Inflammation Microscope Lab Flashcards

(23 cards)

1
Q

What is a perulis?

A

terminal end of a sinus tract
- leaks pus

How well did you know this?
1
Not at all
2
3
4
5
Perfectly
2
Q

What is the predominate cell type?

A

neutrophils

How well did you know this?
1
Not at all
2
3
4
5
Perfectly
3
Q

What is the predominate cell type in acute inflammation?

A

neutrophils

How well did you know this?
1
Not at all
2
3
4
5
Perfectly
4
Q

What is the predominate cell type in pus?

A
How well did you know this?
1
Not at all
2
3
4
5
Perfectly
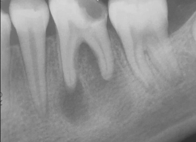
5
Q
A

periapical radiolucency
- tooth also has a carious lesion

How well did you know this?
1
Not at all
2
3
4
5
Perfectly
6
Q

What does the histology look like for a periapical abscess?

A
  • mostly neutrophils
How well did you know this?
1
Not at all
2
3
4
5
Perfectly
7
Q

What can a periapical radiolucency be?

A
  • periapical abscess
  • periapical granuloma
  • periapical cyst
How well did you know this?
1
Not at all
2
3
4
5
Perfectly
8
Q

What does the histology look like for a periapical granuloma?

A
  • connective tissue with many types of inflammatory cells
  • macrophages
  • plasma cells
  • neutrophils
  • lymphocyte
  • DO NOT SEE EPITHELIUM
How well did you know this?
1
Not at all
2
3
4
5
Perfectly
9
Q

What does the histology look like for a periapical cyst?

A
  • Epithelium!!
  • macrophages
  • plasma cells
  • some neutrophils
How well did you know this?
1
Not at all
2
3
4
5
Perfectly
10
Q

What is the main difference between a periapical abcess, granuloma, and cyst?

A

abscess - mostly neutrophils

granuloma - NO epthelium and mix of inflammatory cells

cyst - epithelium and mix of inflammatory cells

How well did you know this?
1
Not at all
2
3
4
5
Perfectly
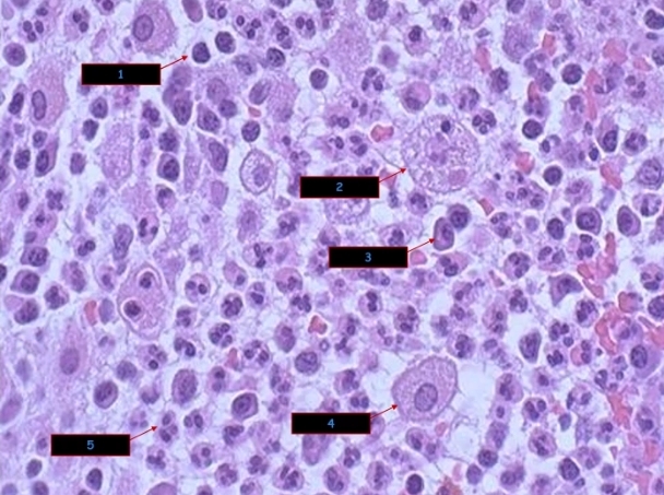
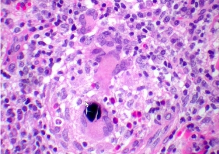
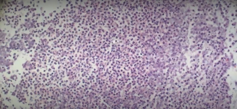
11
Q
A
  1. lymphocyte
  2. macrophage
  3. plasma cell
  4. macrophage
  5. neutrophil
How well did you know this?
1
Not at all
2
3
4
5
Perfectly
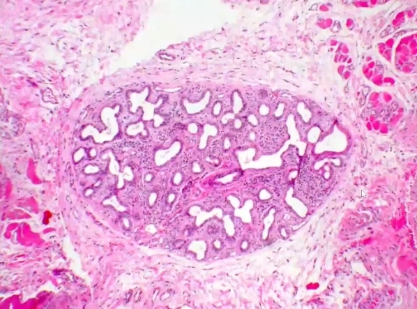
12
Q

What happens to a salivary gland if inflammation is present?

A
  • ducts are enlarged
  • acinar tissue is gone
How well did you know this?
1
Not at all
2
3
4
5
Perfectly
13
Q

How does this photo of salivary gland tissue change if inflammation is present?

A
How well did you know this?
1
Not at all
2
3
4
5
Perfectly
14
Q

What are examples of infectious granulomas?

A

fungi
certain bacteria

How well did you know this?
1
Not at all
2
3
4
5
Perfectly
14
Q

What are the different types of granulomatous inflammation?

A
  • infectious granulomas
  • immune granulomas
  • foreign body granulomas
How well did you know this?
1
Not at all
2
3
4
5
Perfectly
15
Q

What happens in granulomatous inflammation?

A
  • pattern of chronic inflammation
  • aggregates of epitheliod macrophages
  • multinucleated giant cells
  • mononuclear leukocytes principally lymphocytes and plasma cells
  • fibrosis variable
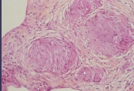
16
Q

What is this and what are the big cells?

A
  • sarcoidosis: non-caseating granuloma
  • multinucleated giant cells
17
Q

What is sarcoidosis?

A

a systemic disease that affects the salivary glands

18
Q

What are examples of different types of foreign body granulomas?

A
  • suture material
  • dental restorative material
  • vegetable material
19
Q

What is this an example of?

A

foreign body gingivitis

20
Q

What type of tissue is this?

A

granulation tissue

21
Q

Granulation tissue and granulomatous tissue are the same or different?

22
Q

What are different terms that use the work “granuloma” but are not granulomatous tissue?

A
  • pyogenic granuloma
  • dental granuloma
  • peripheral giant cell granuloma
  • central giant cell granuloma