
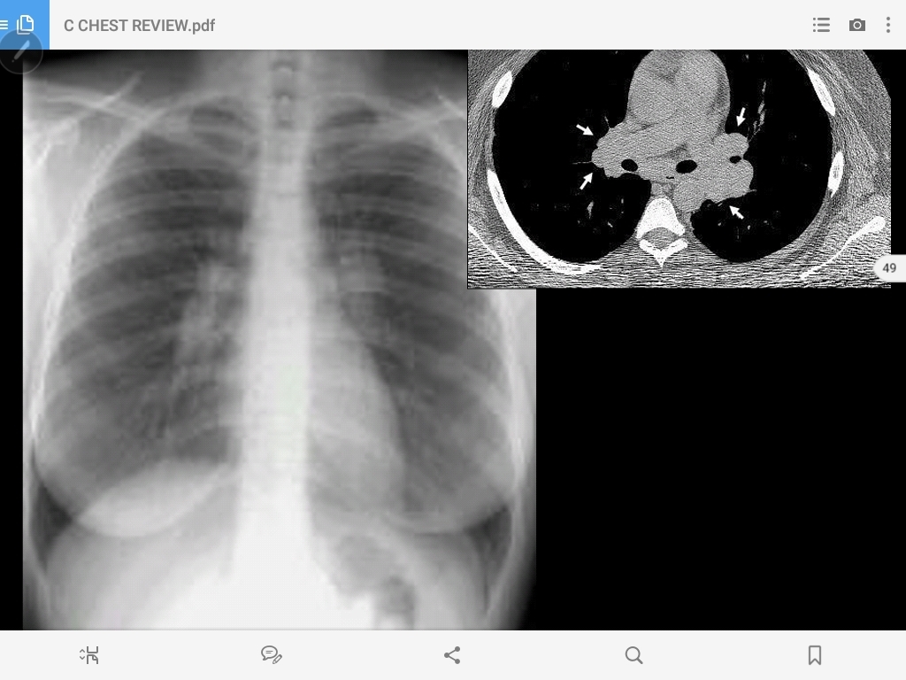
eggshell calcifications of the lymph node

sarcoidosis

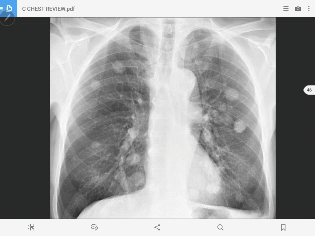
pulmonary metastasis

pancoast tumor

pancoast tumor

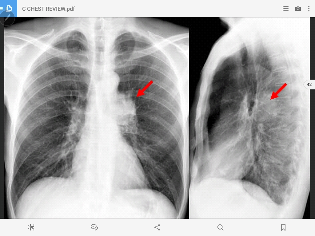
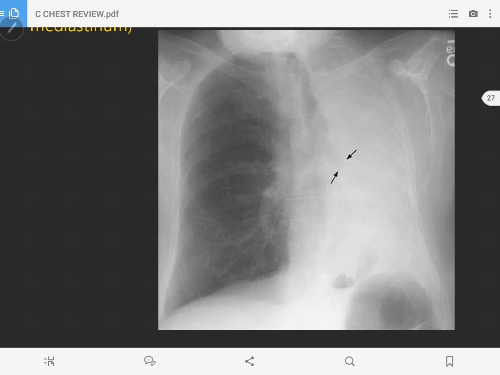
enlarged hilum (bronchogenic carincoma

enlarged hilum (bronchogenic carincoma)

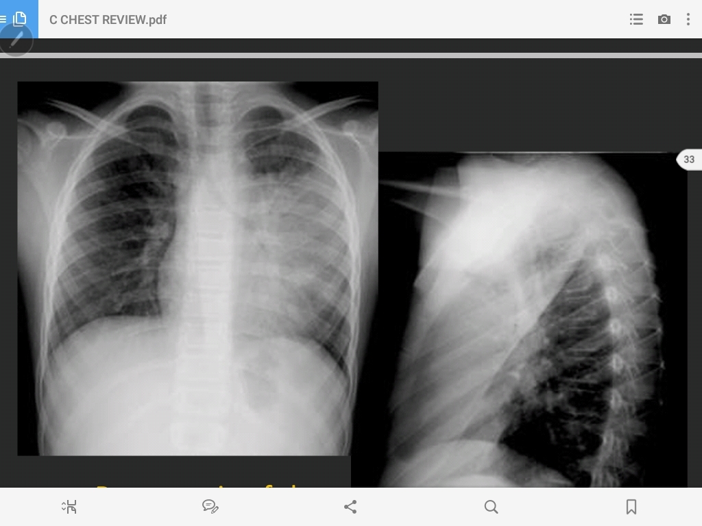
solitary pulmonary nodule over the left heart border

pleural effusion

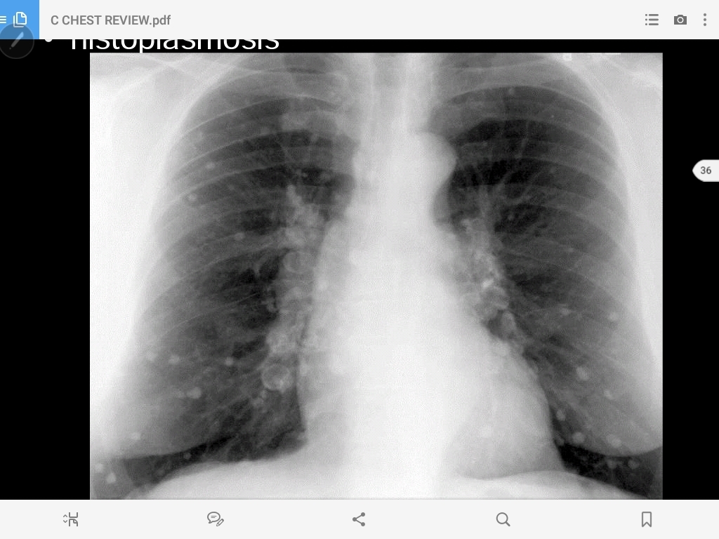
histoplasmosis

hilar lymph node enlargement and a peripheral granuloma (Ranke complex)

pneumonia of the left upper lobe

lingular pneumonia

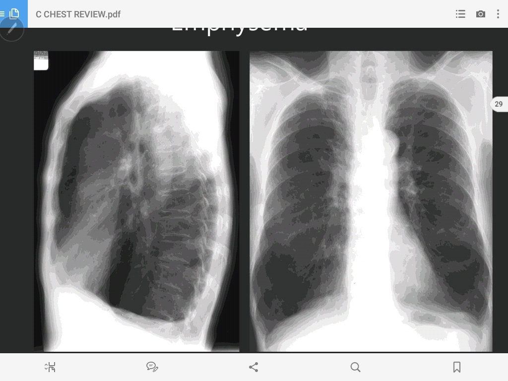
bullous emphysema

emphysema

emphysema

atalectasis of the left lung

RUQ atelectasis

hiatal hernia

hiatal hernia

emphysema

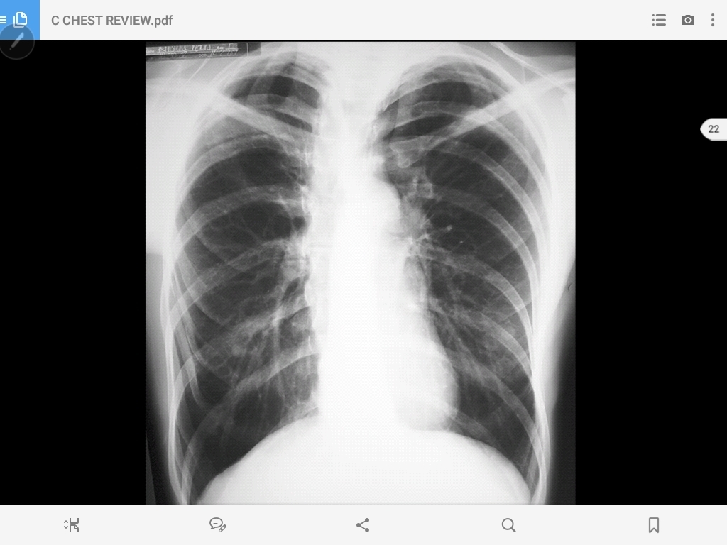
pectus excavatum

pneumothorax

pneumothorax