
cracks in IP

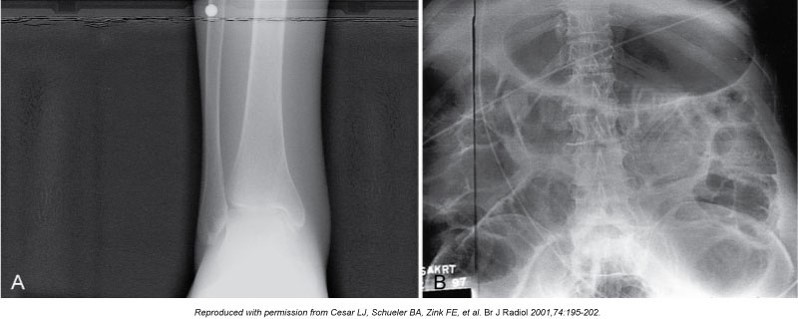
exposure through back of cassette

extranous line patterns by noise in the image reader

in ip reader with 2 IP loaded on same cassette

IP Artifact W BAckscatter

IP crack

moire grid lines positioning errors

moire grid lines runnng and laser scanning running parallel

mottle underexposure

residue of tape from tech markers

static demonstrates hair on IP