Nearly 100% of human cancer has ____ pathway inactivation, >90% has ____ inactivation
Nearly 100% of human cancer has p16INK4a-Rb pathway inactivation, >90% has p53 inactivation
What are 4 aspects of dysregulation present in the cellular processes of cancer?
I. Inappropriate proliferation
II. Resistance to differentiation and apoptosis
III. Genomic Instability
IV. Ability to grow where it ought not (i.e. “malignant growth”)
Protooncogene:
Highly conserved eukaryotic genes, important in cellular growth and development, which can become oncogenes either by over/under expression or by mutation
Cellular Oncogenes:
(c-onc); cellular genes involved in the development and/or maintenance of the malignant phenotype
Viral oncogenes:
(v-onc); viral genes which are able to transform cells
Oncogenic mechanisms (4):
•Growth factors
•Signal transduction
•Cell cycle control
•Regulation of gene expression
Give 2 examples of growth factor involvement in oncogenic mechanisms:
–Mutated ras induces expression of normal growth factor genes (TGF-a)
–The sis viral oncogene is highly homologous to PDGF, and can stimulate PDGF-R
Provide an example of oncogene development via signal transduction:
Her-2/neu amplification in breast carcinoma
There are professional tumor suppressor genes (e.g. ____ and ____) that are dispensable for normal development, but serve only to prevent _______.
There are professional tumor suppressor genes (e.g. p16INK4a and p53) that are dispensable for normal development, but serve only to prevent transformation.
Li-Fraumeni Syndrome:
Hereditary predisposition to cancer.
p53 protein normally
Persons with syndrome are born with one abnormal copy

Fill in the empty spaces


FIll in the blanks (shows resistance mechanisms to apoptosis)


Hyperplasia:
Increase in the cell number
Usually associated with an increase in tissue mass (hypertrophy)
Can be physiologic or pathologic
Explain how hyperplasia can be physiologic or pathologic:
Physiologic:
Pathologic (breeding ground for cancer):
What types of cells are shown in these images?


Hypertrophy:
•Increase in cell size
•Can be physiologic or pathologic
Explain how hypertrophy can be physiologic or pathologic:
–Physiologic
–Pathologic
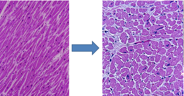
What change is indicated in these images?

hypertrophy
Define metaplasia:
•Change of one differentiated cell type into another differentiated cell type
–Usually an adaptive response
–Usually reversible
List two common examples of metaplasia:
–Smoking and respiratory epithelium
–Barrett esophagus
What change has occurred in these two images?
This is an image of the esophagus.
Left is NORMAL
Right is METAPLASTIC.
Define dysplasia:
Atypical proliferation of cells with:
Describe this image:

Normal squamous epithelium
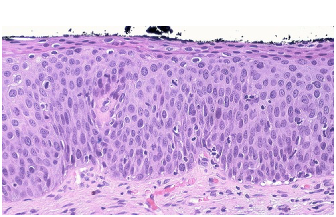
What is shown in this image?

Dysplastic squamous epithelium