Doenças IRA com estridor:
Epiglotite Aguda
Laringotraqueobronquite Viral Aguda
(Podemos separar essas afecções em dois grupos: as supraglóticas (epiglotite) e as infraglóticas (laringite, laringotraqueíte e laringotraqueobronquite).
Estridor.
Definição e significado clínico:
Relação com a respiração:
Relação com a frequência respiratória:
O estridor é um som inspiratório peculiar, que tem como significado clínico a presença de algum grau de obstrução nas vias aéreas superiores (extrapleurais, laringe e traquéia).
Quando a respiração é calma e pouco profunda, sua intensidade é pequena, mas, na respiração forçada, o aumento do fluxo de ar provoca significativa intensificação deste som.
A frequência respiratória que esses pacientes apresentam é variável, na dependência da gravidade da obstrução.
Epiglotite Aguda, definição:
Inflamação da epiglote e tecidos supraglóticos adjacentes.
Sobre a epiglotite aguda, responda
É uma doença comum?
Quais os agentes etiológicos?
Antes da utilização da vacina, as crianças mais acometidas tinham qual idade?
Não é mais tão comum. Teve sua incidência reduzida pela imunização universal contra o Haemophilus influenzae tipo B.
Era o Haemophilus influenzae tipo B. Atualmente,
temos outros agentes implicados, como Streptococcus pyogenes, Streptococcus pneumoniae e Staphylococcus aureus.
Entre dois e quatro anos.
Sobre a epiglotite aguda, julgue:
A epiglotite aguda é uma doença grave e potencialmente fatal e é bem menos comum do que a laringotraqueobronquite.
A epiglotite aguda tornou-se uma doença menos comum nos dias de hoje, graças à imunização universal contra o hemófilo do tipo B.
Nesta doença há a infecção tecidual com a inflamação da epiglote e das estruturas supraglóticas adjacentes. O edema dessas estruturas leva à obstrução respiratória e pode ser fatal.
V.
V.
V.
Dica de prova:
Uma informação que costuma estar presente nos enunciados que trazem quadros de epiglotite aguda é a de esquema vacinal incompleto ou desconhecido, justamente para lembrarmos de que a criança não está protegida contra o HiB.
Descreva o quadro clínico da epiglotite aguda:
(Evolução grave e violenta):
O quadro clínico é muito característico:
A instalação é hiperaguda – 12 a 24 horas com febre alta (39-40°C), prostração, toxemia, dor de garganta progressivamente mais intensa, intensa disfagia, sialorreia, estridor variável, acentuada dificuldade respiratória, voz abafada, respiração ruidosa. A criança assume uma posição típica: a “posição do tripé” - sentada com o tronco para frente, mãos apoiadas nos joelhos, cabeça para frente, queixo para cima, mandíbula protrusa e língua para fora com sialorreia.
O desconforto respiratório pode ser grave, com tiragem subcostal, intercostal e supraesternal, além de taquipneia.
(Um cuidado que devemos ter é com a presença de estridor: é um sinal tardio e, quando presente, indica obstrução aérea completa iminente).
(Na posição do tripé a epiglote tende a se projetar anteriormente, reduzindo um pouco a obstrução).

Sobre o manejo inicial da suspeita de epiglotite aguda, julgue:
A epiglotite aguda subverte o raciocínio habitual. A prioridade no atendimento desses pacientes é o estabelecimento de via aérea pérvia.
A criança com a suspeita clínica de epiglotite deve ser conduzida da seguinte forma: “deixe a criança em paz!”: não deve ser solicitado exames, sangue não deve ser colhido, acesso venosonão deve ser obtido. A criança deve ser deixada em posição confortável no colo dos pais. Oxigênio deve ser ofertado, desde que isso não agite mais a criança.
O próximo passo é o estabelecimento de via aérea por intubação traqueal ou traqueostomia.
A intubação traqueal é considerada a medida salvadora, reduzindo a mortalidade da doença para menos de 1% (quase todas as mortes por epiglotite são decorrentes da obstrução laríngea!).
O grande problema da intubação traqueal é a dificuldade do procedimento, que deve ser sempre executado por um profissional experiente em intubação pediátrica.
Uma vez que a criança for deitada, a intubação deve ser imediata.
Se o pediatra julgar que a intubação será extremamente difícil e arriscada, o melhor é optar pela traqueostomia de urgência.
O diagnóstico definitivo de epiglotite aguda é feito pela visualização da epiglote edemaciada e cor vermelho-cereja através da laringoscopia direta. Porém, essa visualização deve ser feita em situações que permitam a rápida obtenção de via aérea. Além disso, essa criança só deve ser deitada no momento que houver a possibilidade desta via aérea ser
assegurada.

Todas são verdadeiras.
Uma vez garantida a permeabilidade da via aérea da criança com suspeita de epiglotite aguda, qual a conduta seguinte:
Cultura do esfregaço supraglótico, coleta de hemoculturas e instituição da antibioticoterapia venosa - Cefuroxima, ceftriaxona ou meropenem, durante 10 dias.
(O uso de corticoides ou nebulizações com adrenalina não trazem benefícios para esses pacientes, exceto para o manejo de edema após a extubação).
Sobre os exames complementares na epiglotite aguda, responda:
Nos exames complementares, encontramos leucocitose (> 20.000/mm³) com desvio à esquerda.
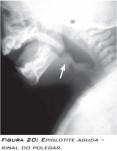
O sinal radiológico descrito para epiglotite aguda é denominado “sinal do polegar”, observado na radiografia cervical lateral, explicado pelo edema da epiglote. Este exame não deve ser solicitado quando o quadro clínico indica que se está diante de uma epiglotite aguda, pois qualquer demora na obtenção da via aérea piora o prognóstico do paciente.
É descrito que a radiografia cervical lateral pode ser solicitada quando há suspeita do diagnóstico, mas este parece duvidoso. Porém, se o exame for solicitado, a criança deverá estar o tempo toda acompanhada por alguém capaz de realizar a intubação traqueal, caso seja necessário.

Todas são verdadeiras.
Principal medida preventiva da epiglotite aguda:
Imunização de todas as crianças.
Existem situações em que se recomenda a profilaxia após a exposição a um caso de doença por hemófilo tipo B.
Como é feita a profilaxia e quais as indicações:
Rifampicina (20 mg/kg/dia, máximo 600 mg/dia
1x/dia VO por 4 dias) para todos os contactantes domiciliares de um caso de epiglotite causada por hemófilos quando há no domicílio:
1 - uma criança com < 4 anos que tenha vacinação incompleta ou não tenha sido vacinada,
2- uma criança com < 12 meses que ainda não tenha terminado de receber o esquema básico do primeiro ano,
3- uma criança imunocomprometida, ainda que seja vacinada.
Dica de prova:
Houve questão que abordou um quadro típico de epiglotite aguda (lactente, febre alta de 39°C, de início agudo de 1 dia, odinofagia, estridor inspiratório, salivação intensa, dispneia com desconforto respiratório grave) e adicionou “tosse rouca/ladrante”, algo incomum na epiglotite e característico de doenças infraglóticas.
O gabarito foi epiglotite aguda, pois as doenças infraglóticas não apresentam um quadro hiperagudo-intenso de descorforto respiratório intenso + febre alta em 12-24h.
Sobre a laringotraqueobronquite viral aguda, julgue:
A laringite, a laringotraqueíte e a laringotraqueobronquite viral representam um processo inflamatório que envolve as cordas vocais e as estruturas infraglóticas. O acometimento da mucosa respiratória pode ter diferentes graus de extensão e, por esse motivo, podemos ter desde apenas uma laringite, até laringotraqueíte ou laringotraqueobronquite viral.
O termo crupe é utilizado para descrever a associação de estridor inspiratório, tosse e rouquidão. É um quadro que resulta da inflamação laríngea e das estruturas infraglóticas e pode ter mais de uma causa: laringite, laringotraqueíte, laringotraqueobronquite, crupe espasmódico e traqueíte bacteriana.
É possível encontrarmos a utilização do termo crupe viral como sinônimo apenas de laringotraqueíte ou laringotraqueobronquite virais.
O crupe diftérico já foi uma condição comum, mas tornou-se raro nos dias de hoje.
A laringotraqueíte viral aguda, também conhecida como crupe viral, é a principal causa de obstrução respiratória alta aguda em crianças, respondendo pela maior parte dos quadros agudos de estridor nessa população.
O diagnóstico laringotraqueíte viral aguda é clínico e não demanda a realização de qualquer exame complementar.
Todas são verdadeiras.
Sobre o crupe viral, responda:
Predomina em qual faixa etária:
Pico de incidência:
Ocorrência mais comum em qual sexo:
Distribuição sazonal:
Transmissão:
Crianças entre três meses e cinco anos,
No segundo ano de vida;
É ligeiramente mais comum no sexo masculino.
Concentrando-se mais nos meses frios do ano, outono e inverno (como a maioria das afecções virais respiratórias).
Contato direto ou por via respiratória (semelhante à descrita para o resfriado).
Principal agente etiológico da laringotraqueíte viral aguda:
Outros agentes etiológicos:
Vírus parainfluenza tipos 1, 2 e 3, responsável por 75% dos casos.
(Esse vírus pode causar doença em outros pontos da árvore respiratória, podendo ser responsável por um simples resfriado comum).
Influenza (causa doença mais grave), adenovírus e Vírus Sincicial Respiratório (VSR).
Quadro clínico da laringotraqueobronquite viral:
Começa com o aparecimento de pródromos catarrais - rinorreia, faringite, tosse leve e febre baixa, com duração entre 1 e 3 dias (nada mais que o habitualmente encontrado em um resfriado). Depois surgem os sinais e sintomas que indicam acometimento das vias aéreas superiores, a tosse ladrante (ou metálica, “tossindo como um cachorro”), a rouquidão (caracteriza o acometimento das cordas vocais) e o estridor inspiratório (caracteriza obstrução em algum ponto das vias aéreas superiores). Esses sintomas tipicamente são piores à noite, recorrentes e vão desaparecendo com o passar de alguns dias, em até uma semana. A criança tem preferência por ficar sentada na cama ou de pé. A febre tem manifestação variável, ausente, febre baixa ou febre alta.
Em grande parte das crianças com crupe viral, o estridor só ocorre quando a criança chora ou está agitada (pelo aumento da velocidade do fluxo aéreo), desaparecendo durante o repouso. A presença de estridor em repouso deve ser interpretada como indicador de gravidade. O aumento da frequência respiratória, a presença de sinais de desconforto respiratório e o estridor contínuo também indicam obstrução mais intensa.
Se for realizado uma radiografia no paciente com laringotraqueíte viral aguda, pode-se identificar um achado imagenológico atribuído a esta doença.
Qual é:
Corresponde a qual alteração anatômica.
Significado clínico:
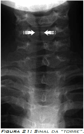
“Sinal da torre” ou “Sinal da ponta do lápis”.
Área correspondente ao estreitamento infraglótico.
Pode estar ausente em pacientes com crupe e pode ser identificado em outros que não têm a doença.

Tratamento da laringotraqueíte viral aguda:
Condição para alta:
O tratamento depende da gravidade do quadro, que é identificado pela presença de estridor em repouso ou desconforto respiratório evidente (tiragem subcostal, intercostal e supraesternal, batimento da asa do nariz, taquipneia) ou hipóxia.
Quadros leves (regime domiciliar):
1- Solução fisiológica para lavagem nasal se obstrução nasal.
2- Antipirético se febre.
3- Pode ser considerado o uso de corticoterapia em casos leves, sendo cada vez mais recomendada, que tem como benefício uma menor necessidade de internações e de uso posterior de adrenalina: Dexametasona 0,6 mg/kg IM ou VO dose única.
Quadros moderados a graves (regime ambulatorial):
1- Nebulização com l-epinefrina 0,5 ml/ kg até um máximo de 5 ml da solução 1:1.000. Observação por 2 a 3 horas. Se o estridor retornar antes disso, deve-se fazer novamente a nebulização e manter a criança por mais algumas horas em observação.
2- Dexametasona 0,6 mg/kg IM ou VO dose única.
3- Solução fisiológica para lavagem nasal se obstrução nasal.
4- Antipirético se febre.
(Lembrar de prescrever antipirético e solução fisiológica para continuidade de regime domiciliar no momento da alta)
(Doses mais baixas de dexametasona também são consideradas eficazes, embora não sejam prescritas. Mais recentemente, tem sido demonstrado que a nebulização com budesonida pode ser igualmente eficaz. O uso de prednisolona em dose única tem menos benefício).
(A vaporização, seja com vapor quente ou frio, é um tratamento empregado de longa data no manejo desses casos. Há o relato de melhora dos sintomas de algumas dessas crianças após a exposição ao “sereno da madrugada”, o que poderia servir para corroborar a eficácia dessa medida. Porém, a maioria dos estudos que avaliam a real efetividade da vaporização não
comprova o seu beneficio).
(A nebulização com adrenalina é capaz de promover a diminuição do edema subglótico, pois o efeito beta-adrenérgico da substância leva à constrição das arteríolas pré-capilares com reabsorção e regressão do edema da mucosa laríngea).
(Há outras maneiras de se prescrever epinefrina. A adrenalina tem início de ação rápido, mas seu efeito é passageiro, durando por até duas horas. Assim, é mandatório que essa criança permaneça em observação por, pelo menos, esse período).
Sem estridor em repouso, saturação de oxigênio e nível de consciência normais, ter recebido corticoide.
Diagnósticos diferenciais de laringotraqueíte viral:
Laringite Estridulosa ou Crupe Espasmódico - quadro clínico típico: criança que acorda no meio da noite com tosse metálica, com estridor inspiratório, voz rouca e parece bem aflita. Acomete, tipicamente, crianças entre 1 e 3 anos, não há pródromos de doença viral de vias aéreas superiores, nem febre. Os sintomas regridem em poucas horas e a criança passa o dia seguinte muito bem. Porém, há tendência à recidiva e o mesmo quadro pode recorrer por mais uma ou duas noites.
Laringotraqueíte bacteriana.
Laringite dftérica
Aspiração de corpo estranho
Abscessos profundos do pescoço - têm história com outras características, com queixa de disfagia e mais alterações ao exame físico.
Angioedema - o edema laríngeo pode ocorrer no curso de uma reação anafilática quando um indivíduo predisposto é exposto a um tipo específico de antígeno.
Epiglotite Aguda.
Num menino de 2 anos, com dificuldade súbita para respirar durante a madrugada, estridor inspiratório e tosse metálica, o diagnóstico mais provável é:
Laringite estridulosa ou Crupe espasmódico.
(O quadro é típico de Laringite Estridulosa).
(A asma brônquica pode ter exacerbações noturnas, mas a presença de sibilos é bastante característica e não há estridor).
(A aspiração de corpo estranho pode causar estridor e tosse, mas a tosse não tem o timbre metálico e esse evento ocorre mais comumente durante o dia, quando a criança está acordada e manipulando um corpo estranho qualquer).
(Alguns quadros de refluxo gastroesofágico podem desencadear uma laringite por refluxo, mas isso será considerado especialmente na presença de sintomas crônicos ou recorrentes).
Complicação da laringotraqueíte viral:
Manifestações clínicas:
Agente etiológico mais comum:
Tratamento:
Traqueíte bacteriana.
A criança apresenta quadro de laringotraqueíte viral e começa a piorar nitidamente, evoluindo com febre alta (39-40°C), toxemia, presença de copiosa secreção purulenta nas vias aéreas e piora dos sintomas obstrutivos - estridor em repouso e dificuldade respiratória - e ausência de resposta à nebulização com adrenalina.
(A obstrução laríngea agora não é mais causada apenas pelo edema inflamatório da mucosa, mas também pela produção de abundante secreção purulenta espessa).
(A história clínica sugere localização na laringe, porém há sinais de toxemia e febre alta, ambas as manifestações não são cararacterísticas da laringotraqueobronquite viral, sugerindo, então, ser traqueíte bacteriana)
Staphylococcus aureus.
Internação hospitalar, antibioticoterapia venosa específica, com cobertura antiestafilocócica, e cuidados intensivos, sendo que muitas destas crianças precisarão ser intubadas.
Lactente de 16 meses é levado a serviço de
emergência devido a quadro de tosse, dispneia
intensa e estridor. A mãe informa que o
quadro vem evoluindo há cinco dias com coriza,
rouquidão e tosse ladrante que pioraram
nas últimas 24h concomitantemente ao aparecimento
de estridor e febre alta (39°C). Exame
físico: FR: 52 irpm, estridor acentuado em repouso, tiragem subcostal e supraesternal.
Após a nebulização com adrenalina o quadro
se mantém inalterado. A hipótese diagnóstica
mais provável é:
Laringotraqueíte bacteriana.
A não resposta à adrenalina em um paciente
que tem um quadro sugestivo de laringite viral,
principalmente se associada à presença
de febre alta, é muito sugestiva de laringotraqueíte
bacteriana. Esta condição mórbida é
uma doença de etiologia predominantemente
estafilocócica na qual a presença de pseudomembranas
na árvore respiratória, resultado
da secreção de muco espesso associado à
necrose da mucosa das vias de condução,
leva a quadros obstrutivos graves que exigem
internação hospitalar, antibioticoterapia e,
frequentemente, intubação traqueal.
Tanto a laringite viral quanto a estridulosa se
caracterizam pela pronta resposta à nebulização
com adrenalina, pois o edema da mucosa
da região subglótica é o principal fator de
obstrução nestes casos e este é prontamente
resolvido pela vasoconstricção induzida pela
adrenalina. Além disso, a laringite estridulosa
se caracteriza por ser um quadro de obstrução súbita, noturna e frequentemente afebril.
Um menino de 2 anos é atendido no serviço de saúde
após seus pais relatarem uma “noite difícil”. Em continuação a alguns dias de sintomas respiratórios superiores leves, mas sem febre, na noite passada ele manifestou um episódio de estridor e aumento de esforço respiratório. A criança já apresentou esses sintomas duas vezes nos dois últimos meses, ficando bem após cada episódio. No intervalo entre crises, ele encontra-se normal. Hoje, exceto pela rinorreia discreta, seu exame físico está normal. Qual é a etiologia mais provável?
Crupe espasmódico.