Invasive procedures ASYNC Flashcards

(37 cards)

1
Q

What is pericardiocentesis?

A

Invasive procedure in which the physician removes (aspirates) a build up of fluid from the pericardium

How well did you know this?
1
Not at all
2
3
4
5
Perfectly
2
Q

Why would we use pericardiocentesis?

A
  1. Diagnostic purpose
  2. Therapeutic purpose
How well did you know this?
1
Not at all
2
3
4
5
Perfectly
3
Q

What is the diagnostic purpose behind pericardiocentesis?

A

Identify the types of fluid for things like
1. Hemopericardium
2. Infection vs cancer

How well did you know this?
1
Not at all
2
3
4
5
Perfectly
4
Q

When would we use pericardiocentesis?

A

Can be scheduled or emergent based on purpose

How well did you know this?
1
Not at all
2
3
4
5
Perfectly
5
Q

The pericardium normally contains how much fluid?

A

20-50cc of straw colored fluid

How well did you know this?
1
Not at all
2
3
4
5
Perfectly
6
Q

Color of pericardial fluid can be what?

A
How well did you know this?
1
Not at all
2
3
4
5
Perfectly
7
Q

What is the role of echo for pericardiocentesis? 4

A
  1. Confirm location and size of pericardial fluid
  2. Identify view with largest pocket, closest to the chest wall
  3. Confirm needle placement
  4. Reassess fluid post procedure
How well did you know this?
1
Not at all
2
3
4
5
Perfectly
8
Q

In terms of pericardiocentesis, when identifying view with the largest pocket, what views are best?

A
  1. Usually apical is best
  2. May include off axis views
How well did you know this?
1
Not at all
2
3
4
5
Perfectly
9
Q

What needs to be considered when confirming needle placement with pericardiocentesis?2

A
  1. Needle may be seen in all patients on the echo
  2. agitated saline can be injected to view needle positions
How well did you know this?
1
Not at all
2
3
4
5
Perfectly
10
Q

What does this image represent?

A

Air bubbles injected to confirm needle locations

How well did you know this?
1
Not at all
2
3
4
5
Perfectly
11
Q

What does this image represent?

A

Pericardiocentesis

How well did you know this?
1
Not at all
2
3
4
5
Perfectly
12
Q

What can be associated with Pericardiocentesis?

A

Tumors

How well did you know this?
1
Not at all
2
3
4
5
Perfectly
13
Q

What does this image represent?

A

Pericarditis with constriction

How well did you know this?
1
Not at all
2
3
4
5
Perfectly
14
Q

What are risks of pericardiocentesis? 6

A
  1. Cardiac arrest
  2. Arrhythmias
  3. Air embolism
  4. Infection of the puncture site
  5. Infection of the pericardium
  6. Perforation
How well did you know this?
1
Not at all
2
3
4
5
Perfectly
15
Q

What are some arrhythmias heard with pericardiocentesis?

A

SVT, AF, VT, ventricular fibrillation

How well did you know this?
1
Not at all
2
3
4
5
Perfectly
16
Q

What is air embolism with pericardiocentesis?

A

RT heart perforation

17
Q

Where do we see perforation with pericardiocentesis? 4

A
  1. Lung
  2. Liver
  3. Coronary artery
  4. Heart (RV or LV)
18
Q

What does this image represent?

A

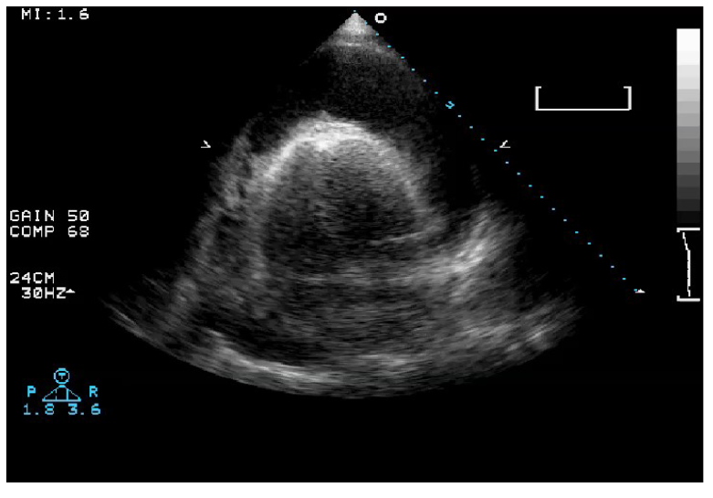
Large pericardial effusion

19
Q

What is a reliable diagnosis for heart transplant rejection?

A

Myocardial biopsy

20
Q

What is the level of risk for myocardial biopsy?

21
Q

How invasive is Myocardial biopsy?

A

Invasive, May cause some patient discomfort

22
Q

Non-invasive diagnostic methods have reduced the need for biopsies, what are some? 3

A
  1. Nuclear scans
  2. RV strain
  3. Cardiac MRI
23
Q

Myocardial biopsy is performed with what?

A

Local anesthesia

24
Q

In terms of myocardial biopsy, venous sheath is placed where?

A

In the RT IJV

25
In terms of myocardial biopsy, how many specimens are obtained?
Multiple specimens are obtained from different sites within the RV, Tissues samples are then sent to the lab for analysis of tissue
26
What are pacemakers?
Small electronic device that regulates the heart rate by sending electrical signals to the heart
27
How many leads are in pacemakers?
1 or 2 lead systems
28
What are the two parts of a pacemaker?
1. Battery unit 2. Wire
29
What is part of the battery unit of the pacemaker?
Small metal case that contains the power source and regulates how often signals are sent
30
What is part of the wire system of the pacemaker?
Carries electrical message back and forth between the heart and the pacemaker
31
What is the size of the pacemaker?
Device is about the size of 2 toonies put together and weighs a bit more than an ounce
32
When is a pacemeaker required?
1. Symptomatic bradycardia (Most common) 2. Patients with serious, uncontrollable arrhythmias
33
Intra cardiac defibrillators (ICD) uses what?
Leads (wires threaded into the heart's chambers) to monitor every heart beat
34
If a lethal rhythm appears with ICDs what happens?
The defibrillator shocks the heart back to a normal rhythm 1. V-tach 2. V-flutter 3. V-fib
35
Who has a defibrillator?
1. Heart attack survivors with low ejection fraction 2. Patients at high risk for sudden cardiac death (SCD) 3. Patients post MI
36
Lead perforation can affect what?
1. Pacemakers and defibrillators 2. Wire migration
37
What does this image demonstrate?
Implantable defibrillator lead perforation of the RV apex