Give 3 imaging methods.
CT. PET, MRI/fMRI
Computerized tomography uses:
X-ray
Positron emission tomography uses
radiation
Magnetic Resonant Tomography uses:
Magnetic fields
What do PET and fMRI both have in common?
They are Multiphoton microscopy
How does X-ray and radiography linked to CT? (3)
Laminography based upon rotation of source and detector,
Laminography at multiple planes produces polytomography
Radio beam and absorption (Different tissue has different absorption rate)
How does CT scan work?
Scanning with focused beam on thin layer of tissue. Show image according to absorption, Reconstruction by computer software
CT scan provides high _____________________ and is best for _____________________ and shows ______________
CT scan provides high spatial resolution and is best for bony structures and shows soft tissue better.
In CT scan, the contrast across different soft tissue is _____ as compared with MRI
low
What is the difference between regular X-ray and CT scan?
Regular x-ray shows the total absorption rate along the pathway of beam.
CT shows the absorption rate of any points along the pathway of the x-ray beam.
What is a collimator?
Acollimatoris a device that narrows a beam of particles or waves.
How can we increase the contrast in X-ray and CT?
Inject substance into body space and blood,
Increase absorption (opacification: filling space with material with larger X-ray attenuation
Iodinated compounds
Air injection—pneumoencephalography
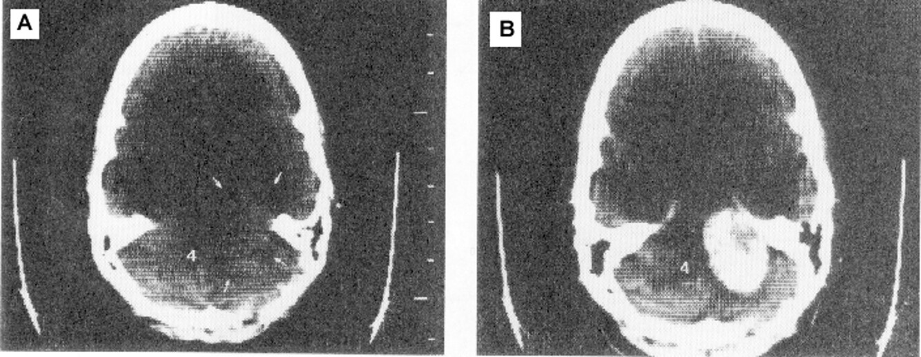
What does this image show?
Acoustic neuroma is shown in CT scan by enhancer dye injected
What do these images show?
Arterial phase (left) : abnormal course of arterial vessels to the inner ear
Venous phase (right): displacement of petrosal veins on the left
How does MRI work?
Atoms with odd protons spin -> micro atom magnetic fields
They can be aligned by external magnetic field
And excited by radio impulse at Larmor frequency to high energy status
Jumping from high to low energy status accomplished by radiation of weak signal
In MRI, different __________, different _________ -> _________ and offers better _____________________________
In MRI, Different tissue, different signals -> images and offer better resolution for soft tissues
What is Lamor Frequency?
Different tissue has a different nucleus so different Larmor Frequency (Natural Frequency)
What is occurring in this image?
High energy status returning to a low energy one accomplished with an emission of RF energy (at Larmor frequency)
Recovery to alignment and the status of losing phase (related to T1 and T2): T1: return to aliment, T2: return to random status without external MF.
What are the three status of atoms in magnetic fields?
In MRI, the emission is ________________________________ and provides _______________________________
The emission is picked up by the detector and provides information about the structure
How are images formed from MRI?
Release of RF is tissue (nucleus) specific, RF detected by receiving coils, Amplitude mapped by Fourier transformation, Image created by using the signal
What is the difference between T1 and T2 -weighted images?
T1>T2 (T2 relaxation is quicker than T1) for most the tissues
In T1 weighted time water appears _________
dark
What are two functional imaging technologies related to metabolism and blood flow?
FMRI and PET