Introducción Flashcards

(38 cards)

1
Q

Apréndete la diferenciación célula de las lineas celulares:

A
How well did you know this?
1
Not at all
2
3
4
5
Perfectly
2
Q

Cual es la principal hormona estimulante de los megacariocitos?

Cual es la principal hormona estimulante de los eritrocitos?

A

Trombopoyetina

Eritropoyetina

How well did you know this?
1
Not at all
2
3
4
5
Perfectly
3
Q

Donde se produce la eritropoyetina?

A

En las células yuxtoglomerulares

Nota: ubicadas en las arteriolas aferentes de los glomérulos renales

How well did you know this?
1
Not at all
2
3
4
5
Perfectly
4
Q

Donde se originan los Progenitor linfoide comun (infocito) y donde maduran?

A

En medula ósea y de ahí migran al
Ganglio para poder madurar a Lin T o B

How well did you know this?
1
Not at all
2
3
4
5
Perfectly
5
Q

Que ocurre en el Sx anémico?

A

Descenso en hemoglobina

How well did you know this?
1
Not at all
2
3
4
5
Perfectly
6
Q

Que ocurre en el Sx febril?

A

Descenso en leucocitos (neutrofilos)

How well did you know this?
1
Not at all
2
3
4
5
Perfectly
7
Q

Que ocurre en el Sx purpúrico?

A

Descenso en plaquetas

How well did you know this?
1
Not at all
2
3
4
5
Perfectly
8
Q

La biométrica hemática se pone en tubo________ y contiene _______.

A

Morado
anticoagulante - Heparina

How well did you know this?
1
Not at all
2
3
4
5
Perfectly
9
Q

Sistema de medición que encuentra diferencia en la conductividad eléctrica de células y disolventes:

A

Recuento por impedancia (contar partículas en suspensión, como células, bacterias o glóbulos rojos, en un fluido)

How well did you know this?
1
Not at all
2
3
4
5
Perfectly
10
Q

Sistema de medición que hay una fuente de luz y las células pasan frente, un fotodiodo la convierte en impulsos eléctricos contables.

A

Detectores electroópticos

How well did you know this?
1
Not at all
2
3
4
5
Perfectly
11
Q

Apréndete los valores de la biométrica hematica:

A
How well did you know this?
1
Not at all
2
3
4
5
Perfectly
12
Q

Quiero sacar la hemoglobina, que formula debo usar?

Quiero sacar el hematocrito, que formula debo usar?

A

Eritrocitos x 3= Hemoglobina

Hemoglobina x 3= Hematocrito +- 3

How well did you know this?
1
Not at all
2
3
4
5
Perfectly
13
Q

Porcentaje de…
Plasma
Buffy coat (capa leucocitaria)
Eritrocito

A
How well did you know this?
1
Not at all
2
3
4
5
Perfectly
14
Q

Que analiza la amplitud de distribución eritrocitaria?

A

Que tanto se sale de la normalidad el tamaño de los eritrocitos de nuestra muestra. (11.5-14.5)

How well did you know this?
1
Not at all
2
3
4
5
Perfectly
15
Q

Como se determinan los indices eritrocitarios primarios y secundarios?

Nota: son parámetros que permiten evaluar la morfología y función de los eritrocitos

A

Primarios- Son determinados directamente en el laboratorio a través de pruebas de sangre.

Secundarios- Se calculan a partir de los índices primarios.

How well did you know this?
1
Not at all
2
3
4
5
Perfectly
16
Q

Que contiene los indices eritrocitarios primarios?

A

HB (Hemoglobina)

HTO (Hematocrito)

Número de eritrocitos/µl: La cantidad de glóbulos rojos presentes en un microlitro de sangre.

17
Q

Que contiene los indices eritrocitarios secundarios?

A

CMHG (Concentración Media de Hemoglobina Globular): Mide la concentración de hemoglobina en una cantidad específica de glóbulos rojos.

VCM (Volumen Corpuscular Medio): Mide el tamaño promedio de los glóbulos rojos.

HGM (Hemoglobina Globular Media): Mide la cantidad promedio de hemoglobina en cada glóbulo rojo.

18
Q

Valores de los indices eritrocitarios secundarios?

A

CMHG (Concentración Media de Hemoglobina Globular): 30-37

VCM (Volumen Corpuscular Medio): 80-95

HGM (Hemoglobina Globular Media): 27-34

19
Q

Propósito de los indices eritrocitarios primarios y secundarios:

A

Primarios- Determinan si una persona tiene anemia (niveles bajos de hemoglobina o hematocrito) o policitemia (niveles altos de hemoglobina o hematocrito).

Secundarios- Indican el tamaño y el contenido de hemoglobina en los glóbulos rojos, lo que ayuda a clasificar diferentes tipos de anemia (microcítica, normocítica, macrocítica, etc.).

20
Q

Que ocurre si tenemos VCM por debajo de 80?

Que ocurre si tenemos VCM por arriba de 100?

A

Microcitosis

Macrocitosis

21
Q

Que ocurre si tenemos HCM (hemoglobina corpuscular media) por debajo de 27?

A

Anemia microciticas

22
Q

Que ocurre si tenemos CHCM (concentración de hemoglobina corpuscular media) por debajo de 32 y arriba de 37?

A

Hipocromia

NO existe hipercromia

23
Q

Cuales son las anemias microciticas hipocromicas?

A

Anemia ferropenica (deficiencia de hierro= no se puede producir hemoglobina= menos eritrocitos)

Talasemias (trastornos genéticos hereditarios que afectan la producción de hemoglobina)

24
Q

Cuales son las anemias macrociticas?

A

Anemia megaloblastica (deficiencia de B12 o acido fólico)

25
Por que es importante la vitamina B12 para la formación de eritrocitos?
Participa en la replicación celular, permitiendo la correcta división y maduración de las células precursoras de los glóbulos rojos.
26
La anemia hemolitica tiene 2 causas, cuales son?
Causas intrínsecas (problema dentro del glóbulo rojo) Causas extrínsecas (factores externos del glóbulo rojo)
27
Causas intrínsecas de anemia hemolitica: (3)
Defectoa genéticos* Esferosis hereditaria Anemia falciforme (forma de hoz)
28
Causas extrínsecas de anemia hemolitica: (2)
Anemia hemolitica autoinmune (s.inmune ataca nuestros eritrocitos) Infecciones- malaria
29
Hacia que lado se va si tenemos una anemia microcitica o una anemia macrocitica. O que pasa si tenemos ensanchamiento de base?
izq Der Quiere decir que tenemos eritrocitos tanto normales como micro y macro, suele para en anemia ferropenica Nota: para estar normal tenemos que tener un valor de ancho de distribución eritrocitaria VN= 13 +- 1
30
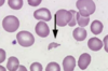
Que célula es esta? Por que?
Reticulocitos (eritrocitos inmaduros) Por que estos conservan todavía material de ARN mensajero (se ve en la imagen)
31
Cifra normal de actividad eritropoyetica de reticulocitos en la medula ósea: Causa principal de anemia regenerativa y arregenerativa:
0.5% a 1.5% Regenerativa- En anemia hemolitica, M.O trabaja bien, se percata que se mueren muchos eritrocitos y produce muchos reticulocitos para compensar = mas de 1.5%. Arregenerativa- En anemia ferropenica, M.O crea reticulocitos/ eritrocitos deficientes por que le hace falta un ingrediente, El Hierro= menos de 0.5%
32
Que es el indice reticulocitario?
La producción de reticulocitos/eritrocitos que se pueden hacer incluso en anemia. Entonces si tenemos un indice reticulocitario alto= anemia regenerativa. Si tenemos un indice reticulocitario bajo o normal= anemia arregenerativa.
33
Por que en una anemia regenerativa hay células macrociticas?
Los reticulocitos son mas grandes que los eritrocitos, el organismo cuenta a estos como eritrocitos con aumento de tamaño= anemia macrocititca.
34
Si nos reportan en un frotis de sangre periférica un esquistocito que significa?
Angiopatia trombotica= poner la vida del px en riesgo Nota: Angiopatia trombotica= trombosis en capilares y arteriolas, debido a lesion endotelial.
35
Cuantas plaquetas se ven por campo?
entre 5 a 7
36
37
Que otro estudio realizarías?
Bilirrubina indirecta, ya que cuando hay lisis de eritrocitos, estos sueltan bilirrubina (indirecta), si hay mucha sabríamos que es una anemia regenerativa. Aqui se marca anemia esferocitica. Nota: Esta anemia esferocititca sale y después se fragmentan al pasar por el sistema retículo endotelial liberando bilirrubina (indirecta).
38
Donde se encuentra aumentada la deshidrogénasa láctica (LDH) ?
Aumentada en recambio celular, en anemias hemoliticas y linfomas.