INFLAMMATION - 1 Flashcards

(105 cards)

1
Q

L’inflammation peut avoir des effets bénéfiques et néfastes… que sont-ils

A

Bénéfiques : destruction de l’agresseur, limitation de lésions
Néfastes : pathologies

How well did you know this?
1
Not at all
2
3
4
5
Perfectly
2
Q

Peu importe la cause de l’inflammation ou le type d’inflammation (allergie, blessure etc). Les mécanismes sont les mêmes… lesquels

A

Oedème, rougeur, chaleur, douleur … peut avoir fièvre

How well did you know this?
1
Not at all
2
3
4
5
Perfectly
3
Q

La réaction inflammatoire est un processus dynamique comportant plusieurs étapes successives…

A

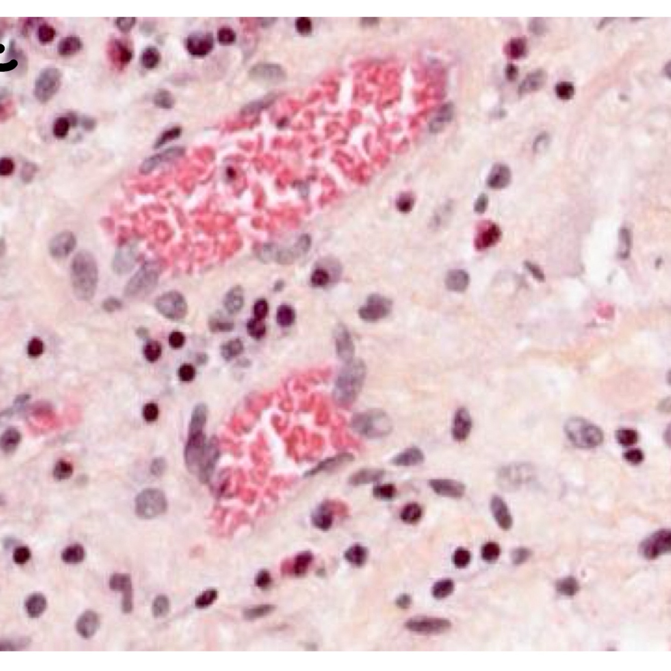
1- la réaction vasculo-exsudative : congestion active, oedème, diapédèse (sortie des leucocytes)
2 - la réaction cellulaire dans le tissu : détersion, tissu de granulation
3 - la phase terminale : réparation - cicatrisation

How well did you know this?
1
Not at all
2
3
4
5
Perfectly
4
Q

4 phénomènes surviennent lors de la phase vasculo-exsudative… lesquels

A

Vasodilatation
Augmentation de la perméabilité vasculaire - ce qui entraîne l’oedème
Margination des leucocytes

How well did you know this?
1
Not at all
2
3
4
5
Perfectly
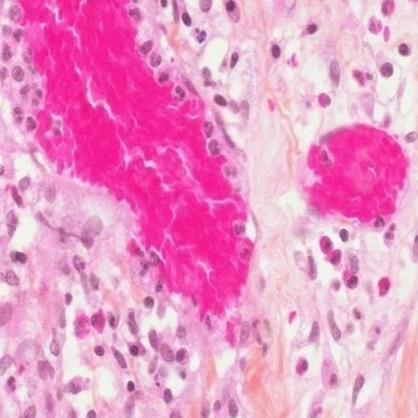
5
Q

À quel stade de la réaction inflammatoire correspond cette image

A

Détersion - élimination des agents pathogènes, des tissus nécrotiques. Formation du tissu de granulation

How well did you know this?
1
Not at all
2
3
4
5
Perfectly
6
Q

Qu’est-ce qui nous permet de dire que ce tissu est dans le 3e stade de la réaction inflammatoire - réparation et cicatrisation

A

Le collagène - produit par les fibroblastes

How well did you know this?
1
Not at all
2
3
4
5
Perfectly
7
Q

Tissus incapables de développer une réaction inflammatoire complète

A

Tissus dépourvus de vaisseaux (cartilage, cornée)

How well did you know this?
1
Not at all
2
3
4
5
Perfectly
8
Q

L’inflammation est la réponse des tissus VIVANTS vascularisés à une agression. Ce processus comprend deux types de phénomènes, lesquels

A

Phénomènes généraux/systémiques : fièvre, altération de l’état général très variable dans leur intensité

How well did you know this?
1
Not at all
2
3
4
5
Perfectly
9
Q

Fonction du tissu conjonctif

A

Assure le maintien

How well did you know this?
1
Not at all
2
3
4
5
Perfectly
10
Q

Type de tissu épithélial servant de barrière

A

Avasculaire

How well did you know this?
1
Not at all
2
3
4
5
Perfectly
11
Q

4 éléments qui se trouvent dans le tissu conjonctifq

A

Substance fondamentale, fibres collagène, cellules de passage (ex macrophages), cellules permanentes (fibroblastes)

How well did you know this?
1
Not at all
2
3
4
5
Perfectly
12
Q

L’inflammation a lieu au niveau de l’épithélium. V OU F

A

Faux, tissu conjonctif

How well did you know this?
1
Not at all
2
3
4
5
Perfectly
13
Q

Quelles muqueuses servent de barrières passives aux inflammations (3)

A

Digestive, respiratoire, urogénitale

How well did you know this?
1
Not at all
2
3
4
5
Perfectly
14
Q

En quoi est-ce que les substances chimiques peuvent servir de défenses passives pour prévenir l’inflammatrions

A

Éliminent l’agent étranger (ex. Larmes et sueurs)

How well did you know this?
1
Not at all
2
3
4
5
Perfectly
15
Q

En quoi est-ce que le microbiote intestinal, génital et cutané peut être une défense passive contre les inflammations

A

Les bactéries non pathogènes éliminent les éléments pathogènes

How well did you know this?
1
Not at all
2
3
4
5
Perfectly
16
Q

Facteur mécanique de défense passive qui filtre les microbes et la poussière dans le nez

A

Poils

How well did you know this?
1
Not at all
2
3
4
5
Perfectly
17
Q

Facteur mécanique de défense passive qui emprisonne (avec le mucus) et retire les microbes et la poussière des voies respiratoires supérieures

A

Cils

How well did you know this?
1
Not at all
2
3
4
5
Perfectly
18
Q

Les cils, les poils et la peau font partie de quel type de défense passive

A

Épithélium de surface

How well did you know this?
1
Not at all
2
3
4
5
Perfectly
19
Q

Étiologie de l’inflammation, exemple d’infection

A

Contamination par des micro-organismes

How well did you know this?
1
Not at all
2
3
4
5
Perfectly
20
Q

Étiologies de l’inflammation ; V OU F le mécanisme inflammatoire diffère en fonction de la cause (infection, agents physiques, agents chimiques, corps étrangers, défaut de vascularisation, agression dysimmunitaire)

A

Faux

How well did you know this?
1
Not at all
2
3
4
5
Perfectly
21
Q

V ou f, l’agent pathogène est toujours exogène

A

Faux, peut être endogène ou exogène

How well did you know this?
1
Not at all
2
3
4
5
Perfectly
22
Q

V ou f, une réaction inflammatoire = infection

A

Faux

How well did you know this?
1
Not at all
2
3
4
5
Perfectly
23
Q

La réaction inflammatoire est toujours la même, peu importe l’hôte

A

Faux

How well did you know this?
1
Not at all
2
3
4
5
Perfectly
24
Q

4 acteurs important dans l’inflammation

A

Cellules résidentes et de passage, vaisseaux, nombreux médiateurs chimiques qui transmettent des signaux aux différents effecteurs et globules blancs

How well did you know this?
1
Not at all
2
3
4
5
Perfectly
25
Monocyte, histiocyte, macrophage sont polynucléés, v ou f
Faux, mono
26
3 étapes successives de la réaction inflammatoire
Réaction vasculo-exsudative Réaction cellulaire La phase terminale
27
Dommage tissulaire et endothéliale activent…
Macrophages, mastocytes, cascade coag, activation des plaquettes, sécrétion de PAF
28
Responsables de la vasodilatation et de l’influx de sang
Histamine + PAF
29
Secrètent l’histamine
Mastocytes
30
La vasodilatation, causée par l’histamine (mastocytes) est une réaction des cellules endothéliales afin de …
Augmenter la perméabilité vasculaire
31
secrètent cytokines pour le recrutement des leucocytes puis activation de sélectines pour margination des leucocytes et diapédèse
Macrophages
32
Que permet la cascade de coagulation
Activation du complément, sécrétion de PAF (vasodilatation)
33
La réaction vasculo-exsudative se définit par une vasodilatation … puis une vasodilatation … dans la zone atteinte
Artériolaire puis capillaire
34
V ou f, la vasodilatation de la réaction vasculo-exsudative survient en quelques heures
Faux, quelques secondes
35
La congestion active est déclenchée par 3 éléments.. lesquels
Nerfs vasomoteurs, médiateurs chimiques : PAF, histamine, oxyde nitrique, relâchement des fibres musculaires lisses des vx
36
L’augmentation de l’apport sanguin est responsable de …
La rougeur et la chaleur
37
Le ralentissement circulatoire causé par la congestion active favorise…
La margination des leucocytes
38
La congestion active participe à l’augmentation de la perméabilité vasculaire. V ou F
Vrai
39
L’activation de la cascade de coagulation contribue à quoi
La formation de bradykinine (douleur) et active complément
40
Il y a plusieurs cellules dans le transudat. V ou f
Faux, dans l’exsudat (protéines plasmatiques)
41
Qu’est-ce qui peut récupérer le liquide (oedème) accumulé dans les amygdales (gros ganglion accompagnateur)
Système lymphatique (les macrophages par pinocytose)
42
Le complément est activé tard dans la réaction vasculo-exsudative. V ou f
Faux, très tôt
43
Par quoi se fait la limitation du foyer inflammatoire
Fibrine (fibrinogène palsmatique) - évite la diffusion de micro-organismes infectueux
44
Comment se fait le ralentissement du courant circulatoire ____concentration qui favorise la diapédèse leucocytaire
Hémoconcentration
45
Comment définir la diapédèse leucocytaire
Migration des leucocytes en dehors de la microcirculation et leur accumulation dans le foyer lésionnel
46
Nomme dans l’ordre les cellules intéressées par la diapédèse leucocytaire
Polynucléaires ensuite monocytes et ensuite lymphocytes
47
La diapédèse est une traversée passive des parois vasculaires. V ou f
Faux, active
48
Quelles sont les 3 étapes de la diapédèse leucocytaire
Margination, adhérence, passage trans-endothélial
49
Lors de la margination… les leucocytes plus lourds que les GR sont repoussés vers la paroi des vaisseaux. La vitesse du flux est maximale ou minimale
Minimale
50
Nomme les deux types d’adhérence
Réversible et irréversible
51
Mécanisme de la diapédèse
Accrochage faible via sélectines, après, intégrines de haute affinité (accrochage fort) vont aller s’accrocher à ICAM. Sortie des leucocytes par PECAM et migration dans le tissu conjonctif vers le site de l’inflammation
52
Type d’exsudat et caractéristiques
Séreux : Clair, protéines ++, peu de fibrine, peu de leucocytes, bonne résorption
53
Type d’exsudat et caractéristiques
Hémorragique GR, atteinte sévère rupture vasculaire
54
Type d’exsudat et caractéristiques
Purulent Crémeux, protéines++, fibrine ++ débris cell, neutrophiles ++ Cicatrices
55
Type d’exsudat et caractéristiques
Fibrineux Protéine ++ (fibrine) Résorption avec cicatrice ou abcès
56
La détersion par phagocytose… les phagocytoses sont représentés par deux types de cell, lesquels
Polynucléaires neutrophiles - bactéries et petites particules Macrophages - phagocytent les MACRO particules
57
Lorsque le complément aide à la phagocytose… ça s’appelle
L’opsonisation
58
Qu’entraîne la formation d’un phagolysosome
Fusion des membranes du phagosome et des lysosomes Entraîne la synthèse de radicaux libres + libération d’enzyme lysosomiales
59
Lorsqu’il y a formation d’un phagolysosome, cela entraîne la formation de radicaux libres et la libération d’enzymes lysosomiales… Parmi ces deux mécanismes, quel est celui indépendant vs dépendant de l’oxygène
Indépendant : libération d’enzymes lysosomiales du lysosome Dépendant : production d’oxydants ou radicaux oxygénés comme l’oxyde nitrique
60
V ou f, il y a des neutrophiles et d’autres polynucléaires lors de l’inflammation chronique
Faux, seulement au début
61
Qu’est-ce qui fait que la digestion (détersion par phagocytose) est complète ou incomplète
Si les résidus sont rejetés hors de la cellule - peut augmenter les lésions sur le site inflammatoire, car contiennent des enzymes lyso et des radicaux oxyg.
62
Que comporte le bourgeon charnu=tissu de granulation en histo
Leucocytes, fibroblastes, myofibroblastes, néo-vaisseaux sanguins
63
Guérison par première intention =
Lésion mince et profonde, ré épithélisation rapide, très peu d’écartement
64
Lésion large, surface de réépithélialisation = importante et réduit la vitesse de guérison… =
Guérison par seconde intention
65
Le tissu de granulation évolue au cours du temps… comment en fonction du collagène, des cellules inflammatoires et des vaisseaux et en volume
+++ fibres collagènes - - - cellules inflammatoires et en vaisseaux - - - volume (action contractile des myofibroblastes)
66
Le bourgeon charnu peut évoluer vers deux choses… lesquelles
Cicatrice Reconstruction d’un tissu conjonctif identique au tissu préexistant à l’inflammation
67
L’épithélium regénère du centre vers la périphérie. V ou f
Faux, périphérie vers le centre ù
68
La cicatrice est fonction de
L’intensité de la destruction tissulaire
69
La force de la cicatrice est due à quoi
Collagène
70
La récupération - lors de la résolution / cicatrisation peut être retardée par deux types de facteurs…
Locaux : stress mécanique, apport de sang, dénervation Systémiques : âge, anémie, malnutrition, drogues, diabète
71
On atteint 80% de la force de la cicatrice après combien de temps
3 mois
72
Hypertrophie du tissu conjonctif par épaississement des travées collagènes
Chéloide
73
Quelles sont les cellules différenciées terminales incapable de division ? Pas de potentiel de régénération
Neurones, cellules musculaires, myocytes
74
Cellules différenciées quiescentes (non réplicatives, mais peuvent être activées)
Foie, rein, pancréas, endothélium
75
Cellules se divisant continuellement
Peau
76
Qu’est-ce qui cause la réaction systémique de la fièvre (à partir de la diapédèse leucocytaire)
Diapédèse leucocytaire - induction de cytokines - favorise formation de COX 2 - COX 2 catalyse l’acide arachidonique pour la formation de prostaglandine - prostaglandine agit sur l’hypothalamus (centre thermorégulateur) - augmentation de la chaleur corporelle - fièvre
77
L’inflammation aigue immédiate qui a comme acteurs : mastocytes, polynucléaires neutrophiles, macrophages est quel type d’immunité
Innée - processus non spécifique
78
L’inflammation chronique tardive est un procesus spécifique… c’est de l’immunité adaptative. Quels sont les acteurs
Macrophages, lymphocytes T et B, réponse immunitaire cellulaire et humorale
79
Lymphocytes helper des LB
Lymphocytes T4
80
Comment se passe l’immunité adaptative en cas d’inflammation
CPA - LT4 : 1) immunité cellulaire via LT CD8 cytotoxiques - destruction/action en fonction de l’agent pathogène 2) immunité humorale via LB - plasmocytes - sécrétion immunoglobulines
81
Commutation de classe
1e plasmocyte : sécrétion d’IgM ensuite, présentation de l’agent pathogène aux LT4 (helper), ensuite réponse spécifique (sécrétion des immunoglobulines appropriés)
82
Deux types de pneumopathie… nomme les différences
Pneumopathie aigue vs pneumopathie chronique Aigue : architecture conservée vs chronique : architecture modifiée - fibrose = lâche Aigue : inflammation à PN neutrophiles et macrophages vs chronique : inflammation à lymphocytes, plasmocyte, macrophages Aigue : vasodilatation capillaire vs chronique : pas de vasodilatation
83
Hépatite aigue ou chronique
Aigue Infiltrat PN neutrophiles Architecture normale
84
Hépatite chronique Infiltrat : lymphocytes, plasmocytes. Type d’architecture et qu’observe-t-on en bleu ?
Fibrose mutilante Fibrose = cirrhose
85
Type d’inflammation
Chronique, granulomateuse Caractéristiques : macrophages - noyaux allongés formant un nodule, entouré de lymphocytes ou de plasmocytes, nécrose (fantôme de cellule)
86
Qu’est-ce qui peut causer une inflammation chronique granulomateuse
Dépend de l’agent pathogène… doit être intracell ex tuberculose OU Corps étrangers trop gros pour être phagocytés
87
Nomme trois médiateurs CELLULAIRES de l’inflammation préformés dans des granules pour une action immédiate
Sérotonine Histamine Enzymes lysosomiales
88
Nomme 5 médiateurs CELLULAIRES de l’inflammation nouvellement synthétisés dans des granules pour une action immédiate
Prostaglandines, leukotriènes, PAF, dérivés oxydés NO, cytokines
89
Nomme trois médiateurs du FOIE de l’inflammation libérés inactifs dans le sang et activés secondairement au SITE de l’inflammation
Facteur XII (activé par endothélium lésé, coagulation, hémostase) Kinines (BK) Complément (protéines activées en cascade)
90
Précurseur de la bradykinine et cascade
Facteur XIIa. Augmentation de calcium intracell via cascade (récepteur couplé à la protéine G) - augmentation des PPSE (plus de décharge et donc + douleur) ET augmentation de calcium active eNOS - production de NO et diffusion pour relâchement musculaire et vasodilatation
91
Système du complément, 3 modes d’activation et mécanisme d’action
Voie alternative (agents pathogènes), voie des lectines, voie classique (facteur XII) Le complément participe à l’opsonisation et phagocytose. + CAM - complexe d’attaque membranaire (permet de perforer la membrane cellulaire) Complément = important pour la destruction
92
Protéine importante synthétisée dans le foie libérée dans le sang à l’état inactif et qui témoigne de la présence d’une inflammation
Protéine C
93
Source sérotonine
Plaquettes
94
Rôle de la sérotonine
Augmentation de la perméabilité vasculaire
95
Types de granules pour les enzymes lysosomales
Petites (relâche extracell) et grandes (phagolysosome)
96
Métabolites de l’acide arachidonique
Prostaglandines, leucotriènes (médiateurs CELLULAIRES nouvellement synthétisés)
97
AA est un acide gras de 20 carbones situé dans les membranes cellulaires. C’est activé par quelle enzyme
Phospholipase A2
98
Nomme les polypeptides sécrétés par lymphocytes et macrophages activés qui sont impliqués dans la modulation de la réponse immunitaire, servent de messagers chimiques, chimiotactisme, participent à la formation de protéines de l’inflammation, vaisseaux : migration, diapédèse, activation cellulaire, afflux cellulaire, participent à la fièvre, ce sont des cytokines majeures PRO-INFLAMMATOIRE
TNFalpha, IL-1 et IL-8
99
Les cytokines augmentent ou diminuent la quantité de glucose et d’acides gras dans le sang
Augmentent - leukocytes ont besoin d’énergie pour leur fonctionnement
100
Rôle du PAF
Agrégation des plaquettes (hémostase) Vasocontriction ou vasodilatation en faible dose Augmentation de la perméabilité vasculaire
101
Le PAF est uniquement présent à la fin de l’inflammation
Faux, tous les stades
102
PAF est plus puissant ou moins puissant que l’histamine
Plus (100 à 10 000 fois)
103
Rôle des dérivés réactifs de l’oxygène
Vasodilatation, diminuer l’inflammation : adhésion et recrutement, microbicide
104
Source PAF
Leucocytes, mastocytes
105
Source leucotriène