Images Flashcards

(65 cards)

1
Q

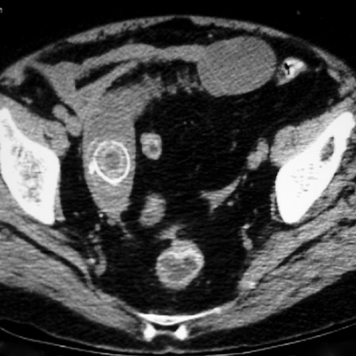
TDM TAP: diagnostic?

A

hernie inguinale étranglée. On voit une petite bulle d’air= nécrose pariétale

How well did you know this?
1
Not at all
2
3
4
5
Perfectly
2
Q

Diagnostic?

A

Thrombose hémorroïdaire externe

How well did you know this?
1
Not at all
2
3
4
5
Perfectly
3
Q

Diagnostic?

A

prolapsus rectal

How well did you know this?
1
Not at all
2
3
4
5
Perfectly
4
Q

Hémooroïde: quel stade de Goligher?

A

stade 4 car procidente permanente non réductible

How well did you know this?
1
Not at all
2
3
4
5
Perfectly
5
Q

Qu’est ce que c’est…?

A

marisque= cictrice laissée à la fin de résolution spontanée d’une thrombos hémorroïdaire externe

How well did you know this?
1
Not at all
2
3
4
5
Perfectly
6
Q

diagnostic?

A

hernie ombilicale

How well did you know this?
1
Not at all
2
3
4
5
Perfectly
7
Q

Coucou qu’est ce que c’est? (chez qqn qui a un cancer colo-rectal)

A

métastases hépatiques de cancer colo-rectal

How well did you know this?
1
Not at all
2
3
4
5
Perfectly
8
Q

Coloscopie pour bilan d’anémie ferriprive. qu’est ce que c’est?

A

tumeur colique

How well did you know this?
1
Not at all
2
3
4
5
Perfectly
9
Q

Coloscopie pour diarrhée glaireuse chez un patient ayant eu une antibiothérapie récente, qu’est ce que c’est?

A

Colite pseudo-membraneuse => clostridium difficile

How well did you know this?
1
Not at all
2
3
4
5
Perfectly
10
Q

coucou qui est là?

A

Un diverticule

How well did you know this?
1
Not at all
2
3
4
5
Perfectly
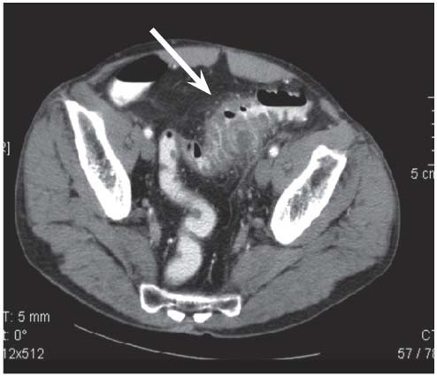
11
Q

Patient hospitalisée pour douleurs en FIG, fièvre. qu’est ce que c’est?

A

Diverticulite aiguë sigmoïdienne

How well did you know this?
1
Not at all
2
3
4
5
Perfectly
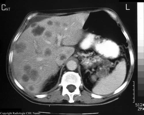
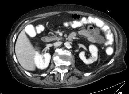
12
Q

Patient atteint de CCR. Après un TDM de contrôle on décide de l’opérer du foie? Pourquoi? qu’est ce que c’est….

A

métastase hépatique résécable

How well did you know this?
1
Not at all
2
3
4
5
Perfectly
13
Q

Chinoise de 40 ans buvant beaucoup de saké, AEG. endoscopie oeso-gastro-duodénale, que voit on?

A

Linite gastrique: muqueuse normale mais gros plis rigides, l’estomac ne prend pas l’insufflation.

How well did you know this?
1
Not at all
2
3
4
5
Perfectly
14
Q

Femme chinoise qui présente AEG + signes occlusifs hauts. Muqueuse normale à l’endoscopie, biopsies nég. on fait l’écho-endo que voici. Qu’est ce que c’est?

A

Las sous-muqueuse (3e couche) est épaissie et hyperéchogène: LINITE gastrique

How well did you know this?
1
Not at all
2
3
4
5
Perfectly
15
Q

AEG chez un homme de 65 ans se nourrisant exclusivement de saucisson. Il présente ces lésions sur la peau. De quel cancer est-ce un potentiel signe néoplasique?

A

adénocarcinome gastrique

How well did you know this?
1
Not at all
2
3
4
5
Perfectly
16
Q

endoscopie: quel stade selon la classification de Forrest? (n’est plus dans le collège de gastro)

A

Forrest stade Ib: suintement diffus en nappe

How well did you know this?
1
Not at all
2
3
4
5
Perfectly
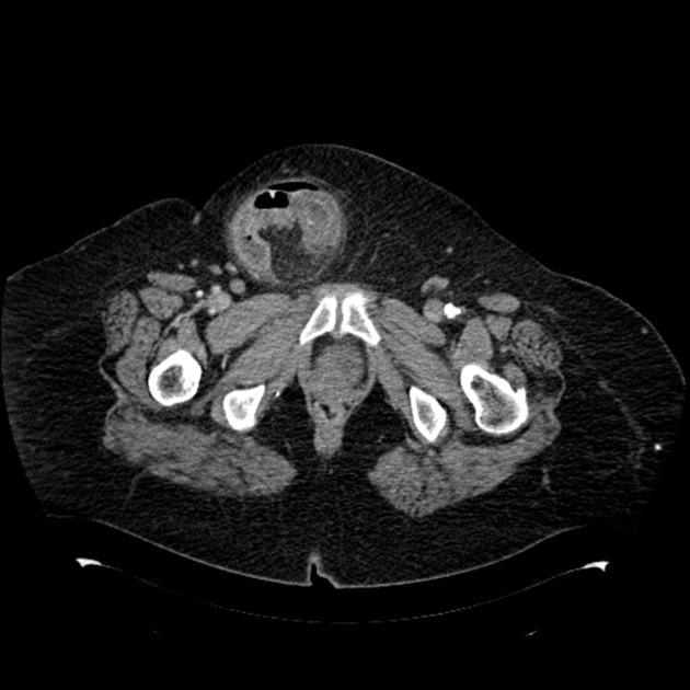
17
Q

TDM réalisé dans le cadre d’un syndrome occlusif (avec vomissements précoces, météorisme discret, douleurs ++) = niveau grêlique plutôt

A

iléus biliaire. Probable cholécystite négligée auparavant avec création fistule biliaire

How well did you know this?
1
Not at all
2
3
4
5
Perfectly
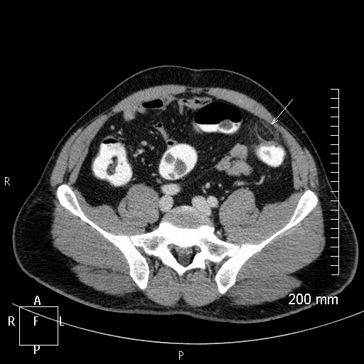
18
Q

Homme 50 ans, violentes douleurs abdominales et syndrome occlusif, un TDM est réalisé. Diagnostic?

A

Invaginaton Intestinale aiguë

How well did you know this?
1
Not at all
2
3
4
5
Perfectly
19
Q

Patiente 75 ans sans atcd, avec douleurs abdominales aiguës , défense et sd occlusif du grêle. A la biologie RAS hormis sd inflammatoire. diagnostic?

A

Ischémie mésentérique artérielle

How well did you know this?
1
Not at all
2
3
4
5
Perfectly
20
Q

Patient de 30 ans, douleurs FID de début brutal, avec signes péritonéaux en FID mais pas de signes infectieux et pas d’hyperleucocytose à la bio (sd inflammatoire)

Diagnostic? traitement?

A

Torsion de frange épiploïque (appendalgite), ttt= anti-inflammatoires. si pas d’amélioration à 12h, chir explo

How well did you know this?
1
Not at all
2
3
4
5
Perfectly
21
Q

Patient de 75 ans, affaibli, se présente aux urgences pour syndrome occlusif après une période d’alternance diarrhée/constipation. Pas de vomissements, météorisme abdo, arrêt des matières et des gaz depuis 24h. Diagnostic?

A

Occlusion colique mécanique pariétale: tumeur colique

How well did you know this?
1
Not at all
2
3
4
5
Perfectly
22
Q

Petit papi avec un gros ventre, arrêt des matières et des gaz depuis 24h. Il a bien mal comme il faut. Vous lui faites un ASP alors que ce n’est plus dans les reco HAS: qu’est ce que c’est?

A

Volvulus du sigmoïde

How well did you know this?
1
Not at all
2
3
4
5
Perfectly
23
Q

Vous avez opéré le papi qui avait un volvulus du sigmoîde. Ce n’est pas bien, qu’est ce que vous auriez du faire si vous vouliez suivre les reco?

A

Détorsion endoscopique ou radiologique pui smise en place d’un tube de Faucher

How well did you know this?
1
Not at all
2
3
4
5
Perfectly
24
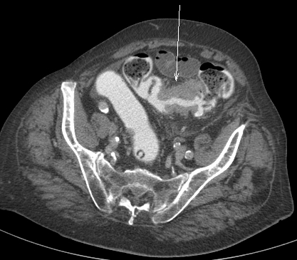
Q

Le patient a une diverticulite. Devant persitance fièvre et augmentation du sd inflammatoire à 48h on réalise le TDM suivant. Vu la taille de l’abcès (>5 cm on va dire), quelle CAT?

A

drainage de l’abcès: ponction percutanée écho ou scanno-guidée; OU drainage chirurgical si percut impossible (avec RDC à distance)

How well did you know this?
1
Not at all
2
3
4
5
Perfectly
25
Accident vélo VS scooter, choc sur le côté gauche. Le patient stabilisé on fait un bodyscann que voici. Diagnostic?
Fracture traumatique de rate avec hémopéritoine. Il y a aussi un pneumo-péritoine, il a sans doute perforé du tube digestif en plus
26
Est-ce qu'une péritonite appendiculaire peut donner cet aspect?
NOOOON, la péritonite appendiculaire ne donne pas de pneumopéritoine!
27
Vue endoscopique: qu'est ce que c'est ? qu'est ce qui peut provoquer cela? quel pigment?
Mélanose colique. Maladie des laxatifs (types anthraquinones). tisanes aussi! Dépôts de Lipofuschine
28
Nom de l'examen? en 1-2-3e intention dans le diag de pancréatite chronique? Comment est le Wirsung?
Cholangio-pancréatographie-IRM. En 2e intention pour le diagnostic de pancréatite chronique. Wirsung irrégulier et dilaté
29
Drainage de peudo-kyste dans le cadre d'une pancréatite chronique, quel est le nom de l'examen?
écho-endoscopie de guidage pour le drainage
30
Douleurs de l'hypochondre droit, on fait une écho abdo. Qu'est ce que c'est?
Lithiase de la vésicule biliaire
31
Bilan de douleurs épigastriques transfixiantes post-prandiales. Le scanner est il un examen de 1-2-3e intention ici? que voit-on?
Pancréatite chronique, car il ya une calcification. TDM sans et avec inj de PDC = examen de 1ère intention dans cette indication
32
Diagnostic d'une pancréatite chronique, présence d'une amsse épigastrique rénitente et douloureuse. Qu'est ce que c'est?
Pseudo-kyste pacnréatique
33
Douleurs de l'hypochondre droit, une écho abdo est réalisée. Que voit-on?
Rien, c'est une vésicule bilaire normale
34
Quel est le nom de l'examen? Que voit-on? quelle tumeur pancréatique est-ce?
cholangio-pancréatographie IRM On voit de nombreux canaux pancréatiques secondaires dilatés tout le long du pancréas (aspect en grappe de raisin): c'est une TIPMP
35
Pourquoi pense-t-on à une tumeur ENDOCRINE de la tête du pancréas?
Car prise de contraste intense
36
Quel est le grade de Savary-Miller de cette oesophagite?
Grade 1 car érosions ou ulcérations non confluentes
37
EOGD: quel est le grade de cette oesophagite selon Savary-Miller et pourquoi?
oesophagite grade 1 érosions ulcérations non confluentes
38
EOGD: Quel est le grade de cette oesophagite selon la classification de Savary-Miller et pourquoi?
oesophagite grade 2: érosions confluentes non circonférentielles
39
EOGD: Quel est le grade de cette oesophagite selon la classification de Savary-Miller et pourquoi?
oesophagite grade 3 : érosions confluentes circonférentielles non sténosantes
40
EOGD: Quel est le grade de cette oesophagite selon la classification de Savary-Miller et pourquoi?
Oesophagite grade 4 car compliquée d'ulcération
41
Patient de 56 ans, AEG, dysphagie; on fait une EOGD. Qu'est ce que c'est?
Tumeur de l'oesophage
42
Patient suivi pour achalasie de l'oesophage depuis longtemps. Sa dysphagie; qui prédominait sur les liquides, est maintenant élective sur les solides. On fait un TOGD. Que voit-on?
Stade de méga-oesophage: oesophage large avec stase liquidienne.
43
Dysphagie, EOGD avec sténose infranchissable=\> on fait une écho-endoscopie. Comment est la muqueuse oesophagienne?
Normale. Du coup évoquer une compression extrinsèque
44
Patient avec dysphagie, régurgitation d'aliments non digérés, signe de la maréen haleine fétide. On fait un TOGD. Qu'est ce que c'est?
Diverticule de Zenker
45
Hernie par glissement ou par roulement, qui est qui?
à gauche: hernie par glissement (ni nécéssaire ni suffisante pour diagnostic RGO) à droite: hernie par roulement (aucun lien avec RGO)
46
Dysphagie paradoxale prédominant sur les liquides. EOGD normale. Pas d'éosinophiles à la biopsie. On fait une manométrie oesophagienne. SIO normal. Diagnostic?
Maladie des spasmes de l'oesophage: ondes anormales non propagées, amples et répétitives
47
Patient présenant une dysphagie paradoxale aux liquides. EOGD normale. Pas d'éosinophiles à la biospie. On réalise une manométrie: diagnostic?
Achalasie de l'oesophage
48
Patient présentant une dysphagie élective (solides). On fait uen EOGD. Diagnostic?
Oesophagite à éosinophiles: aspect granité blanchâtre de la muqueuse oesophagienne. Biopsies
49
50
patient présentant une dysphagie paradoxale (liquides). EOGD normale. Pas d'éosinophiles à la biopsie. Ondes anormales non propagées amples et répétitives à la manométrie oesophagienne. On fait un TOGD: diagnostic?
Maladie des spasmes oesophagiens
51
TDM hépatique injectée : que voit-on, quel est le diagnostic probable?
masse hépatique réhaussée au temps artériel, avec wash out au temps portal =\> CHC probable
52
COUCOU! qui est là?
kyste paraisitaire (avec un petit vers dedans)
53
TDM hépatique injectée: que voit-on? quel est le diagnostic probable?
masse hépatique avec prise de contraste en motte, de la périphérie vers le centre. Probable hémangiome hépatique
54
TDM injecté hépatique. Que voit-on?
Masse avec prise de contraste uniquement périphérique: abcès. Infectieux ou tumeur nécrosée.
55
IRM hépatique. Qu'est ce que c'est?
CHC probable car prise de contraste à la phase artérielle et lavage à la phase portale avec au final une masse moins dense que le parenchyme autour = wash out
56
écho-endoscopie destinée à drainer une collection, que voit on ?
Pseudo-kyste pancréatique
57
EPP: que voit-on? de quelle pathologie est-ce fortement évocateur?
bloc béta-gamma: évocateur de cirrhose
58
TDM TAP: interpréter l'image
foie bosselé, anormal: cirrhose épanchement hypodense dans le péritoine :ascite
59
Coucou qui est là?
Foie cirrhotique trop moche
60
TDM TAP injecté: quelle est la lésion hépatique la plus probable?
hémangiome hépatique. prise de contraste en motte, de la périphérie vers le centre.
61
Quelle est la lésion hépatique probable sur ce scanner?
Hyperplasie Nodulaire et Focale: prise de contraste au temps artériel, lavage progressif au temps portal et cicatrice centrale au temps portal qu'on voit ici
62
Echogrpahie hépatique pour exploration d'une masse. Qu'est ce que c'est?
Kyste hépatique: contenu anéchogène, homogène, pas de paroi.
63
Qu'est ce que c'est?
Kystes biliaires du foie: hypodenses arrondis, ne communiquant pas avec les voies biliaires, PAS DE PAROI
64
Patient du sud de la France, exploration d'une masse hépatique par TDM TAP; qu'est ce que c'est?
Très probable kyste hydatique évolué, car paroi presque totalement calcifiée (= mort du kyste). Faire quand même sérologies hydatidose
65
Femme en surpoids de 56 ans consulte pour douleurs épigastriques. Expiration profonde impossible du fait de la douleur. Echo abdo: diagnostic?
lithiase biliaire