Imaging Flashcards

(31 cards)

1
Q

An MRI of Bell’s palsy, may reveal ___.

A

An MRI of Bell’s palsy, may reveal contrast enhancement of the facial nerve.

How well did you know this?
1
Not at all
2
3
4
5
Perfectly
2
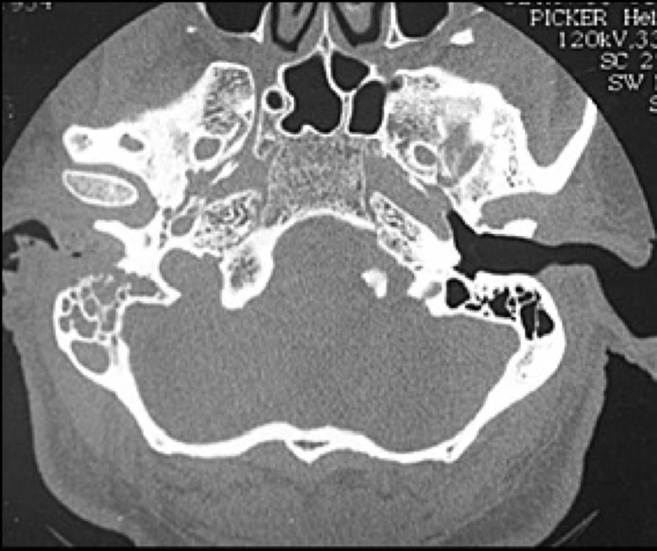
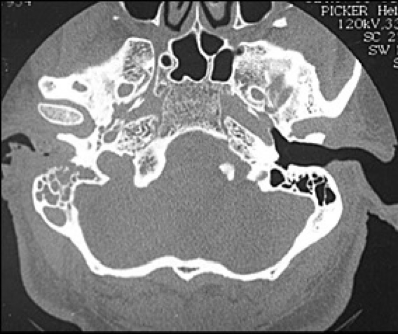
Q

57M w/presents for evaluation of R-pulsation tinnitus that has been present for several mos. An audiogram shows normal hearing on the L and a moderate CHL on the R. Otoscopy on the R is shown in the image. CT images are also shown below. What is the diagnosis?

A

Tympanic paraganglioma tumors (glomus tympanicum) - arises from glomus body of the promontory along Jacobson’s n.

How well did you know this?
1
Not at all
2
3
4
5
Perfectly
3
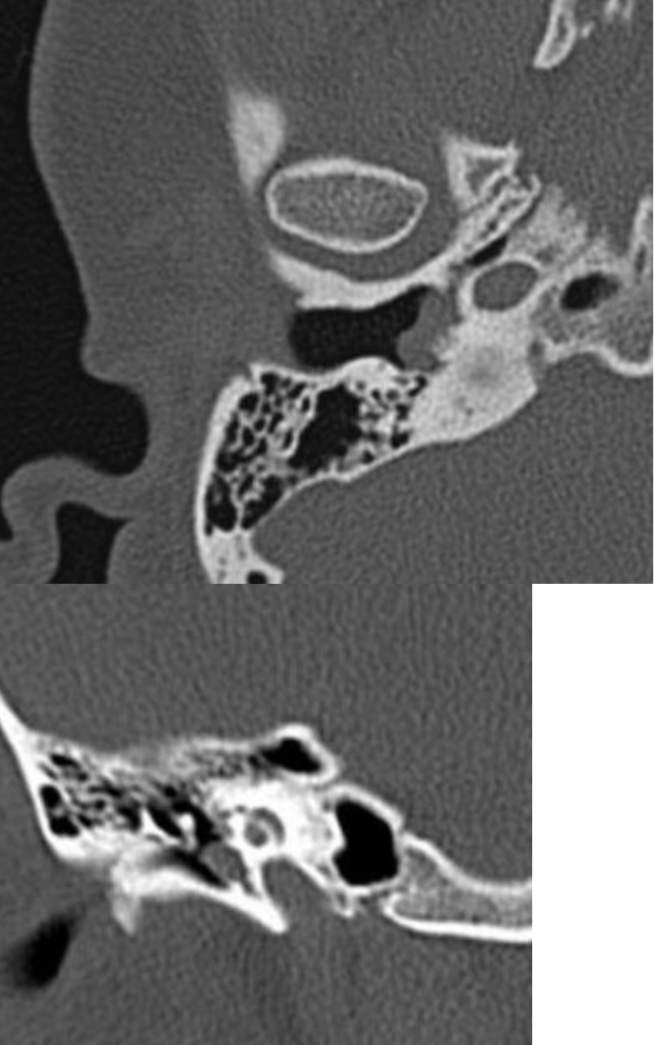
Q

57M w/presents for evaluation of R-pulsation tinnitus that has been present Xooms. An audiogram shows normal hearing on the L and a moderate CHL on the R. Otoscopy on the R is shown in the image. CT images are also shown below. What is the most reasonable next step in management of his ear mass?

A

The dx is made clinically, and next step is further imaging w/MRI (provides superior soft tissue and vascular resolution).

How well did you know this?
1
Not at all
2
3
4
5
Perfectly
4
Q

Tympanic paraganglioma tumors (glomus tympanicum) are typically confined to the ___.

A

Mesotympanum

How well did you know this?
1
Not at all
2
3
4
5
Perfectly
5
Q

The Mondini Malformation is an incomplete anomaly with:

  1. ___
  2. ___
  3. ___
A
  1. Enlarged vestibular aqueduct
  2. 1.5 turns of the cochlea (basal turn intact, w/apical turns absent)
  3. Dilated vestibule
How well did you know this?
1
Not at all
2
3
4
5
Perfectly
6
Q

ABR testing uses electrodes placed on the vertex and mastoid to detect electrical signal changes in response to unilateral auditory ‘clicks’.

The waves in ABR correspond to the following nerve structures:

I: ___
II: Proximal 8th CN
III: Cochlear nuclear/SOC
IV: SOC (superior Oliver’s complex)
V: Lateral lemniscus
VI, VII: Inferior colliculus

A

ABR testing uses electrodes placed on the vertex and mastoid to detect electrical signal changes in response to unilateral auditory ‘clicks’.

The waves in ABR correspond to the following nerve structures:

I: Distal 8th CN
II: Proximal 8th CN
III: Cochlear nuclear/SOC
IV: SOC (superior olivery complex)
V: Lateral lemniscus
VI, VII: Inferior colliculus

How well did you know this?
1
Not at all
2
3
4
5
Perfectly
7
Q

ABR testing uses electrodes placed on the vertex and mastoid to detect electrical signal changes in response to unilateral auditory ‘clicks’.

The waves in ABR correspond to the following nerve structures:

I: Distal 8th CN
II:
III: Cochlear nuclear/SOC
IV: SOC (superior Oliver’s complex)
V: Lateral lemniscus
VI, VII: Inferior colliculus

A

ABR testing uses electrodes placed on the vertex and mastoid to detect electrical signal changes in response to unilateral auditory ‘clicks’.

The waves in ABR correspond to the following nerve structures:

I: Distal 8th CN
II: Proximal 8th CN
III: Cochlear nuclear/SOC
IV: SOC (superior Oliver’s complex)
V: Lateral lemniscus
VI, VII: Inferior colliculus

How well did you know this?
1
Not at all
2
3
4
5
Perfectly
8
Q

ABR testing uses electrodes placed on the vertex and mastoid to detect electrical signal changes in response to unilateral auditory ‘clicks’.

The waves in ABR correspond to the following nerve structures:

I: Distal 8th CN
II: Proximal 8th CN
III:
IV: SOC (superior Oliver’s complex)
V: Lateral lemniscus
VI, VII: Inferior colliculus

A

ABR testing uses electrodes placed on the vertex and mastoid to detect electrical signal changes in response to unilateral auditory ‘clicks’.

The waves in ABR correspond to the following nerve structures:

I: Distal 8th CN
II: Proximal 8th CN
III: Cochlear nucleus/SOC
IV: SOC (superior Oliver’s complex)
V: Lateral lemniscus
VI, VII: Inferior colliculus

How well did you know this?
1
Not at all
2
3
4
5
Perfectly
9
Q

ABR testing uses electrodes placed on the vertex and mastoid to detect electrical signal changes in response to unilateral auditory ‘clicks’.

The waves in ABR correspond to the following nerve structures:

I: Distal 8th CN
II: Proximal 8th CN
III: Cochlear nucleus/SOC
IV:
V: Lateral lemniscus
VI, VII: Inferior colliculus

A

ABR testing uses electrodes placed on the vertex and mastoid to detect electrical signal changes in response to unilateral auditory ‘clicks’.

The waves in ABR correspond to the following nerve structures:

I: Distal 8th CN
II: Proximal 8th CN
III: Cochlear nucleus/SOC
IV: SOC (superior Oliver’s complex)
V: Lateral lemniscus
VI, VII: Inferior colliculus

How well did you know this?
1
Not at all
2
3
4
5
Perfectly
10
Q

ABR testing uses electrodes placed on the vertex and mastoid to detect electrical signal changes in response to unilateral auditory ‘clicks’.

The waves in ABR correspond to the following nerve structures:

I: Distal 8th CN
II: Proximal 8th CN
III: Cochlear nucleus/SOC
IV: SOC (superior Oliver’s complex)
V:
VI, VII: Inferior colliculus

A

ABR testing uses electrodes placed on the vertex and mastoid to detect electrical signal changes in response to unilateral auditory ‘clicks’.

The waves in ABR correspond to the following nerve structures:

I: Distal 8th CN
II: Proximal 8th CN
III: Cochlear nucleus/SOC
IV: SOC (superior Oliver’s complex)
V: Lateral lemniscus
VI, VII: Inferior colliculus

How well did you know this?
1
Not at all
2
3
4
5
Perfectly
11
Q

ABR testing uses electrodes placed on the vertex and mastoid to detect electrical signal changes in response to unilateral auditory ‘clicks’.

The waves in ABR correspond to the following nerve structures:

I: Distal 8th CN
II: Proximal 8th CN
III: Cochlear nucleus/SOC
IV: SOC (superior Oliver’s complex)
V: Lateral lemniscus
VI, VII:

A

ABR testing uses electrodes placed on the vertex and mastoid to detect electrical signal changes in response to unilateral auditory ‘clicks’.

The waves in ABR correspond to the following nerve structures:

I: Distal 8th CN
II: Proximal 8th CN
III: Cochlear nucleus/SOC
IV: SOC (superior Oliver’s complex)
V: Lateral lemniscus
VI, VII: Inferior colliculus

How well did you know this?
1
Not at all
2
3
4
5
Perfectly
12
Q

In a patient with atresia of the EAC, the FN tends to be dehiscent in the ___ segment and can overlie the ___.

A

In a patient with atresia of the EAC, the FN tends to be dehiscent in the tympanic segment and can overlie the oval window.

How well did you know this?
1
Not at all
2
3
4
5
Perfectly
13
Q

Imaging of infections that affect the EAC are generally used to assess for ___.

A

Malignant or necrotizing otitis externa.

How well did you know this?
1
Not at all
2
3
4
5
Perfectly
14
Q

Most likely diagnosis.

A

Malignant or Necrotizing otitis externa:

On CT - involves soft tissue swelling in the EAC/auricle w/bony erosion and osteomyelitis appearance of the inferior EAC.

How well did you know this?
1
Not at all
2
3
4
5
Perfectly
15
Q

An MRI of MOE or Necrotizing otitis externa will show ___ on T2W1?

A

Diffuse high signal in areas of cellulitis.

  • T1-weighted MRI enhances the signal of the fatty tissue and suppresses the signal of the water. T2-weighted MRI enhances the signal of the water
How well did you know this?
1
Not at all
2
3
4
5
Perfectly
16
Q

Inflammatory lesions of the EAC include:
1.
2. Medial canal fibrosis
3. Cholesteatoma

A

Inflammatory lesions of the EAC include:
1. Keratosis obturans
2. Medial canal fibrosis
3. Cholesteatoma

17
Q

Inflammatory lesions of the EAC include:
1. Keratosis obturans
2.
3. Cholesteatoma

A

Inflammatory lesions of the EAC include:
1. Keratosis obturans
2. Medial canal fibrosis
3. Cholesteatoma

18
Q

Inflammatory lesions of the EAC include:
1. Keratosis obturans
2. Medial canal fibrosis
3.

A

Inflammatory lesions of the EAC include:
1. Keratosis obturans
2. Medial canal fibrosis
3. Cholesteatoma

19
Q

The hallmark imaging finding of cholesteatoma, regardless of location, is ___.

A

Bony Erosion.

20
Q

Likely diagnosis?

A

The typical imaging finding associated w/EAC cholesteatoma is a homogeneous, erosive soft tissue mass in the inferior and posterior EAC, (w/scalloped bone and flecks of bone w/in the lesion in 50% of cases).

21
Q

Likely Diagnosis?

A

Keratosis obturans is an abnormal accumulation of keratinous debris w/in the EAC without erosive bony changes.

Imaging shows tissue filling the EAC, with an Intact TM.

22
Q

Diagnosis?

A

The typical finding of post-inflammatory medial canal fibrosis is that of soft tissue in the medial 1/3rd to 1/2 of the canal that is indistinguishable from the TM, w/o erosion or expansion of the bony ear canal.

23
Q

_____, a benign neoplasm of the EAC, are known as “surfer’s ear” frequently seen on imaging in some regions where cold water swimming is common.

They are almost always ___ and typically occur at the ___.

A

Exostoses.

Bilateral, and typically occur at the suture lines.

24
Q

___, a benign neoplasm of the EAC, are typically ovoid in shape and <1cm in size. They are asymptomatic, unilateral.

Diagnosis?

25
Malignant lesions of the EAC are typically limited to _____ and the occasional _____.
local SCCa; metastatic carcinoma to the region
26
EAC malignancies generally spare the ___, and cause regional mets to the parotid and neck, often >1cm in size.
Middle ear
27
Most vestibular schwannomas arise from the ___ nerve.
Inferior vestibular nerve (89%).
28
Imaging shows:
bilateral Enlarged Vestibular Aqueducts
29
Imaging shows:
bilateral Enlarged Vestibular Aqueducts
30
Imaging shows:
left Enlarged Vestibular Aqueduct
31
A 16-year-old female with bilateral progressive SNHL comes in for evaluation of cochlear implant. Her MRI is shown below. Her otologic condition predisposes her to what intraop complication?
**CSF gusher** *(The case above represents a patient with bilateral enlarged vestibular aqueduct (EVA). EVA is known to have an intraop incidence of CSF gusher. This condition can be associated with incomplete partition type II (IP-II) anomaly, but the other above intraop complications do not appear to be elevated)*