what do you look for a pathology in imaging?
midline, shift, asymmetry
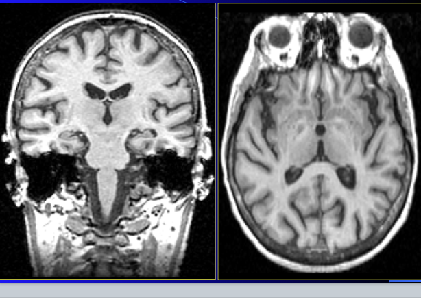
is this MRI, CT, XRay…
at what level?

CT
left: lateral ventricles so it is very superior
right: brainstem level (the eyeballs are present)
which will be anatomical: T1 or T2?
anatomical = white matter is white, grey matter is grey
T1 is anatomical
Is this T1 or T2?

T-1
is this T1 or T2?

T 1
is this T1 or T2?

T2
Which machine uses T1/T2?
MRI
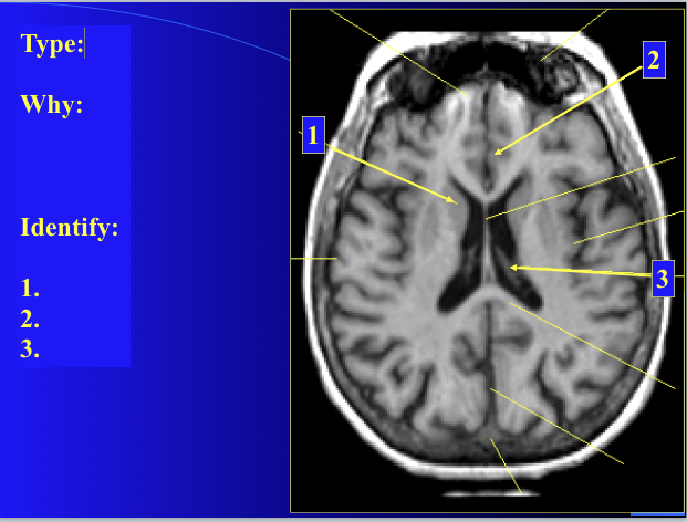
identify how the things look in the image


answer


answer

1) anterior commissure
2) interthalamic adhesion
3) third ventricle
4) spleneium
5) cingulate gyrus
answer


What is Flow Void?
In which imaging can you see it and how does it look?
Flowing blood (not bleeding) appears dark on a T2 but not on CT/T1.
answer


a bleed is always what color in all CT and MRI?
infarcts, tumors and MS plaque are dark in which?
MRI T1, MRI T2, CT
bright
T1 and CT
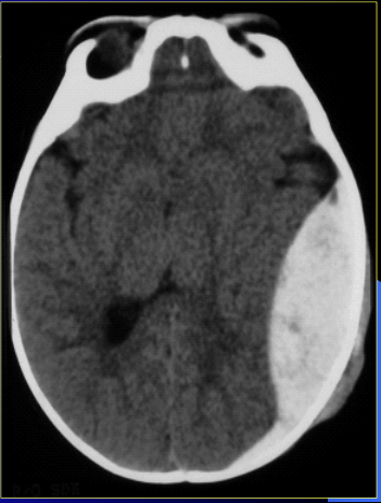
is this T1, T2, CT?
what is the pathology?

CT
epidural hematoma
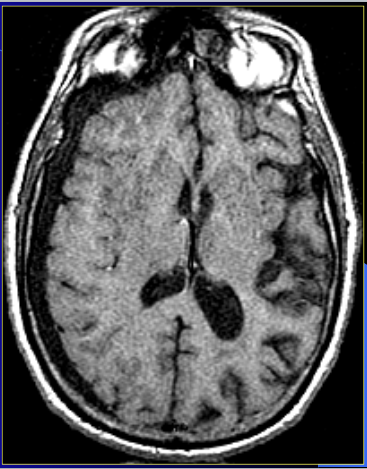
is this T1, T2, CT?
What is the pathology?

T1
sub-arachnoid bleed
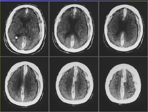
is this T1 or T2, or CT?
pathology?

T1
shaken baby = right is old blood, left is new blood
what 2 enhancement can you use for T2?
what do they do?
better resolution near the ventricles
what enhancements can be used for T1?
when do you use it?
what enhancements can we use for strokes?
just GAD for tumors
DWI and PWI
what is the pathology?
is this CT or MRI?
hemorrhage
CT
if someone has a hemmorrhage, what imaging is the best?
If someone has an infarct, is CT good for that?
CT
no
what is the pathology here?
what imagin is being used?

subdural hematomas
CT
what type of image?
what is the pathology?
what enhancement is used?

CT
stroke
DWI
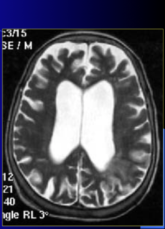
what type of image is this?
how do you know?
what is the enhancement?

T2
CSF is very bright
none