_____ Is the Master Regulator of Bone Formation
RUNX2 (Cbfa1)
What is the job of osteoblasts?
synthesize the organic components of the bone matrix
Osteoblasts differentiate from __________ ______ ______.
Mesenchymal Stem Cells
What are the two final destinations for osteoblasts in vivo?
or
What would you use Aliziran red for?
What would you use Alcian blue for?
How do osteocyte processes in the canalicular network communicate with one another?
via gap junctions
Where do osteoclasts arise from?
myeloid progenitor
What do osteoclasts require in order to differentiate?
Communication with osteoblasts:

RANKL is produced by _________.
osteoblasts
Describe the role of osteoprotegrin (OPG):
What stimulates osteoclast activity?
What inhibits osteoclast activity?
Osteocytes signal to the ____ _______.
bone surface
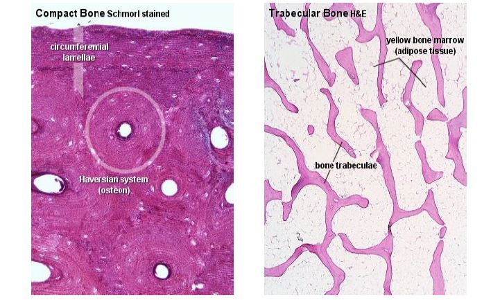
Bone Components:
Cortical and trabecular bone are constituted of the s_ame cells and the same matrix elements_, but there are structural and functional differences
Bone Components:
Give examples of intramembranous bone:
**Examples: **
What is the growth plate?
a specialized structure present within growing endochondral bones
Give examples of endochondral bone:
long bones of the limbs
Describe growth of endochondral bone:
(i.e. what occurs in the growth plate)
What does linear growth of long bones depend on?
Depends on the relative speed with which:
In humans, the growth plate closes in ____ _________ in response to ________ _________?
In humans, the growth plates close in late adolescence in response to estrogen signaling
At any given time, about ___ of the skeleton is being remodeled
10%
Why is trabecular bone much more actively remodeled than cortical bone?
Trabecular bone has a more prominent role in maintaining mineral homeostasis
2 essential principles to understanding the bone remodeling cycle: