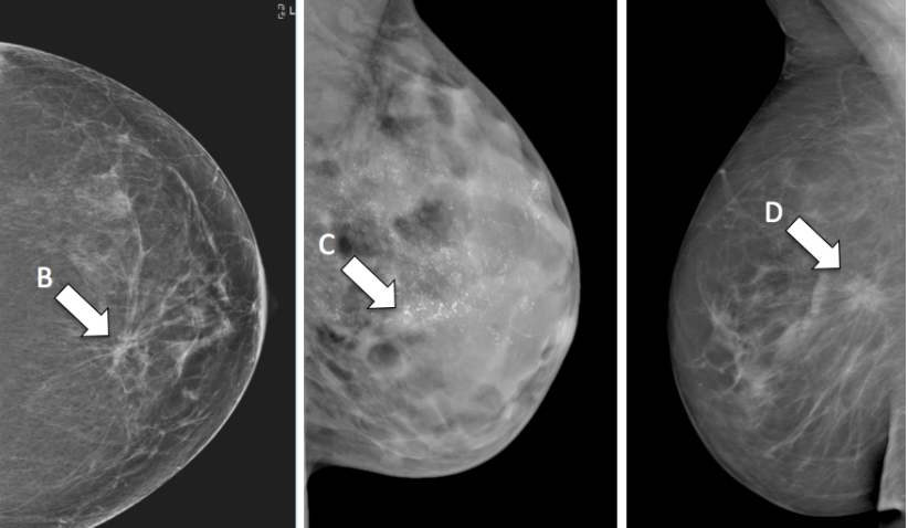
B - architectural distortion
C - microcalcification
D - mass

dense breasts

fatty breasts

multiple round masses of varying size in both breasts. masses are very well defined, have a black halo (benign appearance on mammography)
Appearance in keeping with cysts however requires an ultrasound to make a definitive diagnosis
imaging of choice in women < 40 years
ultrasound

A - skin
E - fatty tissue
B - fibroglandular tissue
D - pectoralis major muscle
C - rib

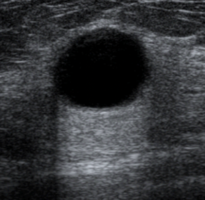
Well defined rounded mass with black, anechoic fluid centre
= cystic mass

Solid mass
(as on USS; solid tissue appears as varying shaded of grey)

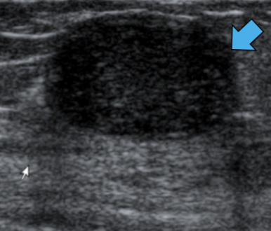
Malignant mass
management of patients with normal pre operative axillary assessment

benign mass because:
management of patients with normal pre operative axillary assessment
sentinel node biopsy
management of patients with abnormal axillary nodes on ultrasound + confirmed by core biopsy/FNA
axillary node clearance
what is a sentinel node?
the first of the axillary lymph nodes that will collect cancerous cells, if the cancerous breast cells have entered the lymphatic system

FNAC - normal breast ductal epithelial cells because; uniform in size and appearance, cohesive and contain regular round nuclei

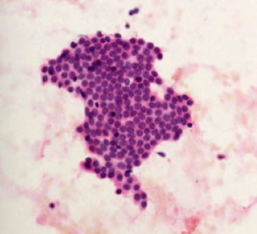
FNAC - C5: malignant cells from breast carcinoma

Core biopsy - normal breast tissue

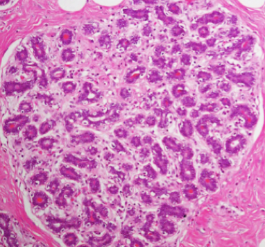
core biopsy - invasive ductal carcinoma
advantages of core biopsy over FNAC

benign fibroadenoma
benign neoplasm of both the stromal and epithelial cell components of the breast. Well circumscribed, non infiltrative lesion that lacks atypia

benign fibrocystic changes
(can fluctuate with hormonal changes)