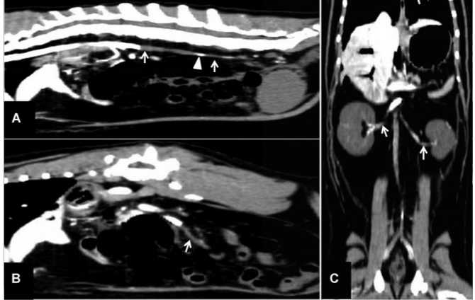
Adult feline presented for abdominal pain and dragging rear limbs.
What’s your diagnosis?

Multiple filling defects of the arterial system, including abdominal aorta, bilateral large infarcts to the kidneys as no contrast is present within them and cranial mesenteric artery.
Imaging diagnosis - Acute mesenteric ischemia secondary to HCM in a cat - VRU 56.4
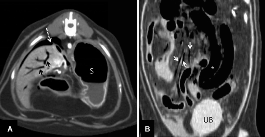
Adult cat presenting for abdominal pain and dragging rear limbs.

Portal venous gas within the liver
Peritoneal free gas
Gas within the mesenteric arteries
Severely distended, thin walled bowel loops
Imaging diagnosis - Acute mesenteric ischemia secondary to HCM in a cat - VRU 56.4.
What are differentials for causes of sclerosing encapsulating peritonitis?
What’s your diagnosis - sclerosing encapsulating peritonitis - JAVMA 247.1
Severe inflammation secondary to steatitis, fiberglass ingestion, bacterial peritonitis, leishmaniasis, mesothelioma, and in one study - secondary to neoplasia
Humans - beta blockers, peritoneal dialysis, abdominal trauma, asbestos, carcinoid syndrome
13y Fox terrier presented for vomiting, decreased appetite.
What are your findings? What’s your diagnosis? Recommended treatment?
Peritoneal fluid
Large, partially mineralized liver mass: Rule out neoplasia, abscess, hematoma, granuloma
Compartmentalized intestinal tract, surrounded by thick rim of tissue (capsule)
Recommendations: surgery to try and debride this encapsulation. Poor prognosis. Treatment: Steroids and tamoxifen to decrease fibrous formation.
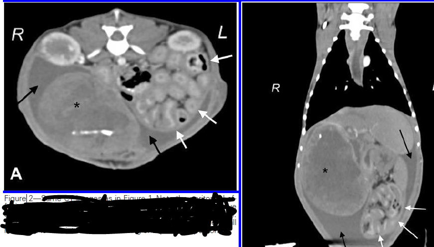
5m Pitty recently spayed and adopted from a shelter presented for recurrent abdominal effusion.
What are your findings? What is your diagnosis?
accumulation of homogeneous soft tissue opaque material within ventral abdomen with dorsal gathering of intestinal tract. Margins of abdominal organs are visualized except for bladder.
Sclerosing encapsulating peritonitis
Imaging diagnosis - sclerosing encapsulating peritonitis in a dog - VRU 2015 - Pre-published
5m Pitty spayed recently and adopted from shelter.
What are your findings? WHat is your diagnosis? Differentials?
Large volume of loculated fluid were noted in ventral abdomen that appeared separte from the abdominal contents (no flaoting or suspension of abdominal organs), Peritoneal lining was thickened.
In this case - trauma or due to spay? Other causes: foreign body ingestion, fiberglass ingestion, bacterial peritonitis, leishmaniasias, asbestos, steatitis, neoplasia
Sclerosing encapsulting peritonitis
How would you characterize these lesions on thsi diagram?
CT and MRI features of CVC segmental aplasia. JSAP 2009.

A - Normal
B - Right lateral cavo-right azygos shunt
C - Right medial, cavo-right azygos shunt
D - Aneurysmal right medial cavo-right azygos with isthmian connection to the azygos vein.
E - Split CVC right medial cavo-right azygos shunt
F - Dorsal cavo-r azygos continuation
G - Aneurysmal cavo-left azygos with shunting portal vessel
H - Split CVC aneurysmal cavo-left azygos shunt and shunting portal vessel.
on US you find a hyperechoic liver mass with extra blood supply. A CEUS is performed - images include the arterial, portal and venous phases.
What’s your differentials?
Arterial phase: markedly hyperenhancing (suggesting it has its own blood supply)
Portal and venous phase: hypoechoic to surrounding hepatic parenchyma.
Differentials: benign cholangiocellular adenoma (correct!), and malignant neoplasia - hepatocellular etc.
Imaging diagnosis - Cholangiocellular adenoma: CEUS findings in a benign tumor mimicking malignant neoplasia in a dog. VRU 54.1 (2013).
Using CEUS of a liver mass - what are general benign vs malignant characteristics?
Imaging diagnosis - Cholangiocellular adenoma: CEUS findings in a benign tumor mimicking malignant neoplasia in a dog. VRU 54.1 (2013).
Malignant: hypoechogenicity of lesions compared to normal liver during peak contrast enhancement (due to dual vasculature of the majority of the liver and lack of portal vessels in malignant disease)
Benign: variable phase during arterial phase, isoechoic to surrounding parenchyma in portal/late phases