interdisciplinary tx Flashcards

(21 cards)

1
Q

venn diagram of tx

A
How well did you know this?
1
Not at all
2
3
4
5
Perfectly
2
Q

FACTORS TO CONSIDER IN THE PRESERVATION OF A TOOTH

A
How well did you know this?
1
Not at all
2
3
4
5
Perfectly
3
Q

treatment sequence for interdis care

A

it of the upmost importance

How well did you know this?
1
Not at all
2
3
4
5
Perfectly
4
Q

1st step to interdisciplinary care

A

1st. Establish posterior occlusal support, without this there will be a deepbite

How well did you know this?
1
Not at all
2
3
4
5
Perfectly
5
Q

Ferrule Effect

A
  • A BAND OF DENTIN (1MM) BETWEEN THE POST AND THE INTERNAL LINE OF THE CROWN
  • IMPROVES PROGNOSIS DRAMATICALLY AND REDUCES THE RISK OF ROOT FRACTURES
How well did you know this?
1
Not at all
2
3
4
5
Perfectly
6
Q

Selection Criteria for extrusion
Crown root?
anatomy of?
Amount of?
Relevance?
Esthetic?

A

Crown root ratio
Root anatomy
Amount of extrusion needed
Relevance to keep the root
Esthetic concerns.

How well did you know this?
1
Not at all
2
3
4
5
Perfectly
7
Q

PREPARATION FOR EXTRUSION

A
  • YOU MAY NEED A TEMPORARY POST UNTIL ROOT IS EXTRUDED
  • TEMPORARY CROWN CEMENTED PERMANENTLY to withstand extrusive forces
How well did you know this?
1
Not at all
2
3
4
5
Perfectly
8
Q

gingival line with extrusion

A

SLOW Orthodontic extrusion may result in an uneven gingival line
* Fiberotomies can decrease the extent of the lowering if the gingival crest

How well did you know this?
1
Not at all
2
3
4
5
Perfectly
9
Q

One of the advantages of orthodontic extrusion regarding bone?

A

One of the advantages of orthodontic extrusion is that it significantly reduces the amount of bone recountouring of adjacent teeth during the CCL procedure

How well did you know this?
1
Not at all
2
3
4
5
Perfectly
10
Q

healing phase length with temp crowns

A

6 wks

How well did you know this?
1
Not at all
2
3
4
5
Perfectly
11
Q

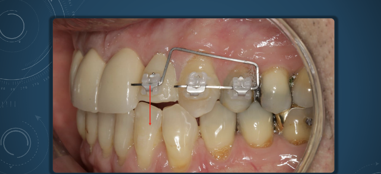
Bracketing for extrusion

A

bracket of extrudued tooth superior to allow wire to place extrusive force on tooth

How well did you know this?
1
Not at all
2
3
4
5
Perfectly
12
Q

Passive Technique

A

Brackets are positioned to minimize movement of anchor teeth

How well did you know this?
1
Not at all
2
3
4
5
Perfectly
13
Q

alveolar bone with SLOW extrusion

A

follows the extrusion

How well did you know this?
1
Not at all
2
3
4
5
Perfectly
14
Q

Rapid Extrusion: force?
* wire?
* Goal is to?
* Activate wire how much/when?

A

Heavy force=Rapid movement
* 0.017x0.025 Beta titanium rectangular wire with bends to place large extrusive forces
* Goal is to extrude the tooth while maintaining the alveolar level.
* Activate wire 1mm every 3 weeks

How well did you know this?
1
Not at all
2
3
4
5
Perfectly
15
Q
A

rapid extrusion with anchor teeth and heavy rectangular wire

How well did you know this?
1
Not at all
2
3
4
5
Perfectly
16
Q

Fiberotomies with extrusion
how often?
* Minimize?
* mechanism

A

Every 2-3 weeks
* Minimize the descent of the alveolar bone
* Severing the supracrestal fibers reducing the effect on the alveolar bone

17
Q

Stabilization with extrusion
* time?
* Keep the appliance in?
* Let the gingival tissue?

A
  • 8 weeks post-final orthodontic tooth movement
  • Keep the appliance in a passive state
  • Let the gingival tissue reorganize and remodel
18
Q

how can we use ortho for implants

A

space creation

19
Q

when could intrusion be useful?

A

we could intrude supererupted teeth to allow for space to restore edentulous areas

20
Q

how can we use ortho for crowns?

A

extrusion to prevent BW violation

21
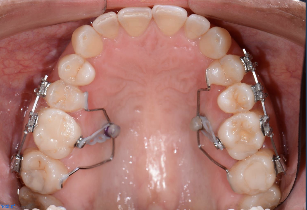
Q

explain this setup

A

B/L intrusive forces placed on molar with heavy rectangular wire.
band from palatal screw also contributes an intrusive force.
likely to create space for restoration of antagonist