Antécédent cancer du sein en rémission. Syndrome? diagnostic?

Syndrome rétoculo-nodulaire => lymphangite carcinomateuse
Eleveur d’oiseau. lésion élémentaire? Diagnostic?

Nodules de contours flous. pneumopathie d’hypersensibilité
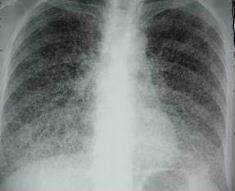
AEG, fièvre, parfois sueurs nocturnes. Patient vivant dans un squat.

Milaire tuberculeuse