Inflammation Flashcards

(16 cards)

1
Q

what is the 1st cell to become activated?

A
  • mast cells
  • granules = histamine and heparin
  • after 30 min, leukotrienes
How well did you know this?
1
Not at all
2
3
4
5
Perfectly
2
Q

name the 3 major components of acute inflammation

A
  1. vascular dilatation: relaxation of vascular smooth muscle leads to engorgement of tissue with blood (hyperemia)
  2. enodthelial activation: increased endothelial permeability allows plasma proteins to “leak” into tissues; expression of adhesion molecules on the endothelial surface causes neutrophil adherence; production of factors that cause vascular dilatation
  3. neutrophil activation and migration: expression of complementary adhesion molecules; increased motility - emigration from vessels into tissue
How well did you know this?
1
Not at all
2
3
4
5
Perfectly
3
Q

name the inflammatory chemical mediators

A
  • complement components C5a and LTB4
    • neutrophils migrate towards higher concentrations of these agents (chemotaxis)
  • leads to early formation of exudate
    • neutrophil, plasma, fibrinogen
How well did you know this?
1
Not at all
2
3
4
5
Perfectly
4
Q

name compounds involved in vasodilation,

A
  • vasodilation
    • histamine
    • bradykinins
    • prostaglandins
    • NO
  • endothelial activation
    • serotonin
    • histamine
    • bradykinin
  • neutrophil activation and migration
    • C5a
    • LTB4
How well did you know this?
1
Not at all
2
3
4
5
Perfectly
5
Q

describe opsonization

A
  • neutrophils play an important role in destruction of microorganisms; phagocytosis of organisms is promoted by a coating of immunoglobulin and complement factors called opsonization
How well did you know this?
1
Not at all
2
3
4
5
Perfectly
6
Q

describe suppurative or purulent inflammation

A
  • the exudate in purulent inflammation is rich in neutrophils; this commonly results from bacterial infection
    • pus = semi-liquid containing neutrophils, fluid and necrotic tissue
  • bacteria that promote purulent inflammation = pyogenic bacteria
How well did you know this?
1
Not at all
2
3
4
5
Perfectly
7
Q

describe fibrinous inflammation

A
  • the exudate in fibrinous inflammation has a high plasma protein content
  • fibrinogen, a plasma protein, is converted to fibrin and deposited in tissues
  • usually associated with serous membrane-lined cavities (pleural, pericardial, peritoneal)
How well did you know this?
1
Not at all
2
3
4
5
Perfectly
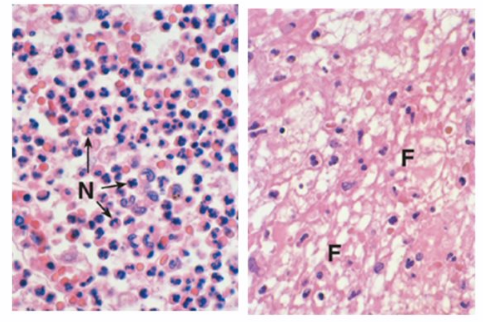
8
Q

contrast the 2 images

A

left = suppurative/purulent inflammation

right = fibrinous inflammation

How well did you know this?
1
Not at all
2
3
4
5
Perfectly
9
Q

describe serous inflammation

A
  • the main tissue component is accumulation of fluid with a low plasma protein and cell content (transudate)
  • transudate: specific gravity <1.012 or protein content <25g/L
  • exuate: specific gravity >1.02 or protein content >25g/L
How well did you know this?
1
Not at all
2
3
4
5
Perfectly
10
Q

name the 4 outcomes of acute inflammation

A
  • resolution
  • healing by fibrosis
  • abscess formation
  • progression to chronic inflammation
How well did you know this?
1
Not at all
2
3
4
5
Perfectly
11
Q

describe resolution

A
  • complete restitution of normal tissue architecture and function; can only occur when the CT framework is intact and the tissue has the capacity to regenerate
  • neutrophils and necrotic tissue are removed by phagocytosis (macrophages) which leave the tissue via the lymph drainage
  • ex: following pneumonia, recovery from sunburn
How well did you know this?
1
Not at all
2
3
4
5
Perfectly
12
Q

describe healing by fibrosis

A
  • occurs with substantial damage to CT framework and/or in tissues that lack ability to regenerate specialized cells
  • necrotic debris and acute inflammatory exudate are first removed by macrophages
  • the defect becomes filled by ingrowth of granulation tissue (organization)
  • granulation tissue is gradually replaced by collagen to form a fibrous (collagenous) scar
  • structural integrity is re-established
How well did you know this?
1
Not at all
2
3
4
5
Perfectly
13
Q

describe abscess formation

A
  • acute inflammatory response fails to destroy/remove the cause of tissue damage; continues, usually with a component of chronic inflammation
  • acute inflammation progresses producing liquefaction of tissue to form pus
How well did you know this?
1
Not at all
2
3
4
5
Perfectly
14
Q

describe chronic inflammation

A
  • cells in chronic inflammation:
    • lymphocytes
    • macrophages
    • plasma cells
    • eosinophils
    • fibroblasts
  • FMLEP
How well did you know this?
1
Not at all
2
3
4
5
Perfectly
15
Q

describe a granuloma

A
  • granulomas form when the immune system attempts to wall off substances that it perceives as foreign but is unable to eliminate
  • it is a collection of macrophages in an organized formation
    • they fuse to form multinucleated giant cells (Langerhans giant cell)
      • ​reffered to as epithelioid
How well did you know this?
1
Not at all
2
3
4
5
Perfectly
16
Q

contrast Langerhan giant cells and foreign body giant cell

A
  • Langerhan giant cell: surround bacteria, organism, protozoa
  • foreign body giant cell: surround foriegn object (glass splinter, suture)