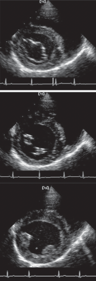
Name the echo view AND structures

RPS SHORT AXIS

Name the ECHO VIEW and STRUCTURES

RPS SHORT AXIS

Name the ECHO VIEW and STRUCTURES

RPS LONG AXIS

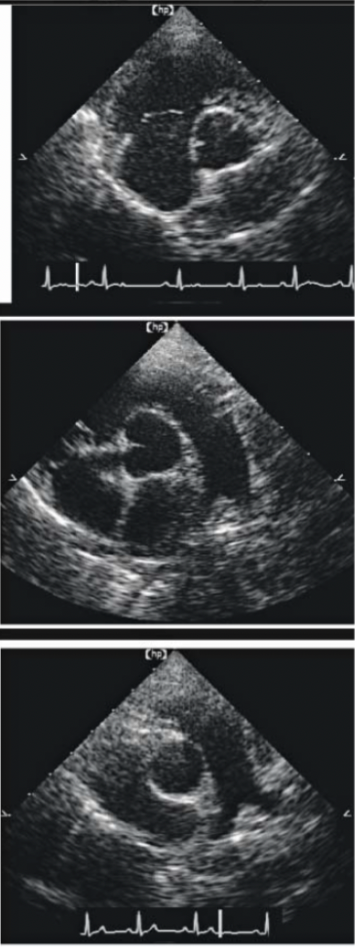
Name the ECHO VIEW and STRUCTURES

LPS SHORT AXIS

Name the ECHO VIEW and STRUCTURES

LPS LONG AXIS

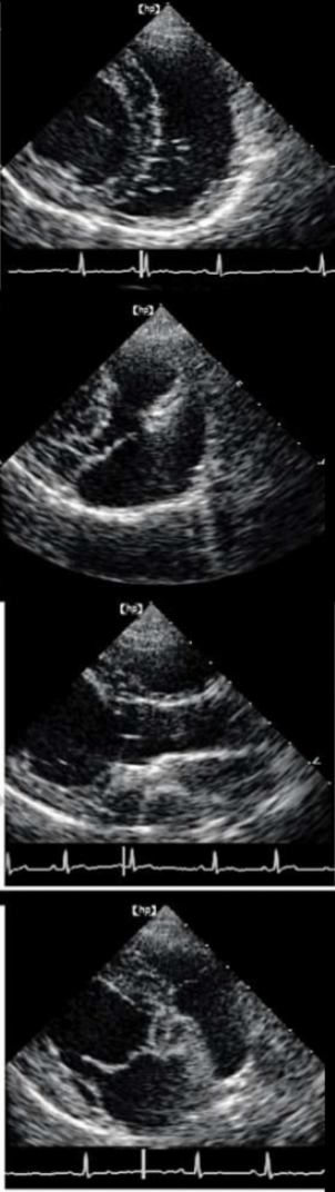
Name the ECHO VIEW and STRUCTURES

LEFT APICAL VIEWS
