Integument Flashcards

(22 cards)

1
Q

Epidermis

A

Superficial layer of skin

How well did you know this?
1
Not at all
2
3
4
5
Perfectly
2
Q

Dermis

A

Deep to the epidermis

How well did you know this?
1
Not at all
2
3
4
5
Perfectly
3
Q

Dermal papilla

A

The inner humps of the waves

How well did you know this?
1
Not at all
2
3
4
5
Perfectly
4
Q

Epidermal ridges

A

The dips

How well did you know this?
1
Not at all
2
3
4
5
Perfectly
5
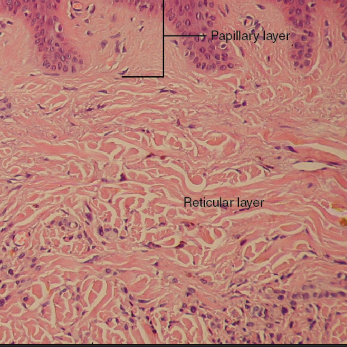
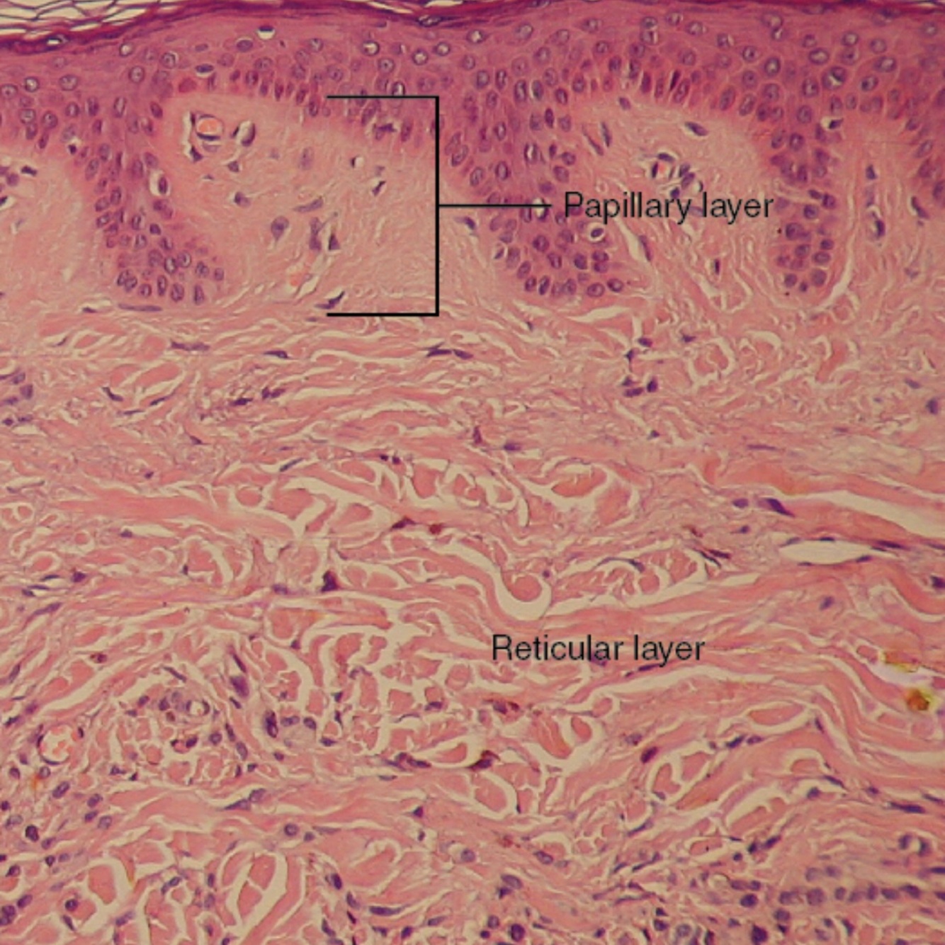
Q

Papillary layer

A

Upper 1/3 of the dermis
*is areolar connective tissue

How well did you know this?
1
Not at all
2
3
4
5
Perfectly
6
Q

Reticular Layer

A

Lower 2/3 of the dermis
*is dense irregular tissue

How well did you know this?
1
Not at all
2
3
4
5
Perfectly
7
Q

Subcutaneous Layer

A

*NOT a layer of the skin
*hypodermis
*mostly blood vessels and adipose

How well did you know this?
1
Not at all
2
3
4
5
Perfectly
8
Q

Hair shaft

A

Visible part of the hair

How well did you know this?
1
Not at all
2
3
4
5
Perfectly
9
Q

Meisnner’s Corpuscle

A

*found in the dermal papilla
*for touch (receptor)

How well did you know this?
1
Not at all
2
3
4
5
Perfectly
10
Q

Sebaceous Gland

A

*secretes an oily substance called sebum

How well did you know this?
1
Not at all
2
3
4
5
Perfectly
11
Q

Sebum

A

*Waterproofs hair and skin
*makes the hair pliable
*inhibits bacterial growth

How well did you know this?
1
Not at all
2
3
4
5
Perfectly
12
Q

Arrector pili muscle

A

*muscle that stands the hair
*causes goosebumps

How well did you know this?
1
Not at all
2
3
4
5
Perfectly
13
Q

Lamellated Corpuscle

A

For pressure

How well did you know this?
1
Not at all
2
3
4
5
Perfectly
14
Q

Eccrine Sweat gland

A

Is exocrine because of the duct
*everywhere

How well did you know this?
1
Not at all
2
3
4
5
Perfectly
15
Q

Stratum lucidum

A

*Present in thick skin
*no hair
*soles and palms

How well did you know this?
1
Not at all
2
3
4
5
Perfectly
16
Q

Stratum germinativum (basale)

A

*close to the basement membrane
*attachment of epidermis to the dermis

17
Q

Stratum spinosum

A

*layer above the stratum basale

18
Q

Stratum granulosum

A

The darkest layer

19
Q

Stratum lucidum

A

Above granulosum

20
Q

Stratum corneum

A

Above the lucidum

21
Q

Hair papilla

A

*horse shoe at the end of the hair bulb
*for penetration of blood vessels

22
Q

Apocrine duct

A

*goes to the hair canal
*contains milky, oily substance
*found in the axillae, areola, anal region, and pubic region