Irreversible Flashcards

(19 cards)

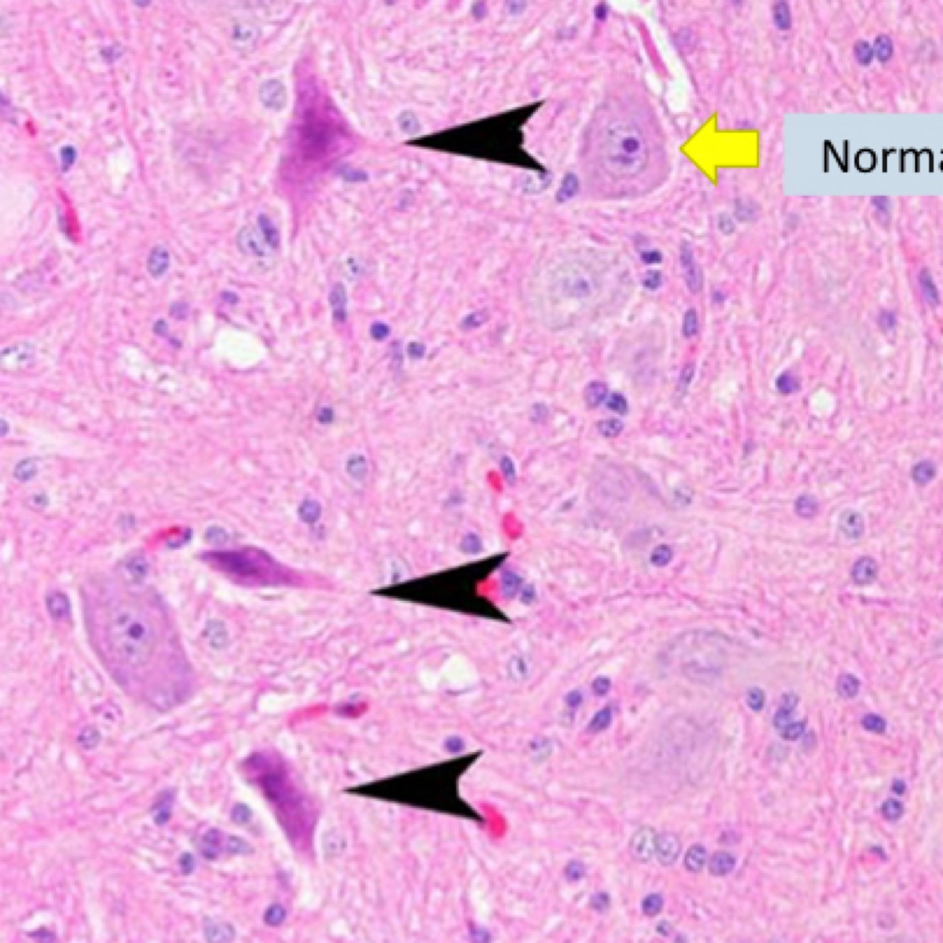
1
Q

What is being shown?

A

Nuclear karyorrhexis

How well did you know this?
1
Not at all
2
3
4
5
Perfectly
2
Q

What is being shown?

A

Pyknosis

How well did you know this?
1
Not at all
2
3
4
5
Perfectly
3
Q

What is being shown?

A

Infarct

How well did you know this?
1
Not at all
2
3
4
5
Perfectly
4
Q

What is being shown?

A

Hemorrhagic infarct

How well did you know this?
1
Not at all
2
3
4
5
Perfectly
5
Q

What is being shown?

A

Ischemic infarct

How well did you know this?
1
Not at all
2
3
4
5
Perfectly
6
Q

What is being shown?

A

Venous infarct

How well did you know this?
1
Not at all
2
3
4
5
Perfectly
7
Q

What is being shown?

A

Coagulative necrosis - toxic injury

How well did you know this?
1
Not at all
2
3
4
5
Perfectly
8
Q

What is being shown?

A

Coagulative necrosis

How well did you know this?
1
Not at all
2
3
4
5
Perfectly
9
Q

What is being shown?

A

Coagulative necrosis

How well did you know this?
1
Not at all
2
3
4
5
Perfectly
10
Q

What is being shown?

A

Caseous necrosis

How well did you know this?
1
Not at all
2
3
4
5
Perfectly
11
Q

What is being shown?

A

Caseous necrosis

How well did you know this?
1
Not at all
2
3
4
5
Perfectly
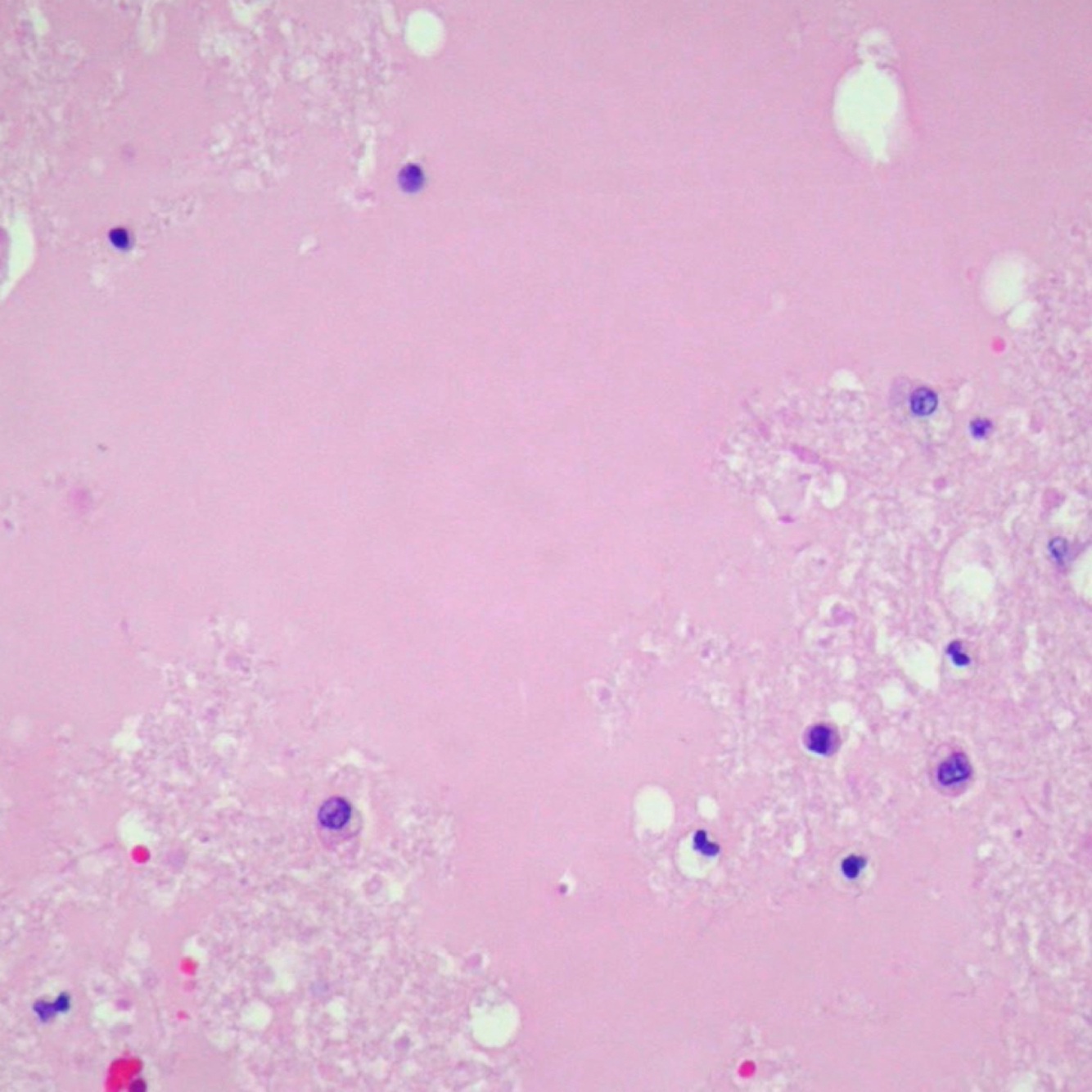
12
Q

What is being shown?

A

Liquefactive necrosis

How well did you know this?
1
Not at all
2
3
4
5
Perfectly
13
Q

What is being shown?

A

Malacia of Liquefactive necrosis

How well did you know this?
1
Not at all
2
3
4
5
Perfectly
14
Q

What is being shown?

A

Liquefactive necrosis

How well did you know this?
1
Not at all
2
3
4
5
Perfectly
15
Q

What is being shown?

A

Enzymatic fat necrosis

How well did you know this?
1
Not at all
2
3
4
5
Perfectly
16
Q

What is being shown?

A

Idiopathic fat necrosis

17
Q

What is being shown?

18
Q

What is being shown?

19
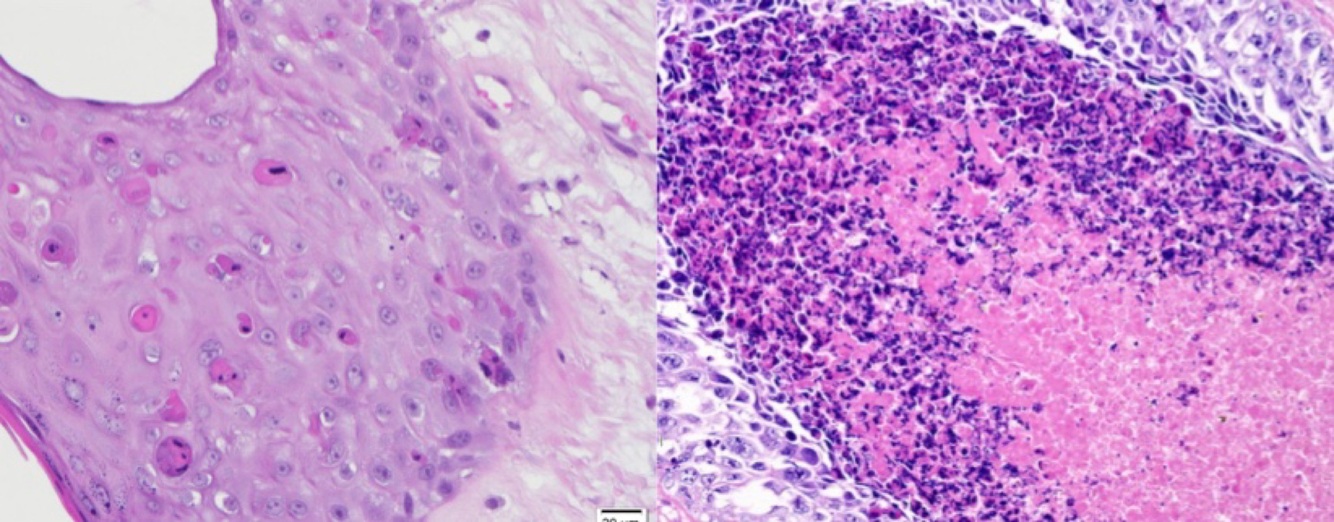
Q

Which side is apoptosis and necrosis?

A

L = apoptosis
R= necrosis