Imaging Flashcards

(13 cards)

1
Q

Name 1-6

A
  1. Greater trochanter
  2. Intertrochanteric crest
  3. Lesser trochanter
  4. Neck
  5. Head
How well did you know this?
1
Not at all
2
3
4
5
Perfectly
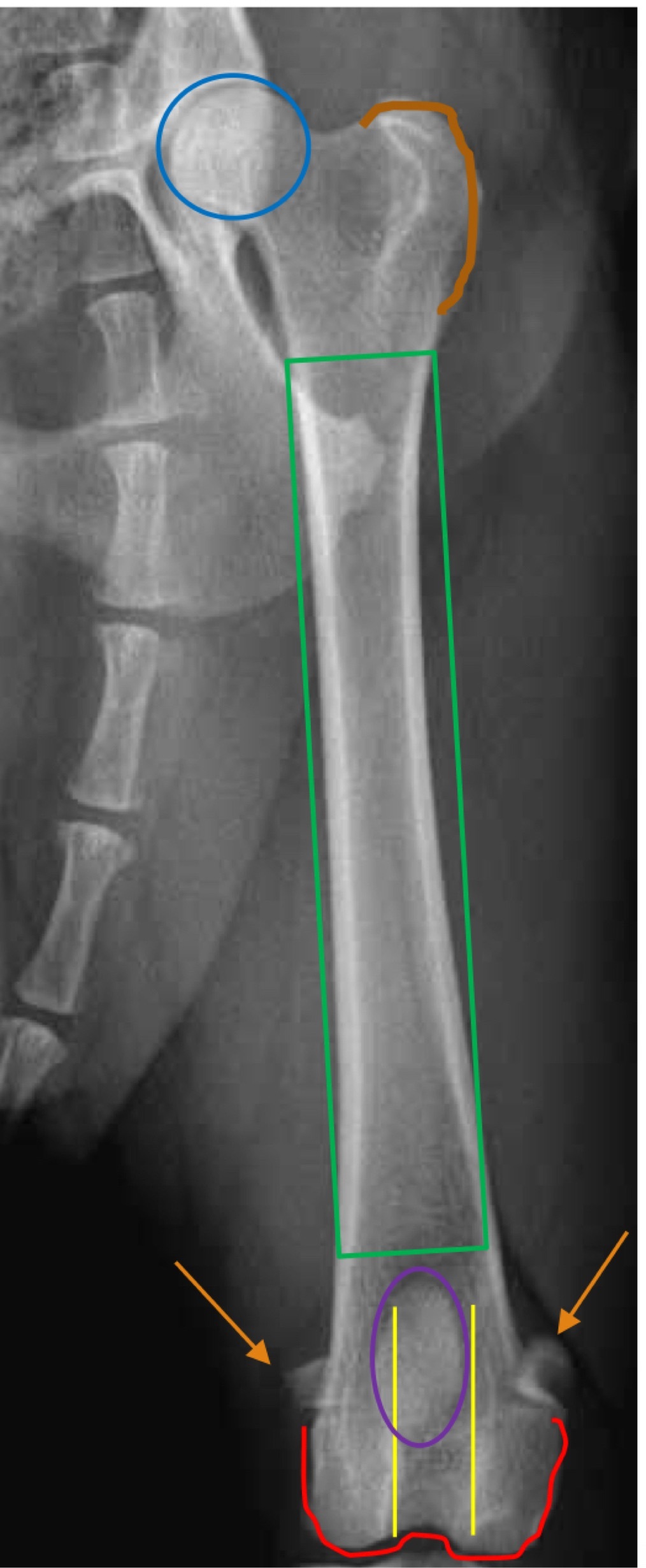
2
Q

Blue ?
Brown line
Green
Yellow
Red
Purple
Brown arrows

A

Blue- femoral head
Brown line- greater trochanter
Green- femoral shaft/ diaphysis
Yellow - femoral trochlea
Red- femoral condyle
Purple- patella
Brown arrows- fabellae

How well did you know this?
1
Not at all
2
3
4
5
Perfectly
3
Q

Blue
Brown line
Green
Yellow
Pink
Red
Blue arrow
Brown arrow

A

Blue- femoral head
Brown line - greater trochanter
Green- femoral shaft/diaphysis
Yellow- femoral trochlea
Pink- supracondylar tuberosity
Red- femoral condyle
Blue arrow- patella
Brown arrow- fabellae

How well did you know this?
1
Not at all
2
3
4
5
Perfectly
4
Q

Pink
Yellow
Green
Blue
Brown

A

Pink- Acetabular fossa
Yellow- lesser trochanter
Green- Greater trochanter
Blue- Trochanteric fossa
Brown- Ischiatic tuberosity

How well did you know this?
1
Not at all
2
3
4
5
Perfectly
5
Q

Brown
Pink
Red
Blue
Yellow
Green

A

Brown - iliac wing
Pink- iliac body
Red- hip joint
Blue- ischium
Yellow- pubis
Green- iliopubic eminence

How well did you know this?
1
Not at all
2
3
4
5
Perfectly
6
Q

CT is great at assessing

A

Bone
Tumors

How well did you know this?
1
Not at all
2
3
4
5
Perfectly
7
Q

CT
HU

A

Hounsfield units

How well did you know this?
1
Not at all
2
3
4
5
Perfectly
8
Q

Bright image on CT

A

Hyperattenuating

How well did you know this?
1
Not at all
2
3
4
5
Perfectly
9
Q

Dark image on CT

A

Hypoattenuating

How well did you know this?
1
Not at all
2
3
4
5
Perfectly
10
Q

Bright image on MRI

A

Increased signal intensity

How well did you know this?
1
Not at all
2
3
4
5
Perfectly
11
Q

Dark MRI

A

Decreased signal intensity

How well did you know this?
1
Not at all
2
3
4
5
Perfectly
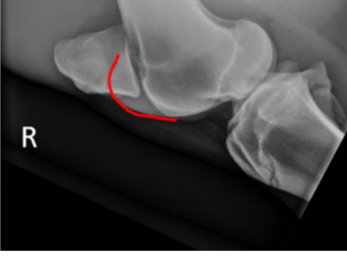
12
Q

What bony prominence is outlined in the image
A. Medial condyle
B. Lateral condyle
C. Medial trochlea
D.lateral Trochlea

A

C.

How well did you know this?
1
Not at all
2
3
4
5
Perfectly
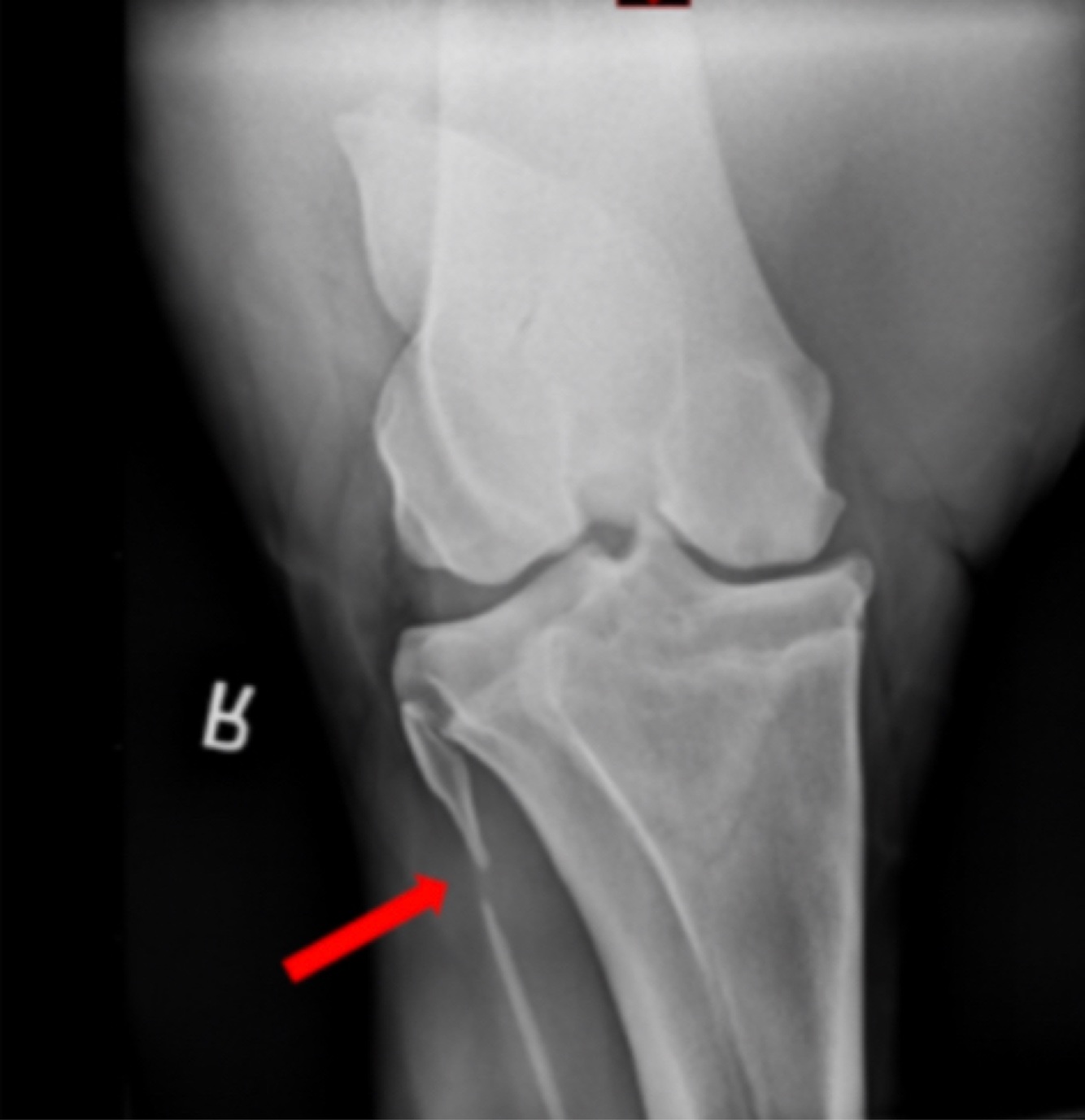
13
Q

Interpret the finding indicated by the arrow
A. Fracture
B. Incomplete ossification of the fibula
C. Bony lysis indicative of infection

A

B.

How well did you know this?
1
Not at all
2
3
4
5
Perfectly