What is the general causes of vesicles in a straight line?
Most often this is an exogenous cause like poison ivy etc. because the body doesn’t make straight lines
What is bullous diabeticoum?
Blisters arising on the palm from diabetes

What is a coma blister?
Blister that arises from long standing pressure, often associated with barbituate overdose

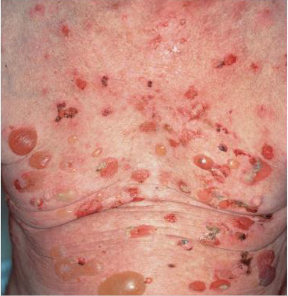
What is this?

Bullous Impetigo
What is this?

Edema blister - notice the redness and and inflammation in all the tissue surrouding the blister.
These non-blanching lesion were found on a patient. Is it possible that these are morbilliform lesions?

NO, morbilliform lesions blanch. This is a vasculitis.
What is this?

Bullous fixed drug reaction, notice the alteration of pigmentation around the blister
This patient has leukemia. What could this be?

Exuberant bug bite in a patient with leukemia
What is a key feature to distinguish bed bug bites from other types of bug bites?
Groups of 3 = bed bug bites, breakfast, lunch, and dinner

Cutaneous Mastocytoma - occurs in kids with mastocytosis

What is this?

Epidermolysis Bullosa - this kid was born with this
Autoimmune bullous diseases
• who do we usually see with this?
• what are some non-ideopathic causes?
Autoimmune bullous diseases typically occur in older people and is most often ideopathic, but may be associated with neoplasms.
Who shoud you suspect autoimmune blistering diseases in?
Suspect in patients with unexplained blisters, erosions, erosions or pain of mucous membrane, itchy rash that doesn’t respond to typical treatments.
What autoimmune blistering diseases do we need to know?
• which are most common?
Most Common:
Bullous Pemphigoid and Variants
Pemphigus Vulgaris and Variants
Dermatitis herpetiformis
Less Common:
Epidermolysis bullosa acquisita
Linear IgA bullous dermatosis
IgA pemphigus
Bullous systemic lupus erythematsus
What drug should you think of when you think of epidermolysis bullosa acquisita?
Vancomycin
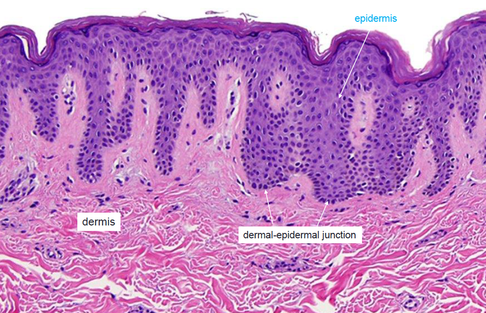
Normal Skin Histology

What do desmisomes connect?
• hemidesmisomes?
Desmisomes connect one keritinocyte to the other
Hemidesmosomes connect the basal cells to the basement membrane
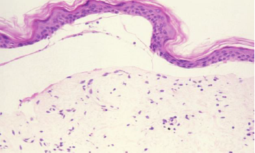
What autoimmune bullous disease is this?
How do you know?
What do you expect to see on histology?

Bullous Pemphigoid - differentiate from vulgaris on the basis of in tact vesicles that aren’t typically seen in pemphigus vulgaris
Histology should show the epidermis pulling away from the dermis (split at the EDJunction). Also eosinophilia is also common at the EDJ that is falling off.

What autoimmune disease is this?
• How will it present at onset?
• how will it progress?
• Mucous membrane involvment?

Bullous Pemphigoid often starts as a very itchy urticarial rash in a WOMAN between 68-82 or older that doesn’t resolve. It will then progress into tense blisters that are typically symetrically distributed ± erythema. Mucous membranes involved less than 20% of the time. have no known etiology or sometimes they’re paraneoplastic.
**Note while a small portion of these patients get mucous membrane involvment, I think SJS should be assumed with most patients with SJS**
What are the fluorescent antibodies in this picture targeting?
The bright layer is due to the staining of hemidesmosomes on IF the target antigens are BP180 and BP230
Bullous Pemphigoid 180 and 230.
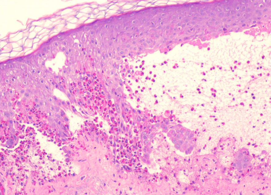
Is this SJS or Bullous Pemphigoid?
• how do you know?

While you see split at the EDJ in both disorders, there is eosinophilia here that is indicative of BP not SJS
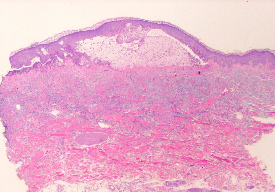
**Below is a zoomed out picture**

This person has had an itchy rash for weeks now and no etiology can be determined. What would probably be a reasonable next step to diagnose this patient?

He looks older so may fall in that 62-82 age bracket for BP. Do a biopsy and look for a band of IgG and C3 at the EDJ. Antibodies may or may not be present in the blood.
BP - HOW do you treat this disease?
• how persistent is it?

BP - treated with systemic steroids ± immunosuppressives
BP often lasts for several years then remits

BP

BP
