Interactive Case Studies Flashcards

(22 cards)

1
Q
  • A 5-year-old boy of Indian ethnic origin presented with lymphadenopathy and a mediastinal mass on chest radiology
  • WBC 180 × 109/l, Hb 93 g/l and platelet count 43 × 109/l
    • High (very high, so not infection) WCC a high WCC is bad prognostically
    • Low Hb
    • Low platelets
  • What is the most likely diagnosis?
  • What is the mediastinal mass?
A
  • ALL
    • •The very high WBC (180 × 109/l) in a child means a diagnosis of leukaemia is almost certain
    • The low Hb (93 g/l) and platelet count (43 × 109/l) are the result of bone marrow infiltration
  • The mediastinal mass is the thymus, which is infiltrated by T lymphoblasts
How well did you know this?
1
Not at all
2
3
4
5
Perfectly
2
Q

What would be the best technique to confirm the diagnosis?

  • 1 Immunophenotyping
  • 2 Cytochemistry
A

Immunophenotyping

How well did you know this?
1
Not at all
2
3
4
5
Perfectly
3
Q

What should be the follow-up in this child?

A
  • The high WBC lessens the chance of cure but nevertheless there is a realistic chance of cure in this child
  • He requires combination chemotherapy and CNS-directed therapy
How well did you know this?
1
Not at all
2
3
4
5
Perfectly
4
Q
  • 48-year-old male – railway engineer
  • 2-week history bleeding gums → attended dentist – severe bleeding
  • 1 episode of haematuria and minor bruising
  • Attended Accident and Emergency department
    • Left subconjunctival haemorrhage Small bruises over abdomen
    • No enlarged lymph nodes No hepatosplenomegaly
A

Blood count, film and coagulation screen

How well did you know this?
1
Not at all
2
3
4
5
Perfectly
5
Q
  • Normal Renal function
  • Minor liver derangement (longstanding)
    • Alanine transaminase 97 iu/l (0‒37) HIGH
    • Alkaline phosphatase 72 iu/l (30‒130) Normal
    • Bilirubin 24 μmol/l (0‒17) HIGH
  • FBC:
    • WBC 7.5 × 109/l (4.0‒11) Normal
    • Hb 109 g/l (130‒170) LOW
    • MCV 83 fl (80-96) Normal/LOW
    • Platelets 21 × 109/l (120‒400) LOW
  • Coagulation screen:
    • PT 13.4s (9.5-13.5) Normal
    • APTT 21.5s (24-32) LOW
    • Fibrinogen 0.97g/L (1.8-3.6) LOW

How would you explain a short APTT and a low fibrinogen? What other tests do you need?

A

Raises suspicion of a DIC (activated coagulation factors in circulation making APTT short) → do a D-dimer test to check…

How well did you know this?
1
Not at all
2
3
4
5
Perfectly
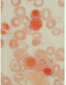
6
Q
A
  • Granules strongly suggest myeloid
  • Proof

–Cytochemistry

–Immunophenotyping

–But note that neither test is actually necessary

How well did you know this?
1
Not at all
2
3
4
5
Perfectly
7
Q
A

Acute promyelocytic leukaemia

How well did you know this?
1
Not at all
2
3
4
5
Perfectly
8
Q
A

Cytogenetic analysis etc

  • This can be confirmed using cytogenetic analysis/FISH/molecular genetic analysis – n.b. you already know this is myeloid (Auer rods) so immunophenotyping is not too useful – now you want to determine APML from AML
  • This will show the t (15;17) forming the PML-RARA fusion gene
How well did you know this?
1
Not at all
2
3
4
5
Perfectly
9
Q

What would the cytogenetic test show? How would you manage this patient? What would the prognosis be with tx?

A
How well did you know this?
1
Not at all
2
3
4
5
Perfectly
10
Q
  • A 68-year-old retired secretary
  • Gradual onset of fatigue, lethargy and exertional dyspnoea
  • Non-smoker, not much alcohol, good diet
  • On examination:
    • Pallor (conjunctival and nail bed)
    • Mild ankle oedema
  • FBC:
    • WBC 4.7 × 109/l (3.7–9.5) Normal
    • Hb 76 g/l (115–150) LOW
    • MCV 110 fl (82–98) HIGH
    • Neutrophils 1.4 × 109/l (NR 1.7–6.1) LOW
    • Platelet count 182 × 109/l (NR 145–350) Normal
A

Blood film

How well did you know this?
1
Not at all
2
3
4
5
Perfectly
11
Q
  • Serum vitamin B12 — normal
  • Red cell folate — normal
  • Liver function tests — normal
  • Thyroid function tests — normal
  • Ferritin — 875 μg/l (normal range 20–200)
    • N.B. this is probably not dangerous

•What do you suspect and what would you do next?

A

She has a dimorphic blood film

Suspect sideroblastic syndrome, BM aspirate

How well did you know this?
1
Not at all
2
3
4
5
Perfectly
12
Q
  • Bone marrow aspirate
  • 12% blast cells (normal < 5%)
  • 45% of erythroblasts were ring sideroblasts
A

myelodysplastic syndrome (MDS) (MDS with excess of blasts)

How well did you know this?
1
Not at all
2
3
4
5
Perfectly
13
Q

What would the management be? What is the prognosis of this?

A
How well did you know this?
1
Not at all
2
3
4
5
Perfectly
14
Q

The ferritin was 875 μg/l (NR 20–200) Why?

Does it matter?

1 Yes

2 No

3 Probably not

A

Probably not - predicted survival not many years so ferritin won’t rise to a point where it would be significant

How well did you know this?
1
Not at all
2
3
4
5
Perfectly
15
Q
  • A 72-year-old Indian woman
  • Vegetarian, teetotal, non-smoker
  • SOBOE, fatigue
  • Painful gums and tongue, unable to eat spicy food
  • On examination: pallor only
  • Test results:
    • WBC and platelets normal
    • Hb 52 g/L
    • MCV 122 fl

What is the most important test?

A
  • Hypersegmented neutrophils (so, measure vitamin B12 and folate)
  • Tear drop poikilocytosis
  • Oval macrocytes
How well did you know this?
1
Not at all
2
3
4
5
Perfectly
16
Q
17
Q

Do you think the patient has a myelodysplastic syndrome?

1 Yes

2 No

A

No

  • Parietal cell antibodies: positive
  • Intrinsic factor antibodies: positive
  • The patient turned out to be a vegan
  • You should now know the correct diagnosis and be able to explain how you would treat the patient
18
Q
  • 70yo woman referred to vascular surgeon due to gangrenous toes
  • Non-diabetic, 50-pack-year history
  • SOBOE and morning cough
  • On examination:
    • Reduced femoral and distal pulses on side of affected toes
    • Not breathless at rest, no cyanosis
    • Plethora, conjunctival suffusion
    • Spleen not felt

What simple test would you do first?

A

FBC, blood gas

19
Q
A

Polycythaemia vera

20
Q
A

Molecular analysis for JAK2 mutation

21
Q
A

Venesection plus hydroxycarbamide

22
Q
A

This would be unsuitable alone as it will not reduce the platelet count